Hậu quả khôn lường do “sự cố” mắc dị vật khi ăn
Bệnh nhân nhi N.T.H.M, nữ, 10 tuổi (ở Hà Nội) nhập viện trong tình trạng đau bụng ở bên trái nhiều ngày. Theo lời kể của gia đình, trẻ đau bụng âm ỉ nhiều ngày, đau quanh vùng rốn và ở bên trái, đau không liên quan tới bữa ăn.
Trước đó, trẻ đi khám và điều trị tại bệnh viện khác được chẩn đoán viêm dạ dày và điều trị theo đơn thuốc viên dạ dày (PPI, men tiêu hóa). Tuy nhiên, sau nhiều ngày không thấy trẻ đỡ, mà tiếp tục nôn nhiều, nôn ra thức ăn, đau nhiều vùng bụng bên trái hơn. Lúc đó, được người quen giới thiệu đến Bệnh viện Đa khoa MEDLATEC khám.
ThS.BS Trần Tuấn Anh - Chuyên khoa Nhi của bệnh viện trực tiếp khám, nhận định tình hình. Hỏi tiền sử ăn uống, nhưng gia đình không nhớ rõ có phải do đã ăn ốc trước đó.
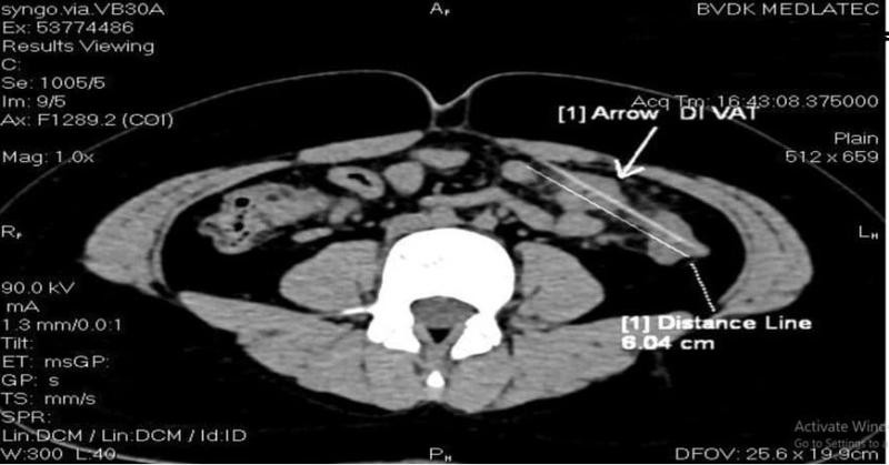
![]() |
| Hình ảnh dị vật dài 6cm xuyên quai ruột non và đại tràng của bé M khi chụp CT |
Tại MEDLATEC, trẻ được các bác sĩ cấp cứu chỉ định xét nghiệm, thăm dò chức năng cơ bản (xét nghiệm máu, siêu âm ổ bụng, chụp X-quang ổ bụng không chuẩn bị), kết quả không phát hiện bất thường. Tuy nhiên, trẻ vẫn đau bụng, nhận thấy tình hình bệnh phức tạp, các bác sĩ hội chẩn liên chuyên khoa và nghĩ đến nguyên nhân hiếm gặp ở trẻ như: dị vật bỏ sót, hoặc viêm túi thừa Meckel... nên được chỉ định chụp CT ổ bụng để tìm dị vật.
Sau 15 phút chụp, kết quả không nằm ngoài dự đoán, hình ảnh chụp cắt lớp vi tính cho thấy dị vật dài 6cm đâm xuyên quai ruột non và đại tràng bên trái.
BS Tuấn Anh chia sẻ: Dị vật đường tiêu hóa gây hậu quả khó lường đối với bệnh nhân, nhất là vật sắc nhọn. Nếu mắc phải dị vật sắc nhọn trong thời gian dài mà không được phát hiện có thể gây tổn thương niêm mạc đường tiêu hóa, gây ra xuất huyết tiêu hóa, dị vật này có thể đâm thủng ống tiêu hóa gây áp-xe trong thành ống tiêu hóa hoặc viêm phúc mạc... Nguy hiểm nhất là dị vật ở thực quản có thể đâm vào động mạch chủ gây tử vong tức thì. Một số trường hợp, bệnh nhân có thể bị ngộ độc do các thành phần là các chất độc có trong dị vật.
Trường hợp của bé M may mắn được bác sĩ tìm chính xác nguyên nhân và nhanh chóng thực hiện phẫu thuật lấy dị vật ra là chiếc tăm nhọn, nên sức khỏe của trẻ nhanh chóng ổn định trở lại.
Cảnh giác 6 đối tượng có nguy cơ cao mắc dị vật
Dị vật đường tiêu hóa rất đa dạng, có thể là đồ chơi, xương gà, xương cá, tăm... Đặc biệt, ở các nước châu Á, người dân có thói quen sử dụng tăm để vệ sinh răng nên tăm là một trong những di vật thường gặp.
