Vừa xem tivi vừa ăn, bé gái phải cấp cứu vì nuốt xương gà
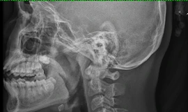
TPO - Bé gái 13 tuổi nhập viện trong tình trạng nuốt vướng, đau nhiều phần hạ họng sau khi ăn thịt gà. Nguyên nhân do bệnh nhi nuốt phải đoạn xương gà lớn, sắt nhọn khi vừa ăn vừa xem tivi.
Có 1 kết quả
TPO - Bé gái 13 tuổi nhập viện trong tình trạng nuốt vướng, đau nhiều phần hạ họng sau khi ăn thịt gà. Nguyên nhân do bệnh nhi nuốt phải đoạn xương gà lớn, sắt nhọn khi vừa ăn vừa xem tivi.