Google News

Bé gái vừa ra đời đã “mang thai” một cặp song sinh

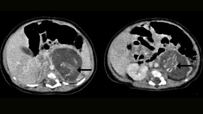
Chỗ mũi tên đánh dấu là xương sống của 2 thai nhi.
Chỗ mũi tên đánh dấu là xương sống của 2 thai nhi.
Một cô bé vừa cất tiếng khóc chào đời ở xứ Cảng Thơm, nhưng trớ trêu thay từ khi mới lọt lòng bé đã “mang thai” một cặp song sinh .

Con gái sơ sinh của cặp đôi người Hồng Kông mới ra đời ở bệnh viện Queen Elizabeth được 3 tuần đã phải trải qua một cuộc phẫu thuật để cắt bỏ hai phôi thai trong bụng. Chúng đã phát triển được khoảng từ 8 đến 10 tuần, hình thành đầy đủ dây rốn, tay, chân, xương sống, lồng ngực và cả ruột non. Trong đó, một phôi thai nặng đến 14.2 gram, cái còn lại nặng 9.3 gram. Ca phẫu thuật may mắn thành công, người ta đành phải từ bỏ cặp sinh đôi của “bà mẹ” 3 tuần tuổi, cô bé được cho xuất viện 8 ngày sau đó.

Những chi tiết về ca “mang thai” đặc biệt ngay lập tức trở thành chủ đề gây xôn xao trên số mới nhất của tạp chí chuyên ngành y khoa Hồng Kông. Trường hợp hi hữu này được khoa học gọi là bào thai lồng trong bào thai, phải đến 500.000 đứa trẻ được sinh ra thì mới có một bé vấp phải tai nạn này. Hiện tại trên thế giới đã có gần 200 trường hợp trẻ sơ sinh “có bầu”.

Bác sỹ Yu Kai-man – một cựu giáo sư trường đại học Trung Hoa ở Hồng Kông nói rằng đây là trường hợp bào thai lồng bào thai đầu tiên được ghi nhận tại thành phố mình. “Gần như không thể phát hiện ra có đến 2 thai nhi nữa ở trong cơ thể bé gái khi tiến hành siêu âm trước sinh bởi các phôi thai đó quá nhỏ” - vị chuyên gia phụ khoa và sản khoa cho hay.

Không thể nào có chuyện bé gái sơ sinh này có thể tự mang bầu nên chắc chắn hai phôi thai đó chính là những người em của bé, được thụ thai bởi bố mẹ, nhưng chúng bất hạnh không được ra đời vì đã nằm sai vị trí.

Tổ chức Y tế thế giới chẩn đoán sự khác thường này là một dạng ung thư. Tuy nhiên cũng có ý kiến cho rằng nguyên do dẫn đến ca lồng ghép phôi thai là bởi bà mẹ có quá nhiều lần sảy thai. Hiện tại vẫn chưa có kết luận chính thức nào về nguyên do khiến một số đứa trẻ mới lọt lòng đã “có thai”.