Cậu bé mọc răng như ma cà rồng
> Kỳ lạ cô gái có 2 răng mọc trong mắt
Một cậu bé người Trung Quốc chỉ mọc hai cái răng trước sắc và nhọn trông giống bộ răng của ma cà rồng.
![]() |
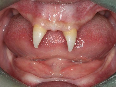
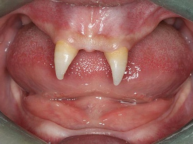
| Hai chiếc răng sắc, nhọn của Wang Pengfei. |
Hồi đầu tuần qua, bà mẹ Wang Hui ở Trùng Khánh, Tây Nam Trung Quốc, đưa con trai Wang Pengfei, 16 tuổi, tới bệnh viện địa phương để khám.
Cậu bé này khi sinh ra đã có rất ít tóc và sau này khi lớn lên chỉ mọc duy nhất 2 cái răng cửa sắc, nhọn.
Không biết bao lần Wang Pengfei được bố mẹ đưa tới viện để “điều trị” những chiếc răng nanh bất thường này song kết quả mang lại là không nhiều khả quan.
![]() |
| Phim X-quang cho thấy sự bất thường về hàm răng. |
Trong lần khám này, các bác sỹ ở Bệnh Viện Tây Nam cho biết chỉ khi nào cậu bé trở thành người lớn mới có thể tiến hành phẫu thuật. Chi phí cho ca phẫu thuật nhổ răng này ước khoảng từ 70.000 – 80.000 nhân dân tệ (khoảng 238 triệu VNĐ).
Bà Wang cho biết, tính cách của cậu con trai ngày càng trở lên lập dị trong những năm tuổi teen này.
Pengfei có thể tấn công bất cứ bạn học nào nếu người đó nhìn chằm chằm vào cậu ta hoặc xì xào bàn tán về bộ răng nanh bất thường của cậu. Pengfei luôn cảm thấy xấu hổ vì bộ răng của mình và không muốn chụp ảnh.
Bà Wang cho biết thêm: “Thằng bé không có bạn bè và nó dần dần nhận ra mình khác biệt với những đứa trẻ khác”.
Theo Ngọc Diệp
An Ninh Thủ Đô

