Google News

Cảnh giác phát hiện u màng não từ biểu hiện đau đầu thường xuyên

Đau đầu là triệu chứng phổ biến, thường gặp có thể do nhiều yếu tố gây nên như thiếu ngủ, căng thẳng thần kinh, tiếp xúc tiếng ồn, thay đổi thời tiết... Tuy nhiên, nếu có biểu hiện đau đầu thường xuyên thì hãy đi khám ngay bác sĩ, bởi đó có thể là biểu hiện của tổn thương, bệnh lý nguy hiểm trong não.

1 năm đau đầu, đi khám bất ngờ phát hiện khối u màng não

Chị N.T.T (36 tuổi, ở Hà Nội) hay đau đầu khoảng 1 năm nay. Triệu chứng đau đầu xuất hiện thành cơn nên chị đã tự ra quầy thuốc mua thuốc giảm đau về uống thì thấy đỡ, đáp ứng thuốc giảm đau.

Hai tuần gần đây, tần suất cơn đau xuất hiện liên tục hơn; đau vùng đỉnh đầu, sau đó đau tăng dần và lan ra sau gáy kèm theo hoa mắt, chóng mặt, uống thuốc giảm đau không thấy đỡ. Vì vậy, chị quyết định đến PKĐK MEDLATEC tại 99 Trích Sài, Tây Hồ khám khi được bạn bè đồng nghiệp giới thiệu. Tại đây, chị được ThS.BS Mạc Thùy Chi thăm khám.

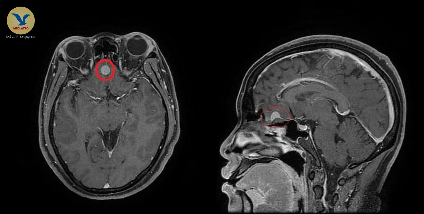
Hình ảnh khối u màng não kích thước khoảng 9x10mm vị trí liềm đại não trước của bệnh nhân T., trên hình ảnh chụp MRI

Qua quá trình thăm khám lâm sàng, chị T., không có triệu chứng bất thường điển hình, mà nổi bật là đau đầu, đau nhiều vùng đỉnh chẩm, đau lan ra sau gáy, thạc sĩ Chi chỉ định bệnh nhân chụp cộng hưởng từ (MRI) và phát phát hiện khối u màng não kích thước khoảng 9x10mm vị trí liềm đại não trước.

Chị T cho biết đã đi khám ở nhiều phòng khám cả đông y và tây y, tuy nhiên chỉ được chẩn đoán bị rối loạn tiền đình và cho kê thuốc uống. Ban đầu uống thuốc tình trạng đau có đỡ, nhưng sau thì không thấy nhiều tác dụng mà cơn đau ngày một nhiều và nặng hơn, vì vậy chị rất sốc khi biết kết quả chẩn đoán bị u màng não.

U màng não - Cảnh giác vì bệnh khó phát hiện, nguy hiểm

U màng não (Meningioma) là loại u phát triển từ màng cứng hay màng nhện - lớp màng mỏng phủ lên nhu mô não và tủy sống.

U màng não chiếm 34% u não nguyên phát, thường lành tính (ác tính 1.7%). Bệnh hay gặp nhất ở lứa tuổi 30 - 70 với tỷ lệ mắc ở nữ cao hơn nam giới, tuy nhiên, tỷ lệ ác tính ở nam lại cao hơn nữ giới.

Các yếu tố làm tăng nguy cơ bị bệnh u màng não như tiếp xúc với chất phóng xạ ion hóa, dùng thuốc tránh thai cũng như liệu pháp hormone thay thế.

U màng não tiến triển chậm và triệu chứng nghèo nàn

U màng não đa số tiến triển rất chậm, không có triệu chứng hoặc triệu chứng nghèo nàn nên khó phát hiện. Khi khối u phát triển đủ lớn chèn ép vào cấu trúc não hoặc dây thần kinh sọ, tùy vị trí của u mà biểu hiện khác nhau như đau, hội chứng tăng áp lực nội sinh.

