Bệnh nhân cho biết, trước đó tại nhà cậu có cùng bạn có chơi trò vật tay. Khi đang gắng sức vật tay người bạn, cậu nghe một tiếng “rắc”. Cánh tay phải đột ngột đau nhói, không thể cử động.
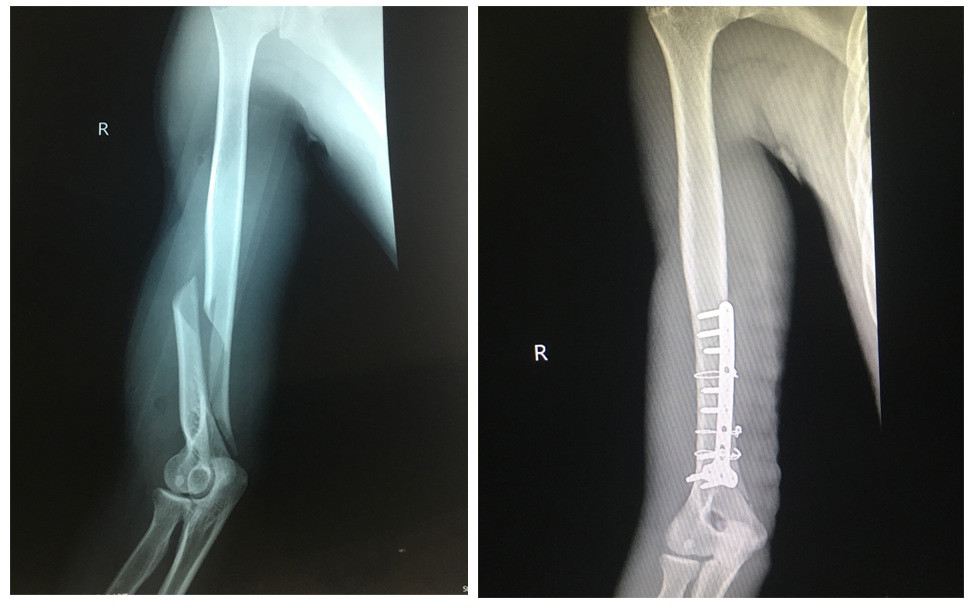
Câu được đưa đến Bệnh viện Việt Nam-Thụy Điển Uông Bí (Quảng Ninh) cấp cứu. Hình ảnh trên phim chụp X-quang cho thấy bệnh nhân bị gãy kín 1/3 dưới xương cánh tay phải. Bác sĩ chỉ định phẫu thuật nắn chỉnh xương và kết hợp xương nẹp vít.
Hình ảnh phim chụp X-quang của người bệnh trước phẫu thuật (bên trái) và sau phẫu thuật (bên phải).
Theo bác sĩ khoa Chấn thương - Chỉnh hình & Bỏng, Bệnh viện Việt Nam-Thụy Điển Uông Bí, bộc lộ ổ gãy 1/3 dưới xương cánh tay phải khi phẫu thuật các bác sĩ nhận thấy xương cánh tay bị gãy vặn xoắn đoạn chừng 8cm, di lệch nhiều, ổ gãy nhiều máu tụ. Ê kíp phẫu thuật đã tiến hành làm sạch ổ gãy, đặt lại xương và cố định lại xương cánh tay bằng nẹp, vít.
Cũng theo bác sĩ đối với tổn thương gãy xương chéo xoắn thông thường mất 3-4 tuần thậm chí là 3 - 6 tháng để hồi phục. Điều này ảnh hưởng rất lớn đến sức khỏe cũng như gây tốn kém cho người bệnh, chi phí tốn kém, mất khả năng lao động thời gian dài.
Các bác sĩ khuyến cáo vật tay là trò chơi được giới trẻ ưa chuộng nhưng nguy hiểm vì khi vật tay sẽ tạo ra sức cơ không cân đối, tư thế không đúng sẽ làm bẻ gãy xương tay. Điều này không chỉ gây tổn thương đến xương mà còn có thể gây tổn thương thần kinh quay đi kèm, do thần kinh quay nằm rất sát xương. Khi đó người bệnh có thể bị giảm khả năng vận động, hạn chế cầm nắm hoặc nặng hơn có thể mất vận động cánh tay.



