Vòng tránh thai lạc vào bàng quang
![]() |
| Vòng tránh thai được phát hiện trong bàng quang người phụ nữ |
Vòng tránh thai được coi là hình thức ngừa thai hiệu quả có thể kéo dài đến 12 năm. Nhưng trong một số trường hợp hiếm hoi, thiết bị này có thể làm thủng tử cung với tỉ lệ 1/1000 phụ nữ đặt vòng tránh thai. Thế nhưng, việc vòng tránh thai làm thủng bàng quang rất hiếm. Đó là trường hợp của một phụ nữ 47 tuổi, bị đi tiểu ra máu. Hóa ra, chiếc vòng tránh thai 10 năm trước cô sử dụng đã lọt khỏi tử cung và vào bàng quang. Các bác sỹ đã phát hiện một viên sỏi bàng quang được hình thành trên một phần của chiếc vòng tránh thai này và họ đã phải tán sỏi bàng quang và lấy vòng tránh thai ra.
Mắc bệnh đậu bò từ... mèo
![]() |
| Mắt của người phụ nữ mắc bệnh mắt bò với các mô chết xung quanh mắt, |
Một phụ nữ ở Anh, 28 tuổi, đã bị nhiễm trùng mắt nặng do mắc bệnh đậu bò từ con mèo cưng của mình. Mặc dù cô uống nhiều thuốc kháng sinh nhưng không có tác dụng. Do đó, cô phải phẫu thuật để loại bỏ mô chết xung quanh mắt của mình. Việc lây truyền bệnh đậu bò từ mèo sang người là cực kỳ hiếm, chỉ có một số trường hợp được báo cáo.
Người đàn ông có mảnh xi măng trong tim
![]() |
| Tim bị tắc nghẽn do mảnh xi măng lọt vào tĩnh mạch. |
Người đàn ông 56 tuổi, người Anh, đã trải qua một thủ thuật cột sống để điều trị gãy xương đốt sống. Các bác sĩ tiêm một loại xi măng đặc biệt vào đốt sống giữ cho nó không bị xẹp xuống. Một tác dụng phụ hiếm gặp của thủ thuật này là xi măng có thể rò rỉ từ xương sang các khu vực khác, có thể gây ra tắc nghẽn mạch máu. Đây là những gì đã xảy ra trong trường hợp của người đàn ông này: Xi măng rò rỉ từ xương vào tĩnh mạch của ông, nơi nó cứng lại, tắc nghẽn, rồi đi vào tim. Các bác sĩ đã loại bỏ khối xi măng đó và khâu lại vết rách tim của ông.
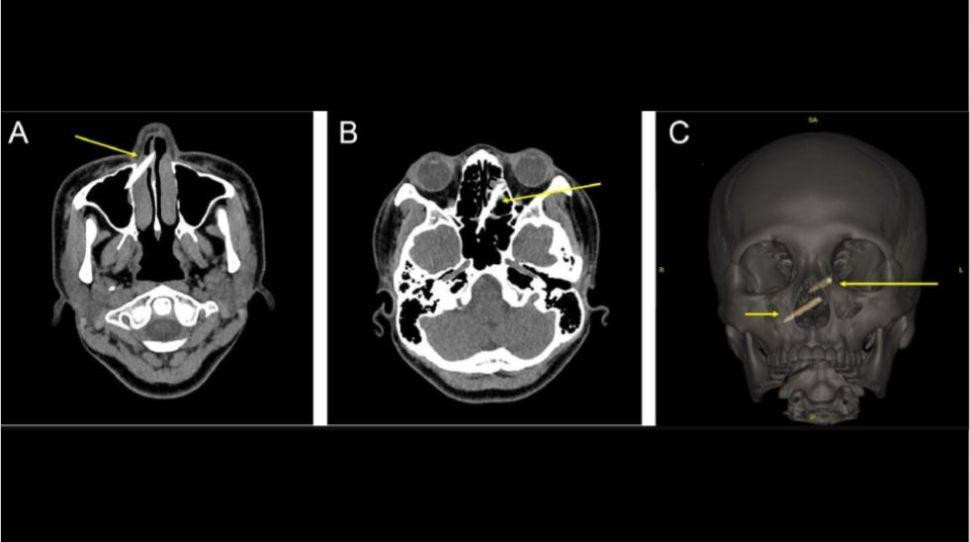
Mảnh đũa lọt vào xoang mũi
![]() |
Một người phụ nữ ở Đài Loan, 29 tuổi, đánh nhau dữ dội với em gái trong bữa ăn bằng chiếc đũa trên bàn và bị mảnh vỡ của chiếc đũa văng vào xoang trong một tuần mà không hề hay biết. Khi thấy khó chịu, cô đi khám và chụp X-quang hai lần mới phát hiện ra hai mảnh vụn của đũa (3,5 cm và 5cm) xuyên vào vách ngăn mũi của cô. Cô đã được phẫu thuật để gắp mảnh vụn đó ra và không gặp biến chứng phẫu thuật nào.
