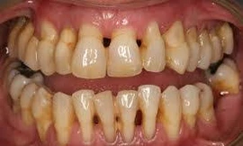
Bệnh Alzheimer có liên quan tới bệnh nha chu
TPO - Bệnh Alzheimer là một căn bệnh tàn khốc thường cần chẩn đoán sớm để được điều trị hiệu quả, nhưng vẫn không có cách chữa trị dứt điểm căn bệnh này và rất ít bằng chứng về nguyên nhân gây ra.
Có 1 kết quả