Rối loạn nhịp tim: Hiểu đúng, phòng ngừa và điều trị hiệu quả
Với mục đích tăng cường hiểu biết về bệnh lý tim mạch và những giải pháp điều trị hiệu quả, giúp mọi người chủ động hơn trong việc chăm sóc sức khỏe tim mạch, ngày 6/12/2024, báo điện tử VnExpress phối hợp cùng Công ty Medtronic Việt Nam tổ chức buổi tọa đàm với chủ đề: “Rối loạn nhịp tim: Hiểu đúng, phòng ngừa và điều trị hiệu quả”. Sự kiện đã thu hút sự quan tâm cộng đồng với sự tham gia của hai chuyên gia hàng đầu trong lĩnh vực tim mạch là Tiến sĩ, Bác sĩ Phạm Trần Linh – Phó Chủ tịch Phân hội Nhịp Tim Việt Nam và Bác sĩ CKII Kiều Ngọc Dũng – Trưởng khoa Điều trị Rối loạn Nhịp, Bệnh viện Chợ Rẫy.
![]() |
| Ảnh: Nhật Minh. |
Chia sẻ tại chương trình, Tiến sĩ, Bác sĩ Phạm Trần Linh cho biết, bệnh lý tim mạch, đặc biệt là rối loạn nhịp tim, hiện đang ngày càng gia tăng ở cả người trẻ và người già. Những năm gần đây, tỷ lệ mắc các bệnh lý tim mạch tăng mạnh, gây tử vong cho hơn 200.000 người mỗi năm, chiếm 33% tổng số ca tử vong toàn quốc. Trong đó, rối loạn nhịp tim được cho là một trong những nguyên nhân chủ yếu gây ra các ca đột quỵ, suy tim và tử vong đột ngột.
Các triệu chứng phổ biến của bệnh bao gồm hồi hộp, khó thở, đau ngực, mệt mỏi, thậm chí ngất xỉu hoặc đột tử. Một số bệnh nhân có thể không biểu hiện triệu chứng rõ ràng, dẫn đến việc phát hiện bệnh muộn, làm tăng nguy cơ biến chứng, và tiến triển của bệnh đã đến giai đoạn nặng hơn.
Tiến sĩ, Bác sĩ Phạm Trần Linh chia sẻ, “Mỗi năm, bệnh lý tim mạch cướp đi sinh mạng của hàng triệu người trên thế giới. Rối loạn nhịp tim là một trong những nguyên nhân hàng đầu gây đột quỵ và tử vong. Chính vì vậy, việc phát hiện sớm và điều trị kịp thời là vô cùng quan trọng."
Bác sĩ CKII Kiều Ngọc Dũng cho rằng, với những tiến bộ trong công nghệ y học, việc phát hiện và điều trị bệnh đã trở nên dễ dàng hơn rất nhiều, từ việc sử dụng các thiết bị theo dõi nhịp tim tại nhà đến các xét nghiệm điện tâm đồ tại bệnh viện.
Điều trị rối loạn nhịp tim bằng công nghệ y học tiên tiến
Tại tọa đàm, hai chuyên gia chia sẻ, những tiến bộ y học đã giúp cứu sống rất nhiều người mắc chứng bệnh rối loạn nhịp tim. Bên cạnh dùng thuốc, các phương pháp điều trị ít xâm lấn hiện nay đã mang đến kết quả tích cực. Cập nhật các tiến bộ y học trên thế giới, các bệnh viện Việt Nam đã áp dụng các giải pháp hiện đại trong điều trị như: triệt đốt bằng bóng áp lạnh giúp can thiệp tối thiểu điều trị rung nhĩ và ngừng các cơn rối loạn nhịp; sử dụng máy tạo nhịp tim dành cho chứng bệnh nhịp tim chậm; máy khử rung tim tự động phù hợp với bệnh nhân có nguy cơ cao bị đột tử do loạn nhịp tim
Trong đó, máy tạo nhịp tim và máy khử rung tự động là những thiết bị y học hiện đại, nhỏ gọn, mang lại hiệu quả vượt trội trong việc điều trị các rối loạn nhịp tim nghiêm trọng. Theo các chuyên gia, hơn 100 cơ sở y tế trên toàn quốc đã áp dụng phương pháp điều trị bằng máy tạo nhịp tim và máy khử rung tim. Nhờ hệ thống bảo hiểm y tế tại Việt Nam, người bệnh có thể được chi trả từ 80 - 95% chi phí điều trị giúp dễ dàng tiếp cận với các phương pháp điều trị tiên tiến này. Cụ thể theo thống kê năm 2023, có khoảng gần 5.000 người bệnh tại Việt Nam đã được đặt máy tạo nhịp tim và được BHYT chi trả đến 95% giúp giảm gánh nặng chi phí điều trị.
