Google News

Cắt bóc thành công khối u bằng 2/3 trọng lượng trẻ sơ sinh

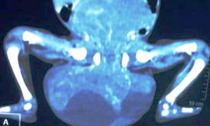
Khối u quái lớn ở vùng cùng cụt của cháu bé sơ sinh 20 ngày tuổi khi chưa phẫu thuật nhìn qua hình chụp phim âm bản.
Khối u quái lớn ở vùng cùng cụt của cháu bé sơ sinh 20 ngày tuổi khi chưa phẫu thuật nhìn qua hình chụp phim âm bản.
TPO - Tin từ khoa Ngoại nhi - Cấp cứu bụng Bệnh viện T.Ư Huế chiều 1/10 cho biết, khoa này vừa phẫu thuật thành công khối u nằm ở vùng cùng cụt của một bé gái sơ sinh mới 20 ngày tuổi. Khối u nặng bằng 2/3 tổng trọng lượng cơ thể cháu bé khi mới sinh.

Mẹ cháu bé là chị Phạm Thanh Th. (quê Minh Hóa, Quảng Bình) cho biết, khối u được phát hiện lúc thai nhi ở tháng thứ 7. Cháu bé được sinh theo phương pháp mổ chủ động tại Bệnh viện huyện Minh Hóa. Bé sau đó chuyển đến Bệnh viện T.Ư Huế trong tình trạng suy dinh dưỡng, nhiễm trùng sơ sinh nặng, với tổng trọng lượng cơ thể chỉ 2,6 kg (bao gồm cả khối u kích thước lớn ở vùng cùng cụt).

Tại đây, bệnh nhi được điều trị tích cực, nâng cao thể trạng và làm các xét nghiệm tiền phẫu. Khối u vùng bụng chậu qua kiểm tra bằng CTscan có kích thước lớn: 5,7x12,9x16,7cm; bên trong chứa mô đặc, mô mỡ, nang dịch được nuôi dưỡng bởi nhiều mạch máu. Mới đây, ê kíp phẫu thuật gồm PGS-TS Phạm Như Hiệp, Giám đốc Bệnh viện T.Ư Huế, cùng các bác sĩ khoa Ngoại nhi - Cấp cứu bụng, khoa Gây mê Hồi sức A đã phẫu thuật trong 3 giờ đồng hồ để cắt bỏ toàn bộ khối u có trọng lượng 1,7kg khỏi cơ thể cháu bé.

Sau phẫu thuật, sức khỏe bệnh nhi tiến triển tích cực, bú tốt, chức năng đại tiện và tiểu tiện bình thường. Các bác sĩ Bệnh viện T.Ư Huế khuyến cáo, những trường hợp bị u quái kích thước lớn vùng cùng cụt như thế này có thể gây ra những rối loạn về vận động, cũng như đại, tiểu tiện, vì vậy người bệnh cần được tái khám thường xuyên để phát hiện những bất thường có thể xảy ra.