Google News

Bệnh lạ khiến “của quý” teo lại, hoại tử

Ảnh minh hoạ: Internet
Ảnh minh hoạ: Internet

Một người đàn ông đã bị phẫu thuật cắt bỏ phần đầu “của quý” vì bị chứng nhiễm trùng hiếm gặp khiến da ở nhiều bộ phận cơ thể chuyển sang màu đen và hoại tử.

Một người đàn ông đã bị phẫu thuật cắt bỏ phần đầu “của quý” vì bị chứng nhiễm trùng hiếm gặp khiến da ở nhiều bộ phận cơ thể chuyển sang màu đen và hoại tử.

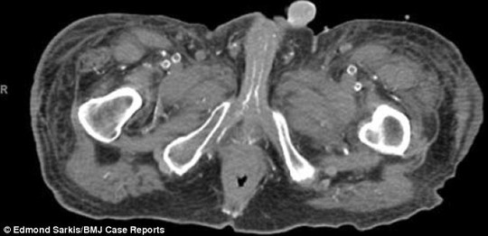
Động mạch bị vôi hóa trong xương chậu người đàn ông

Động mạch bị vôi hóa trong "của quý" và xương chậu người đàn ông

Daily Mail ngày 29-4 cho biết người đàn ông (giấu tên) 54 tuổi người Mỹ đã được đưa đến bệnh viện cấp cứu với nhiều vết hoại tử ở chân, mông, đùi và trên dương vật.

Tạp chí BMJ Case Reports số ra tuần qua dẫn lời các bác sĩ tại Trung tâm Y tế Cooper tại New Jersey cho thấy các vết hoại tử này đã chuyển sang màu đen, khô héo, phần da đã chết và bệnh nhân cần thuốc liều mạnh để kiểm soát cơn đau.

Trả lời tờ Daily Mail, bác sĩ Edmond Sarkis cho biết người đàn ông đã bị hoại tử khiến da non chết và teo lại. “Chúng tôi đã xem xét các vết thương, chúng rất kinh khủng, đã chuyển từ màu tím sang màu đen. Điều hiếm thấy là vết hoại tử xuất hiện ở đùi, lưng dưới, thậm chí dương vật. Tôi chưa từng thấy trường hợp hoại tử nào có diện tích da lớn đến vậy” – bác sĩ nói.

Ngay sau đó, người đàn ông được kê toa kháng sinh và các bác sĩ bắt đầu tìm kiếm nguyên nhân gây bệnh. Theo bệnh án, người đàn ông từng mắc bệnh thận và trải qua kỹ thuật điều trị thẩm phân phúc mạc. Thẩm phân phúc mạc là phương pháp chạy thận với một ống thông được đưa vào bụng để bệnh nhân có thể điều trị tại gia chứ không cần nằm viện. Bệnh nhân cũng bị rung nhĩ – khiến nhịp tim bất thường và ông đã uống thuốc làm loãng máu Warfarin để điều trị.

Vết hoại tử lớn ở chân bệnh nhân

Vết hoại tử lớn ở chân bệnh nhân

Tiến sĩ Sarkis cho biết ban đầu, các bác sĩ chẩn đoán nam bệnh nhân bị calciphylaxis – một hội chứng nghiêm trọng khiến canxi tích tụ trong các mạch máu nhỏ ở các mô mỡ và da. Bệnh thận và việc dùng thuốc làm loãng máu cũng khiến căn bệnh nặng thêm. Khi bị bệnh thận, cơ quan này ngừng lọc chất độc ra khỏi máu khiến canxi bị tích tụ trong động mạch làm mạch máu tắt nghẽn, sinh cục máu đông dẫn đến hoại tử gây đau đớn.

Sau khi phát hiện biến chứng nhiễm trùng máu, các bác sĩ đã gấp rút thực hiện ca phẫu thuật loại bỏ các mô hoại tử cho bệnh nhân, kể cả phần bao quy đầu. “Mắc chứng calcyphylaxis đã là hiếm, việc hoại tử dương vật còn hiếm hơn đối với những người từng thẩm phân phúc mạc” – bác sĩ Sarkis nói.

Nam bệnh nhân sau đó đã được xuất viện và phục hồi tốt ở nhà. Tuy nhiên, vài tuần sau, ông mắc bệnh viêm phổi và tái nhập viện, sau đó tử vong vì nhiễm trùng.

Viết trên tạp chí, các bác sĩ kết luận rằng y học cần thực hiện thêm nhiều nghiên cứu về hội chứng này để xác định các yếu tố nguy cơ và phương pháp điều trị calciphylaxis hiệu quả.