Google News

Bóc khối u ổ bụng nặng đến 9kg cho nữ bệnh nhân 68 tuổi

Ca phẫu thuật phức tạp đã được tiến hành thành công.
Ca phẫu thuật phức tạp đã được tiến hành thành công.

TPO - Chiều 14/3, thông tin từ Bệnh viện Trung ương Huế cho biết, khoa Ngoại nhi - Cấp cứu bụng của bệnh viện này vừa phẫu thuật, bóc tách thành công một khối u ổ bụng cực kỳ lớn từ ổ bụng một nữ bệnh nhân 68 tuổi.

Bệnh nhân mang khối u khủng là bà Nguyễn Thị K. (68 tuổi, trú huyện Cam Lộ, tỉnh Quảng trị). Bà K. nhập viện ở khoa Ngoại nhi - Cấp cứu bụng Bệnh viện Trung ương Huế vì bụng phình to như có thai sắp sinh. Bà K. bị suy kiệt nặng, cân nặng chỉ 40kg, và nôn mửa nhiều, thiếu máu, khó thở; tính mạng bị uy hiếp.

Tiền sử bệnh nhân này từng được phẫu thuật bóc u ổ bụng một lần cách đây 5 năm, gần nhất đã đi khám tuyến dưới, nhưng u quá to, bệnh quá nặng nên được chuyển Bệnh viện Trung ương Huế can thiệp.

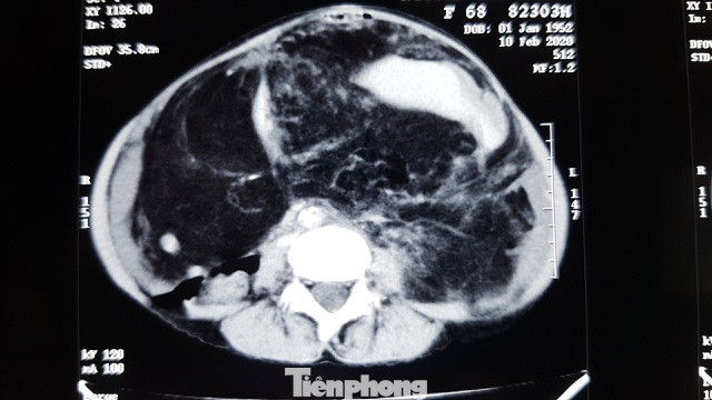
Hình chụp X-quang khối u khủng (phần màu đen) tràn hết trong khoang bụng nữ bệnh nhân

Qua chẩn đoán trước mổ, đây là khối u ổ bụng khổng lồ tái phát, sinh thiết u trước mổ là u mỡ lành tính. Đặc biệt đường kính khối u cực kỳ lớn 30×25 cm chiếm toàn bộ ổ bụng và chèn ép các cơ quan lân cận như: mạch máu mạc treo, ruột non, ruột già…gây biến chứng tắc ruột rõ.

Ngoài việc tiến hành hồi sức tích cực, truyền máu, tăng cường dinh dưỡng đường tĩnh mạch và bồi phụ nước điện giải, bà K. Còn được đội ngũ y bác sĩ Bệnh viện Trung ương Huế giải thích tình trạng bệnh rất kỹ, nếu không can thiệp mổ kịp thời thì nguy cơ tử vong hầu như chắc chắn.

Để phẫu thuật lấy hết khối u, các chuyên gia tiên lượng trước việc bóc tách sẽ rất khó khăn, do u tái phát quá lớn, ổ bụng dính do lần mổ trước, chèn ép hầu hết các cơ quan lân cận, nguy cơ mất máu cao trong khi mổ. Khối u có nhiều thùy dính chặt nhau và dính các cơ quan lân cận, mạch máu. Nếu không bảo tồn được các cơ quan lân cận, bệnh nhân sẽ tử vong do cần phải cắt rộng rãi mới lấy hết được khối u khổng lồ này.

Nữ bệnh nhân hồi phục nhanh sau ca mổ phức tạp

Sau hơn 5 tiếng đồng hồ phẫu thuật, phẫu tích tỉ mỉ cẩn thận từng chút một và cầm máu kỹ, ê kíp phẫu thuật đã bảo tồn được mạch máu, ruột non, đại tràng… đồng thời lấy ra được khối u cân nặng đến 9kg một cách an toàn.

Sau 2 ngày phẫu thuật, bệnh nhân K. tự ngồi dậy và ăn uống được.