TPO - Bệnh viện Bệnh Nhiệt đới Trung ương vừa tiếp nhận hai bệnh nhân mắc viêm gan B trong tình trạng bệnh đã chuyển sang giai đoạn nghiêm trọng: một người bị xơ gan mất bù, người còn lại xuất hiện khối u gan. Điều đáng nói là cả hai chỉ mới phát hiện mình mắc viêm gan B cách đây từ một đến hai tháng.
"Tôi hay nói đùa trước kia là nghệ sĩ nổi tiếng, còn giờ về già không khác gì osin. Tôi lăn xả phụ vợ việc nhà bất kể lớn nhỏ, khi rửa bát, lau nhà, lúc dọn vệ sinh, làm vườn…", NSƯT Bảo Quốc chia sẻ.
TPO - Bác sĩ Bệnh viện Bạch Mai vừa cứu sống mẹ con sản phụ có khối u hiếm gặp trên thế giới. Sản phụ Lưu Thị D. (32 tuổi, ở Thuận Thành, Bắc Ninh), mang thai tuần thứ 36, có khối u trong gan kích thước lên tới 18cm, khiến tình trạng của hai mẹ con rơi vào thế “nghìn cân treo sợi tóc”.
Các bác sĩ Bệnh viện Ung Bướu Hà Nội vừa thực hiện thành công ca cấp cứu u gan vỡ gây mất máu cấp, có nguy cơ tử vong cao nếu không được can thiệp kịp thời. Bệnh nhân được cầm máu bằng phương pháp nút tắc động mạch gan, giúp vượt qua “cửa tử”.
TPO - Các bác sỹ BV Bạch Mai đã phẫu thuật cắt thùy gan trái, cắt gọn khối ung thư gan kích thước 41x43mm. Ca phẫu thuật nội soi được tiến hành trong hơn 2 giờ đồng hồ, bệnh nhân không phải truyền máu trong và sau phẫu thuật.
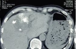
TPO - Các bác sĩ Bệnh viện hữu nghị Việt Nam - Cuba Đồng Hới vừa điều trị thành công trường hợp thứ 2 shock mất máu do u gan vỡ. Điều đặc biệt là hai bệnh nhân này đều không biết mình bị u gan.
TPO - Bệnh viện Quốc tế City vừa thực hiện mổ cắt u gan không cần truyền máu cho bé trai 11 tuổi thành công. Điều đáng nói, trước khi mổ cắt u, gia đình bệnh nhân đưa ra điều kiện, “bác sĩ phẫu thuật không… truyền máu của người khác, kể cả máu của người thân cho bé trong quá trình phẫu thuật”.
TPO - Xác định ca bệnh cực hiếm, các bác sỹ đã tính toán kỹ lưỡng thể tích gan và dự trù các chế phẩm máu cho cuộc phẫu thuật cắt bỏ khối u gan khổng lồ.