Lưỡi tự nhiên vàng tươi
![]() |
| Lưỡi của cậu bé có màu vàng tươi do bị rối loạn tự miễn dịch hiếm gặp |
Một cậu bé người Canada, 12 tuổi, đã đến bệnh viện sau khi bị đau họng, nước tiểu sẫm màu, đau bụng và da nhợt nhạt trong nhiều ngày, đặc biệt lưỡi của cậu có màu vàng tươi. Sau khi tiến hành một số xét nghiệm, các bác sĩ xác định cậu bé mắc một chứng rối loạn tự miễn dịch hiếm gặp, trong đó hệ miễn dịch của một người tấn công và phá hủy các tế bào hồng cầu của chính mình. Cậu bé cần được truyền máu và được điều trị bằng thuốc uống steroid để giảm hoạt động của hệ miễn dịch. Sau khi xuất viện, lưỡi của cậu bé dần trở lại bình thường.
Cá cảnh lây bệnh cho người
Người phụ nữ 56 tuổi ở Maryland, Mỹ đã phải nhập viện với tình trạng sốt, ho và đau ngực, các xét nghiệm cho thấy bà bị viêm phổi. Vài ngày sau, xét nghiệm thêm cho thấy bà bị nhiễm vi khuẩn Burkholderia pseudomallei , vi khuẩn gây bệnh melioidosis và phải dùng thuốc kháng sinh trong 12 tuần để hết nhiễm trùng.
Để xác định nguyên nhân lây nhiễm, các quan chức y tế đã lấy mẫu từ trong và xung quanh nhà của người phụ nữ này, bao gồm cả mẫu từ hai bể cá nước ngọt trong nhà bà, trong đó có cá nhiệt đới. Các mẫu từ một bể cá dương tính với B. pseudomallei , và dòng vi khuẩn trong bể này giống với chủng đã nhiễm bệnh cho người phụ nữ. Có thể người này đã bị nhiễm trùng khi làm sạch bể bằng tay không.
Người đàn ông có vòng màu đồng quanh mắt
![]() |
Một người đàn ông, sống ở Ấn Độ, đến bác sĩ với tình trạng sưng bụng, khám mắt cho thấy những vòng vàng nâu bao quanh tròng đen ở cả hai mắt của anh ta.
Các bác sĩ xác định rằng những dấu hiệu này là vòng Kayser-Fleischer, được tạo ra bởi sự tích tụ đồng trong giác mạc, là dấu hiệu của bệnh Wilson hiếm gặp. Theo Viện Y tế Quốc gia Mỹ, những người mắc bệnh Wilson có một đột biến di truyền khiến họ không thể loại bỏ lượng đồng dư thừa, dẫn đến sự tích tụ đồng trong cơ thể - thường ở gan, não và mắt. Tình trạng này xảy ra ở khoảng 1 trong mỗi 30.000 người. Sự tích tụ đồng trong cơ thể có thể dẫn đến các vấn đề về gan, thận và thần kinh.
Viên đạn trong mũi 8 năm mà không biết
![]() |
Một thiếu niên 15 tuổi, ở Mỹ vô tình bị viên đạn lọt vào mũi suốt 8 năm, gây ra "mùi hôi" kinh khủng khi xì mũi. Gia đình cậu bé tiết lộ rằng, cậu đã bị bắn vào mũi bằng súng bắn đạn bi lúc khoảng 8 hoặc 9 tuổi. Dần dà, viên đạn đã chặn các đường dẫn lưu trong mũi của cậu bé, dẫn đến sự tích tụ của chất nhầy, các mảnh vụn và vi khuẩn gây ra mùi hôi. Sau cuộc phẫu thuật của cậu bé, mùi hôi khó chịu đã biến mất.
Nấm ma thuật mọc trong máu người
![]() |
| Nấm ma thuật |
Một người đàn ông 30 tuổi đã bị nhiễm trùng máu đe dọa tính mạng sau khi anh ta tiêm một loại trà làm từ "nấm ma thuật" vào tĩnh mạch của mình để điều trị chứng rối loạn lưỡng cực. Mặc dù, anh ta đã đun sôi nấm, rồi mới tiêm nó vào người, nhưng nấm này vẫn có thể mọc được trong máu của anh ta khiến anh bị nhiễm trùng máu và phải điều trị bằng thuốc kháng sinh và thuốc chống nấm suốt 22 ngày mới khỏi.