Máy tạo nhịp tim điều trị rối loạn nhịp tim hiệu quả đến 10 – 15 năm
Về cơ chế hoạt động của máy tạo nhịp tim, Tiến sĩ, Bác sĩ Phạm Trần Linh giải thích, máy tạo nhịp tim giúp điều chỉnh nhịp tim bằng cách phát ra các xung điện, giúp tim đập đều và ổn định. Thiết bị này đặc biệt hữu ích đối với những bệnh nhân mắc các chứng nhịp tim chậm hoặc không đều, giúp họ duy trì cuộc sống bình thường và tránh được những nguy cơ như ngừng tim hoặc đột tử.
Máy tạo nhịp tim hiện nay có ba loại chính: máy tạo nhịp một buồng tim, hai buồng tim và máy tạo nhịp không dây. Đây là công nghệ tiên tiến nhất hiện nay, giúp giảm thiểu nguy cơ nhiễm trùng do không cần dây dẫn. Theo Tiến sĩ, Bác sĩ Phạm Trần Linh, máy tạo nhịp không dây có thể giúp bệnh nhân sống khỏe mạnh trong suốt 10-15 năm mà không gặp phải các vấn đề về thiết bị. Bác sĩ Chuyên khoa II Kiều Ngọc Dũng cũng đồng ý với ý kiến này và chia sẻ thêm rằng, việc cấy máy tạo nhịp không dây là một lựa chọn tối ưu cho bệnh nhân cần điều trị lâu dài mà không phải lo lắng về các biến chứng như nhiễm trùng.
Máy khử rung tim: khôi phục nhịp đập cho tim
Máy khử rung tim là một thiết bị được thiết kế để xử lý các tình huống nhịp tim nguy hiểm, như rung thất hay nhịp nhanh thất (tình trạng tim gần như ngừng đập), có thể dẫn đến đột tử. BS Chuyên khoa II Kiều Ngọc Dũng cho biết, nguyên lý hoạt động của máy là khi phát hiện tim rung bất thường, máy sẽ phát ra một cú sốc điện để loại bỏ toàn bộ các ổ phát điện loạn nhịp trong tim, giúp khôi phục lại nhịp đập bình thường. Trong một số trường hợp, máy có thể phát ra các xung điện nhỏ với tần số cao hơn để "chiếm quyền kiểm soát" nhịp tim, từ đó cắt được cơn loạn nhịp mà không cần đến cú sốc lớn.
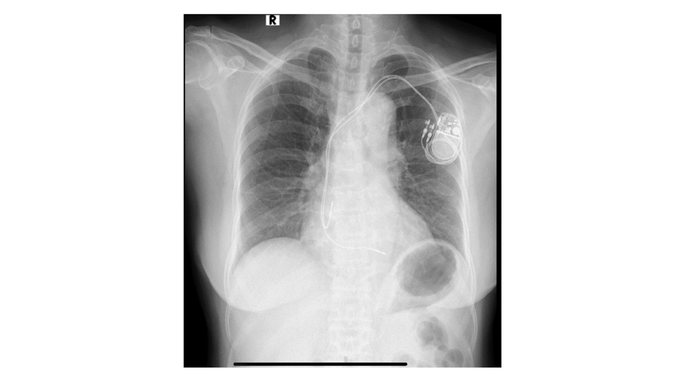
![]() |
| Hình ảnh một ca điều trị rối loạn nhịp tim hiệu quả bằng thiết bị cấy dưới da của bệnh nhân nữ 75 tuổi. Ảnh: Nhật Minh. |
Góp thêm thông tin về đột phá trong y học điều trị rối loạn nhịp tim, ông Paul Verhulst - Phó tổng giám đốc khu vực Đông Nam Á của Medtronic chia sẻ tại sự kiện: “Sứ mệnh của chúng tôi là giảm đau, phục hồi sức khỏe và kéo dài tuổi thọ cho bệnh nhân. Tại Việt Nam, chúng tôi cung cấp các giải pháp tiên tiến bao gồm máy tạo nhịp tim, liệu pháp tái đồng bộ tim và phương pháp triệt đốt rung nhĩ, tất cả nhằm nâng cao chất lượng chăm sóc sức khỏe tim mạch”. Ông cho biết, máy tạo nhịp tim của Medtronic là một trong những thiết bị tiên tiến nhất hiện nay, với khả năng điều chỉnh nhịp tim một cách chính xác và bền bỉ, với nhiều tính năng thông minh. Dòng máy không dây được thiết kế đặc biệt để giảm thiểu tối đa nguy cơ nhiễm trùng và mang lại sự thoải mái cho bệnh nhân.