![]() |
| Cha mẹ cảnh giác trẻ ngậm hột, hạt dễ có nguy cơ bị hóc. Ảnh minh họa. |
BS Tuấn Anh lưu ý, nguy cơ mắc dị vật có thể gặp bất kỳ đối tượng nào, không phân biệt tuổi tác và giới, tuy nhiên, những đối tượng sau dễ mắc hơn như:
- Trẻ em hay có thói quen ngậm, mút các đồ vật trong khi chơi, ăn.
- Người có răng yếu, hoặc có răng giả.
- Người cao tuổi, người mắc bệnh tâm thần.
- Người có thói quen ăn uống không cẩn thận (ăn nhanh, nuốt vội…).
- Có tiền sử phẫu thuật dạ dày - tá tràng (cắt dạ dày - tá tràng, nối vị tràng…).
- Người có bệnh lý ở dạ dày - tá tràng: Hẹp môn vị làm ứ đọng thức ăn hoặc người có bệnh viêm tụy mạn.
Tránh nguy cơ mắc dị vật, ngoài cảnh giác ở những ở những đối tượng hay mắc, BS Tuấn Anh khuyến cáo người dân nên bỏ thói quen sử dụng tăm, thay vào đó hãy dùng chỉ nha khoa.
Khi mắc dị vật nên xử lý thế nào?
Mắc dị vật là một bất thường hay gặp, nhất là ở trẻ, ngoài gây khó chịu, đau đớn, nguy hiểm hơn có thể đe dọa tính mạng nếu không được xử lý kịp thời. Do vậy, khi có nghi ngờ mắc dị vật, hãy đến ngay cơ sở y tế uy tín có đầy đủ trang thiết bị để được xử trí đúng và kịp thời.
![]() |
| Trẻ bị mắc dị vật có thể gây đau đớn, cha mẹ nên cho con đến cơ sở y tế uy tín ngay. Ảnh minh họa. Nguồn: Internet. |
Trường hợp hay bị bỏ sót là những dị vật không cản quang khó phát hiện bởi những xét nghiệm, thăm dò cơ bản, vì vậy, cần được thăm khám cẩn thận, tỉ mỉ và làm thêm các kĩ thuật hiện đại như chụp cắt lớp vi tính (CT Scanner), chụp cộng hưởng từ (MRI) để có kết quả chẩn đoán chính xác, từ đó có hướng xử lý kịp thời, hiệu quả.
Bệnh viện Đa khoa MEDLATEC với 25 năm kinh nghiệm là địa chỉ tin cậy người dân cả nước trao gửi niềm tin chăm sóc sức khỏe mỗi năm. Khi đến MEDLATEC, khách hàng hoàn toàn an tâm về kết quả chẩn đoán bệnh chính xác, do đội ngũ chuyên gia, bác sĩ giỏi, giàu kinh nghiệm trực tiếp thăm khám, tư vấn đầy đủ các chuyên khoa như: Nhi, Tiêu hóa, Hô hấp, Ung bướu, Thần kinh…
Với mục tiêu đặt chất lượng chuyên môn lên hàng đầu, bệnh viện luôn tiên phong trang bị, đón đầu những trang bị đồng thiết hiện đại như hệ thống máy xét nghiệm đạt tiêu chuẩn ISO 15189:2012, chụp MRI, CT-scanner, X-quang, nội soi gây mê… kết quả chẩn đoán và điều trị bệnh chính xác từ bệnh cơ bản đến các bệnh chuyên sâu.
Thêm những thế mạnh khiến khách hàng an tâm, hài lòng và tiết kiệm tối đa thời gian, công sức khi đến khám chữa bệnh tại MEDLATEC là quy trình khoa học, khép kín và thủ tục đơn giản.
Để giúp khách hàng tiết kiệm chi phí, bên cạnh việc bảo đảm chi phí dịch vụ hợp lý, tất cả khách hàng đến khám tại bệnh viện đều được thanh toán Bảo hiểm y tế và bảo lãnh viện phí theo quy định.
Nhắc đến thương hiệu MEDLATEC hàng triệu người dân Việt đã biết tới, tin tưởng và sử dụng dịch vụ lấy mẫu xét nghiệm nhiều tiện ích, nhanh chóng và chính xác. Dịch vụ này mang đến giải pháp chăm sóc sức khỏe số 1 của những người dân bận rộn cần tiết kiệm thời gian kiểm tra sức khỏe, hay người khó khăn đi lại như người cao tuổi, trẻ em, phụ nữ mang thai, bệnh nhân mắc bệnh mạn tính.
Thông tin giải đáp thông tin dịch vụ, chuyên khoa của bệnh, hay để đặt lịch lấy mẫu xét nghiệm tận nơi theo yêu cầu, quý khách vui lòng gọi ngay tổng đài: 1900 56 56 56 (phục vụ 24/24h).


