Ngày 13/5, thông tin từ Bệnh viện Nhi Đồng Thành phố (huyện Bình Chánh, TPHCM) cho biết, tại đây vừa tiếp nhận và điều trị cho bệnh nhi P.Đ.K. (7 tháng tuổi, ngụ tỉnh Trà Vinh). Trước thời điểm nhập viện, bệnh nhi bị sốt cao liên tục 5 ngày, bú kém, sưng nề vùng hàm lan ra vùng cổ bên phải.
Bệnh nhi đã được gia đình đưa đến điều trị ở phòng mạch tư nhân nhưng không khỏi nên đã chuyển đến bệnh viện địa phương. Sau 5 ngày điều trị tại Bệnh viện tỉnh Trà Vinh, dù các bác sĩ đã điều trị kháng sinh mạnh nhưng tình trạng của bé K. có biểu hiện nặng thêm, vị trí sưng nề phát triển lớn. Bé liên tục sốt cao nên phải chuyển lên Bệnh viện Nhi Đồng Thành phố.
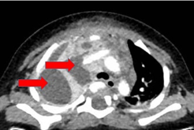
BS Nguyễn Minh Tiến, Phó giám đốc Bệnh viện Nhi Đồng Thành phố cho biết, thời điểm nhập viện, bệnh nhi sốt cao, lừ đừ. Kết quả siêu âm ghi nhận, bé K. bị áp xe dưới da vùng hàm và thành ngực. Kết quả CT-Scan ngực có tiêm thuốc cản quang cho thấy khối tổn thương kích thước lớn, lan rộng từ vùng cổ xuống trung thất, tạo ổ áp xe trong lồng ngực vùng trung thất với nhiều hạch gây hoại tử viêm xẹp đáy phổi hai bên.
![]() |
| CT-Scan ngực cho thấy khối áp xe rất lớn ở vùng trung thất màng phổi bên phải (ảnh: BVCC) |
Trước tình trạng nguy kịch của bệnh nhi, các bác sĩ đã hội chẩn và quyết định thực hiện phẫu thuật xử lý ổ áp xe. Ê kíp phẫu thuật đã rạch mủ, bộc lộ vỏ bao áp xe, rạch vỏ bao lấy mủ, rửa ổ nhiễm trùng và đặt dẫn lưu. Sau phẫu thuật, bệnh nhi được sử dụng kháng sinh phổ rộng để ngăn chặn nhiễm trùng và nguy cơ bệnh tái phát.
Mẫu bệnh phẩm của bệnh nhân được gửi đi xét nghiệm. BS Minh Tiến cho biết, kết quả cấy mủ đã tìm ra vi khuẩn tụ cầu vàng (tên khoa học là Staphylococcus aureus). Đây là loại vi khuẩn đa kháng kháng sinh, gây bệnh rất nặng khi bị nhiễm.
Sau phẫu thuật, bệnh nhi được điều trị tích cực, sức khỏe của bé đã bình phục tốt.
Từ trường hợp trên, bác sĩ cảnh báo, vi khuẩn tụ cầu vàng rất khó điều trị, nguy cơ đe dọa sức khỏe, tính mạng bệnh nhân. Loại vi khuẩn này thường lây nhiễm trong môi trường bệnh viện. Trong cộng đồng, những người sống trong môi trường chật hẹp, đông đúc, mất vệ sinh thường có nguy cơ bị nhiễm ở mức cao.
