TPO - Tết đến xuân về, ai cũng mong mình được khỏe mạnh để may mắn trong cả năm và lời chúc đầu tiên dành cho nhau cũng là về sức khỏe. Tuy nhiên thực tế, nhiều khi lại không như mình mong muốn. Đối với những người bị hen suyễn, cơn hen có thể xảy ra bất cứ lúc nào khi gặp điều kiện thuận lợi…
TPO - Thời tiết khu vực Nam bộ đang trong giai đoạn cao điểm của mùa khô, nắng nóng gay gắt trên diện rộng tác động tiêu cực đến sức khỏe cộng đồng. Trung tâm Kiểm soát Bệnh tật TPHCM khuyến cáo, người dân cần thực hiện nhiều giải pháp để tránh tác hại từ thời tiết cực đoan, bảo vệ sức khỏe.
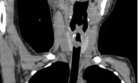
TPO - Được chẩn đoán bị hen phế quản nhưng điều trị trong thời gian dài không thuyên giảm khiến cô gái trẻ liên tục bị suy hô hấp, đe dọa tính mạng. Các bác sĩ Bệnh viện Quân y 175 đã phát hiện trong khí quản của bệnh nhi có khối u hiếm gặp đã phát triển lớn gây tắc hẹp đường thở.
TPO - Để giải quyết triệt để tình trạng thiếu thuốc bảo hiểm tại trạm y tế, Sở Y tế TPHCM vừa có văn bản kiến nghị UBND thành phố cho phép đấu thầu tập trung thêm 308 loại thuốc.
TPO - Là tuyến đầu trong chăm sóc sức khỏe cho cộng đồng nhưng lực lượng quá mỏng không đủ khả năng đáp ứng cho nhu cầu khám chữa bệnh của người dân. Theo thống kê của Sở Y tế TPHCM, hiện nay mỗi nhân sự tại trạm y tế phường – xã đang phải “gánh” gần 6.000 dân.
TPO - Ngày 30/11 Trung tâm Dị ứng – Miễn dịch lâm sàng (Bệnh viện Bạch Mai) tổ chức khám, tư vấn và phát thuốc miễn phí bệnh Hen phế quản cho người dân khu vực Hà Nội và một số tỉnh lân cận.
TPO - Việc phổi liên tục hít phải không khí bị ô nhiễm, bụi bẩn và khói thuốc lá càng làm tăng nguy cơ các bệnh đường hô hấp như viêm phế quản, hen suyễn, viêm phổi và u xơ nang. Vì vậy, để tăng cường sức khỏe cho cặp lá phổi bạn nên bổ sung vào chế độ ăn hàng ngày 12 loại thực phẩm dưới đây nhé!
TPO - Ở Việt Nam, tỉ lệ người bị hen phế quản chiếm 5% dân số, ước tính hơn 4 triệu người, trong đó, tỉ lệ trẻ em bị bệnh là 8 – 12%, tập trung nhiều nhất ở lứa tuổi 12 – 13 tuổi. Hen phế quản là căn bệnh 'giết người' chỉ sau ung thư.
TPO - Lúc giao mùa, thời tiết và độ ẩm không khí thay đổi thất thường khiến cơ thể không thích ứng kịp, tạo điều kiện cho virus, vi khuẩn gây bệnh đường hô hấp hoạt động mạnh.
TP - PGS- BS Lê Thị Tuyết Lan – Chủ tịch Hội Hen – Dị ứng – Miễn dịch lâm sàng TPHCM cho biết tỷ lệ trẻ em ở độ tuổi 12-13 tại Việt Nam có tỷ lệ mắc bệnh hen phế quản cao nhất châu Á với gần 30% và đang có chiều hướng gia tăng.
TP - Tại Việt Nam hiện có hơn 4 triệu người mắc bệnh hen (chiếm khoảng 5% dân số) với chi phí điều trị trung bình 301 USD/người/năm và ít nhất 3.000 người chết vì bệnh hen/năm. Tuy nhiên thực tế cho thấy đa phần bệnh nhân hen không biết căn bệnh này có thể hạn chế được.
Lên cơn hen gây khó thở trầm trọng, không được cấp cứu kịp thời người bệnh có nguy cơ tử vong bất cứ lúc nào. Và có rất nhiều trường hợp hen phế quản phải nhập viện điều trị trong tình trạng khó thở nặng do không điều trị đúng cách, dứt điểm bệnh.
Không còn những tiếng thở dài và nét mặt trầm ngâm mỗi lần bất lực nhìn con lên cơn hen, giờ đây, anh Pháo cười trong hạnh phúc khi thấy con trai đang lớn khôn từng ngày, khỏe mạnh.
Tại Việt Nam có tới 3,9% dân số bị hen phế quản, tương đương gần 4 triệu người bị ảnh hưởng bởi căn bệnh này. Tuy nhiên, 60% số bệnh nhân chưa kiểm soát được bệnh do chưa được điều trị đúng cách. Những sai lầm trong điều trị hen phế quản có thể dẫn đến những hậu quả đáng tiếc.
Tại Việt Nam có tới 3,9% dân số bị hen phế quản, tương đương gần 4 triệu người dân bị ảnh hưởng bởi căn bệnh này. Tuy nhiên, 60% số bệnh nhân chưa kiểm soát được cơn hen do chưa được điều trị đúng cách.
Theo dược học cổ truyền, bàng biển vị đắng, hơi chát, tính mát, có công dụng tiêu độc, trừ đàm, giáng ngịch, trừ ho, thường được dùng để chữa các chứng bệnh như hen phế quản.
Năm nào cũng vậy, cứ mỗi lần đến thời điểm giao mùa là chị Lê Mai (Quận 5, Tp Hồ Chí Minh) lại lo ngay ngáy vì không biết khi nào cơn hen của con lại tái phát. Bé Bon nhà chị Mai năm nay lên 5 tuổi, rất ngoan ngoãn và thông minh, chỉ có điều bé hay ốm vặt và gặp vấn đề về hô hấp.
TP - Bé gái sinh ra lúc 8 giờ 05 phút sáng ngày 8/4 tại xã đảo Song Tử Tây (huyện đảo Trường Sa, Khánh Hòa) nặng 3 ký, khỏe mạnh, được đặt tên là Đoàn Phúc Vi Sa. Thượng tá Nguyễn Trọng Bình, Chính trị viên đảo Song Tử Tây cho biết.
Tôi năm nay 56 tuổi, bị viêm phổi tắc nghẽn mạn tính độ 2, khi còn nhỏ tôi có mắc bệnh hen suyễn. Xin hỏi, có phải hen phế quản sẽ biến chứng sang viêm phổi tắc nghẽn mạn tính? Phải điều trị, theo dõi thế nào?