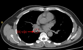
Ho triền miên suốt một năm vì hạt trái cây 'đi lạc' trong phổi
TPO - Suốt một năm qua, người đàn ông phải sống chung với những cơn ho kéo dài tưởng chừng do bệnh hô hấp mạn tính. Không ngờ, “thủ phạm” thực sự lại là một hạt sapoche kẹt sâu trong phế quản.