Khi u màng não tiến triển nặng sẽ có dấu hiệu tổn thương thần kinh sọ như: Mất ngủ, nhìn mờ, mất thị lực một phần hoặc toàn bộ, nhìn đôi, lác, ù tai, giảm thính lực, điếc, tê bì mặt, yếu hoặc liệt tăng dần, co giật… Ngoài ra, còn một số dấu hiệu khác như thay đổi tính cách, hành vi, giảm trí nhớ, rối loạn giấc ngủ, động kinh.

Để chẩn đoán u màng não, thạc sĩ Chi cho biết thêm: Để chẩn đoán bệnh lý u màng não thì chụp cộng hưởng từ (MRI) sọ não là phương pháp chẩn đoán hình ảnh được các bác sĩ chuyên môn đánh giá rất cao. Chụp MRI có thể cung cấp hình ảnh rõ ràng về thành phần nhu mô não mà không thể thấy rõ trên phim X-quang, hoặc siêu âm nhằm phát hiện các bất thường bẩm sinh cấu trúc giải phẫu trong não - đặc biệt là những dị dạng mạch máu não.

Ngoài ra, chụp MRI não còn hữu ích trong việc tìm ra nguyên nhân của các triệu chứng bất thường như: Chóng mặt, đau đầu kéo dài, yếu hoặc liệt cơ, suy giảm thị lực - thính lực, động kinh… Và có thể giúp phát hiện các bệnh lý của não như xuất huyết, khối u, phù nề; tổn thương não xảy ra do chấn thương hay đột quỵ, đặc biệt là khả năng phát hiện sớm các ổ nhồi máu não rất nhỏ chưa có biểu hệ bất thường trên lâm sàng với người bệnh.

Các bác sĩ khuyến cáo với những trường hợp đau đầu kéo dài có thể đánh giá sâu hơn bởi các thăm dò bằng MRI hoặc CT cắt lớp.

MEDLATEC - Địa chỉ uy tín hàng đầu phát hiện sớm khối u

Với mong muốn đem đến cho khách hàng những dịch vụ y tế tốt nhất, MEDLATEC đã đầu tư hệ thống chụp cộng hưởng từ (MRI) - 1.5 Tesla sản xuất bởi hãng GE (Mỹ) đặt tại PKĐK MEDLATEC Tây Hồ. Đây là dòng máy hiện đại nhất đang được sử dụng trên thị trường hiện nay cho hình ảnh rõ sắc nét hơn nhờ phần mềm tạo hình độ phân giải cao, loại bỏ các artifact chuyển động, giảm nhiễu mờ ảnh trong thời gian chụp rất nhanh.

Một điều đáng nói nữa là toàn bộ quá trình chụp cộng hưởng từ tại MEDLATEC đều diễn ra trong phòng chuyên dụng được thiết kế đúng quy định của Bộ Y tế, bảo đảm chất lượng cũng như độ an toàn cao cho người bệnh.

Máy MRI phát hiện chính xác nhiều bệnh lý nguy hiểm.

Khi đến khám tại đây, khách hàng/bệnh nhân còn được trực tiếp thăm khám, tư vấn và điều trị bởi đội ngũ chuyên gia giàu kinh nghiệm: GS.TS Nguyễn Văn Chương - Chủ nhiệm bộ môn Thần kinh học, Học viện Quân Y; PGS.TS Đoàn Hữu Nghị - Chủ tịch Hội Ung thư Hà Nội. Và các bác sĩ được cử đi học tập tại các bệnh viện lớn trong, ngoài nước cùng các khóa tập huấn từ chuyên gia của hãng sản xuất gồm ThS.BS Nguyễn Thị Huyền Thu, BSCKI. Nguyễn Đình Tuấn - Chuyên khoa Thần Kinh của MEDLATEC; BSCKI. Trần Văn Dũng - Chuyên khoa Chẩn đoán hình ảnh,…

Chúng tôi tin rằng, với những thế mạnh đó sẽ giúp người bệnh có thêm cơ hội tiếp cận công nghệ cao trong chẩn đoán hình ảnh, xét nghiệm để nâng cao chất lượng chẩn đoán và điều trị bệnh ngay cả khi triệu chứng còn mờ nhạt.

Thông tin chi tiết, Quý khách hàng vui lòng liên hệ tổng đài: 1900 56 56 56.