Ngày 20/4, TS.BS Lê Trần Quang Minh, Giám đốc Bệnh viện Tai Mũi Họng TPHCM cho biết, tại đây vừa tiếp nhận và kịp thời can thiệp cho một trường hợp bị u xơ mạch vòm rất nguy hiểm. Bệnh nhân là Y.L.N (12 tuổi, dân tộc Ê Đê, ngụ tại tỉnh Đắk Lắk) được chuyển đến bệnh viện trong tình trạng chảy máu mũi lượng nhiều khiến cơ thể suy kiệt.
![]() |
| Gia đình đã nhầm lẫn nguyên nhân chảy máu mũi do u xơ mạch vòm ở trẻ với chảy máu cam |
Qua khai thác bệnh sử của các bác sĩ từ phía gia đình ghi nhận, cuối năm 2022 bệnh nhi bắt đầu có biểu hiện bị chảy máu mũi. Ban đầu gia đình cho rằng, đây chỉ là tình trạng chảy máu cam thường gặp ở trẻ. Tuy nhiên, tình trạng bệnh diễn tiến ngày càng nặng, bệnh nhi đã được đưa đến thăm khám tại một cơ sở y tế tư nhân và uống thuốc điều trị nhưng bệnh không thuyên giảm mà ngày càng nặng thêm, kèm theo nghẹt mũi, đau đầu, nhìn mờ.
Ngày 11/4, bệnh nhân bị chảy máu mũi bên trái, lượng nhiều không thể cầm được. Gia đình đã đưa đến cấp cứu tại bệnh viện địa phương, các bác sĩ tiến hành nhét bấc cánh mũi bên trái để cầm máu và chuyển lên Bệnh viện Tai Mũi Họng TPHCM để tìm giải pháp điều trị.
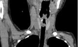
BS-CKII Nguyễn Thanh Hải, khoa Mũi xoang của BV Tai Mũi Họng TPHCM cho biết, trên kết quả chụp CT-Scan ghi nhận, bệnh nhân bị u xơ mạch vòm vùng mũi bên trái (kích thước khoảng 10x3cm). Khối u lớn đã phá hủy vách xương, lan rộng vào hố chân bướm khẩu cái bên trái, lan ra hố dưới thái dương đồng thời xâm lấn vào hốc mắt bên trái.
Sau hội chẩn, các bác sĩ đã quyết định thực hiện phương pháp tắc mạch máu nuôi khối u và thực hiện phẫu thuật nội soi bóc tách khối u. Khoảng 2 giờ khẩn trương trong phòng mổ, ê kíp bác sĩ đã bóc trọn khối u cho bệnh nhân, kết quả giải phẫu bệnh xác định đây là khối u lành tính. Ngày 20/4, sức khỏe của bệnh nhân đã bình phục tốt, đủ điều kiện xuất viện.
![]() |
| Sau phẫu thuật, sức khỏe của bệnh nhi đã bình phục tốt |
Theo phân tích của TS Quang Minh, u xơ mạch vòm mũi họng là bệnh lý dễ nhầm lẫn với nhiều bệnh lý khác đặc biệt là tình trạng chảy máu cam nên cộng đồng thường chủ quan, không phát hiện kịp thời. Đây là bệnh chỉ xảy ra ở nam giới, từ tuổi dậy thì đến khoảng 25 tuổi. Nguyên nhân có thể là do yếu tố nội tiết tố của nam giới, tính chất gen và yếu tố tăng sinh vùng mũi họng.
U xơ mạch vòm hầu hết là lành tính, nếu phát hiện, can thiệp sớm bệnh nhân sẽ nhanh chóng bình phục, ít nguy biến chứng hoặc tái phát. Tuy nhiên, nếu phát hiện trễ u sẽ xâm lấn phá hủy cấu trúc xương mặt hoặc xuất huyết ồ ạt khó cầm máu, nguy hiểm đến tính mạng. "Đặc điểm của u xơ mạch vành là tình trạng chảy máu mũi, ù tai, nghẹt mũi tăng dần, nhìn mờ. Vì vậy, khi gặp tình trạng trên bệnh nhân cần nhập viện sớm để được chẩn đoán, điều trị kịp thời. U xơ mạch vòm mũi họng có thể gây xuất huyết ồ ạt, việc thăm khám không nên bấm khối u để lấy mẫu sinh thiết khi chưa biết rõ bản chất khối u"- bác sĩ Minh khuyến cáo.
Theo thông tin từ Bệnh viện Tai Mũi Họng, tỷ lệ u sợi mạch vòm trên thế giới chiếm khoảng 0,05% trong dân số. Mỗi năm bệnh viện tiếp nhận từ 10 đến 12 trường hợp mắc bệnh lý trên. Trước đây vấn đề bệnh học của u sợi mạch vòm chưa rõ ràng, việc can thiệp khó khăn nên tỷ lệ tái phát chiếm từ 20 đến 50% trong tổng số ca bệnh. Tuy nhiên, hiện nay phẫu thuật nội soi giúp loại bỏ triệt để khối u nên tỷ lệ tái phát giảm xuống chỉ còn khoảng 10%.

