TPO - Kết quả nghiên cứu cho thấy, phụ nữ dưới 35 tuổi, hút thuốc lá, thừa cân hoặc có tiền sử huyết khối, đột quỵ cần đặc biệt thận trọng khi sử dụng thuốc tránh thai.
TPO - Cuối năm là thời điểm diễn ra nhiều buổi tiệc tất niên, gặp gỡ bạn bè, gia đình và đồng nghiệp. Tuy nhiên, việc tham gia các bữa tiệc liên tiếp có thể gây áp lực lớn cho sức khỏe.
TPO - Sáng 24/11, Ủy ban Văn hóa, Giáo dục của Quốc hội, phối hợp cùng Quỹ Nhi đồng Liên hợp quốc (UNICEF), tổ chức hội thảo góp ý Dự thảo Luật Thuế tiêu thụ đặc biệt, tập trung vào việc áp dụng thuế đối với đồ uống có đường nhằm phòng chống thừa cân, béo phì ở trẻ em.
TP - Suốt thời gian qua, bạn đã ăn kiêng, tập thể thao hùng hục mà tại sao cân nặng vẫn chẳng giảm xuống, thậm chí còn tăng hơn ấy chứ. Có thể bạn đã giảm cân sai cách rồi!
Chế độ dinh dưỡng thiếu hợp lý có liên quan mật thiết đến việc gia tăng các bệnh mãn tính như béo phì, đái tháo đường, cao huyết áp… Để phòng, chống hiệu quả, giải pháp quan trọng là đẩy mạnh giáo dục và truyền thông về dinh dưỡng hợp lý, quản lý dán nhãn dinh dưỡng một cách chặt chẽ…
TPO - Theo ước tính của Tổ chức Y tế Thế giới (WHO) và một nhóm các nhà nghiên cứu quốc tế, hiện có hơn một tỷ người trên thế giới được coi là bị béo phì.
TPO - Nghiên cứu mới đã cho ra danh sách kích thước vòng một của phụ nữ trên khắp thế giới. Trong đó, Na Uy đứng hạng nhất và Đông Nam Á ngậm ngùi ở vị trí cuối cùng.
TPO - Podcast "Thì thầm" là những câu chuyện phòng the thầm kín được gỡ vướng; đồng thời, cung cấp những kiến thức về sức khỏe tình dục với sự đồng hành của các chuyên gia. Chương trình được phát vào 21h hằng ngày, đồng thời được phát trên kênh Fanpage, YouTube và Tiktok của Báo Tiền Phong.
TPO - Đa số người thừa cân và béo phì ít có ham muốn “chuyện ấy”, khó vươn tới cực khoái, sinh hoạt thầm kín thường không mang lại cảm giác sung sướng.
TPO - Nguyễn Tấn Mạnh là sinh viên năm 3 trường Đại học Sân khấu Điện ảnh TP.HCM, khoa Sân khấu, chuyên ngành Diễn viên Kịch, Điện ảnh – Truyền hình. Chàng trai sinh ra và lớn lên tại quê hương Bình Định sở hữu nét đẹp chuẩn Châu Á, nhiều thu hút. Thời trung học Tấn Mạnh từng có thời gian phải hứng chịu bodyshaming. Để vượt qua giai đoạn đó cậu bạn đã có những bước chuyển mình mạnh mẽ khi tìm đến với nghệ thuật.
TP - Kết quả tổng điều tra dinh dưỡng được công bố ngày 15/4 cho thấy, Việt Nam đã đạt được nhiều thành tựu, nhưng đang phải đối mặt gánh nặng gấp ba về dinh dưỡng, gồm suy dinh dưỡng thấp còi, thừa cân, béo phì và thiếu vi chất.
TPO - Đối với học sinh THCS, học sinh thành thị thừa cân chiếm 20,9%, trong khi học sinh nông thôn là 7,9%. Tuy nhiên, học sinh THCS vùng nông thôn lại có tỷ lệ thấp còi lên tới 20,1%, còn học sinh thành thị là 3,8%.
TPO - Lối sống ít vận động đang ngày càng trở nên phổ biến trong xã hội hiện nay. Theo báo cáo của Tổ chức Y tế Thế giới (WHO), tỷ lệ béo phì ở Ấn Độ cao thứ 3 thế giới sau Mỹ.
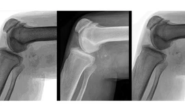
Béo phì khi trưởng thành được xem là yếu tố khiến tình trạng viêm khớp tồi tệ hơn nhưng nghiên cứu mới nhất cho thấy thừa cân béo phì khi nhỏ cũng làm tăng nguy cơ viêm khớp sau này.