Google News

Chóng mặt dài ngày, đi khám mới phat hiện u não hiếm gặp

Nhức đầu nhiều năm, nay bệnh nhân đã khỏe mạnh
Nhức đầu nhiều năm, nay bệnh nhân đã khỏe mạnh
TPO - Bà N.T.T.N., 57 tuổi, quê ở Vĩnh Long bị đau đầu hơn 10 năm, dù đi khám nhiều bệnh viện nhưng không khỏi. Gần đây, chứng đau đầu nặng hơn khiến bà N. vô cùng lo lắng.

Ngày 1/9, Bệnh viện Đột quỵ Tim mạch Cần Thơ (Bệnh viện S.I.S Cần Thơ) cho biết, bệnh viện vừa cứu chữa thành công một trường hợp bị nhức đầu nhiều năm liền nhờ chụp cộng hưởng từ MRI 3 Tesla, giúp bệnh nhân thoát khỏi cơn chóng mặt triền miên hơn mười năm trời.

Hơn 10 năm nay, bà N. thường xuyên bị chóng mặt, bà đến khám ở các bệnh viện được chẩn đoán bị Rối loạn tuần hoàn não. Suốt thời gian đó bà đều dùng thuốc đều đặn nhưng không khỏi bệnh. Đặc biệt, khoảng 1 tháng nay, triệu chứng này càng diễn ra nhiều hơn và nặng hơn nên bà đến thăm khám tại Bệnh viện S.I.S Cần Thơ.

Chóng mặt dài ngày, đi khám mới phat hiện u não hiếm gặp ảnh 1   Chóng mặt dài ngày, đi khám mới phat hiện u não hiếm gặp ảnh 2
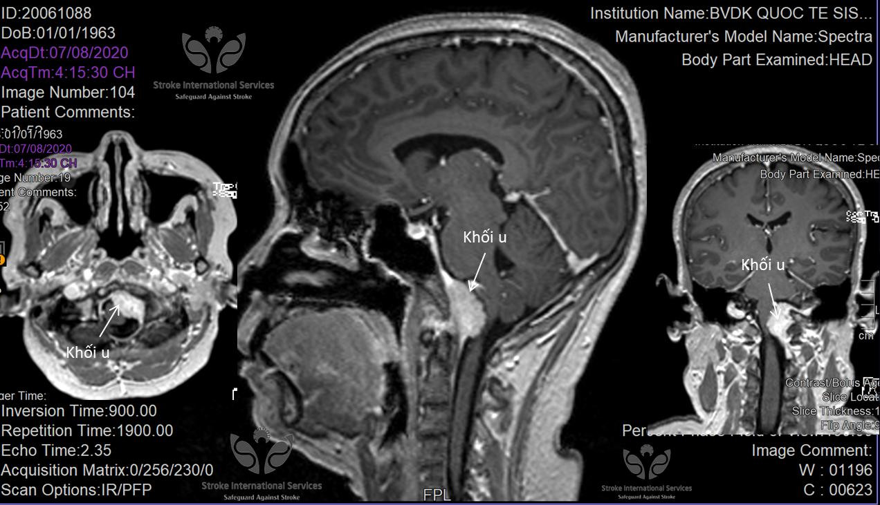
Kết quả chụp MRI 3 Tesla của bệnh nhân- ảnh: BVCC

Tại đây, bà N. được bác sĩ chỉ định chụp MRI 3 Tesla để tìm nguyên nhân. Kết quả cho thấy, bà N. bị u màng não vùng mặt dốc xương đá - lỗ chẩm rất hiếm gặp. 

BSCKI Phương Hồng Thọ - Bệnh viện S.I.S Cần Thơ cho biết: “Bệnh nhân đến khám với triệu chứng chóng mặt rất chung chung, bệnh nhân không yếu liệt tay chân hoặc một dấu hiệu thần kinh nào đặc biệt nên trước đó bệnh nhân chỉ được điều trị triệu chứng.

Tuy nhiên, để không bỏ sót bệnh lý chúng tôi đã cho bệnh nhân tầm soát bằng những phương tiện chẩn đoán hình ảnh kỹ thuật cao, phát hiện ra u màng não ở vị trí rất hiếm gặp, rất khó chẩn đoán. Nếu bệnh nhân này chỉ định chụp CT có thể không phát hiện được khối u, nếu khối u này lớn thêm bệnh nhân có thể bị yếu liệt tứ chi do chèn ép hành não”.

Nhớ lại thời gian nhận được kết quả chẳng lành, bà N kể: “Hơn 10 năm đi nhiều bệnh viện mà không khỏi cơn chóng mặt thì mình cũng cảm nhận được mình có bệnh. Lúc vô chụp MRI, tôi cũng cầu cho kết quả bình thường, còn nếu có bệnh thì cầu cho phát hiện liền chính xác rồi tính tiếp. Dù chuẩn bị sẵn tâm lý nhưng nghe u là sợ nên gia đình buồn, hoang mang, khóc như mưa. Rồi điều trị thành công, mình thở phào nhẹ nhõm”. 

Chóng mặt dài ngày, đi khám mới phat hiện u não hiếm gặp ảnh 3Bệnh nhân đã khỏe mạnh (ảnh: BVCC)

Có thể thấy, việc điều trị cho bệnh nhân có mang lại hiệu quả hay không, bên cạnh bác sĩ giỏi, tay nghề cao còn phụ thuộc rất lớn vào thiết bị chẩn đoán ban đầu. Một thiết bị hiện đại các chức năng ngày càng cải tiến, sẽ là cánh tay đắc lực cho bác sĩ. Chỉ khi chẩn đoán chính xác cùng sự lành nghề của bác sĩ mới đem lại ánh sáng và hy vọng cho bệnh nhân, mang lại cơ hội cứu chữa tốt hơn, giảm thiểu rủi ro, thời gian công sức và chi phí điều trị. 

Trước đây, việc điều trị u màng não vùng mặt dốc xương đá nói riêng và các U màng não nói chung phương pháp điều trị thường gặp nhất là xạ trị hoặc phẫu thuật.

Tuy nhiên, tỷ lệ tử vong cũng như biến chứng sau mổ là rất cao: bệnh nhân có thể bị liệt nửa người hoặc tổn thương các dây thần kinh sọ gây liệt mặt (dây VII), giảm khả năng linh hoạt của mắt, sụp mí (dây III)... Y học càng tiến bộ, thiết bị chẩn đoán và phương pháp điều trị ngày một phát triển, vì thế các bệnh lý mạch máu có thể điều trị thuận tiện hơn bằng phương pháp can thiệp nội mạch.

TS.BS Trần Chí Cường - Giám đốc Bệnh viện S.I.S Cần Thơ chia sẻ: “Thời điểm hiện tại, phương pháp điều trị cho bệnh nhân có U não ở vị trí sâu không thể phẫu thuật, hay có nhiều mạch máu nuôi chính là can thiệp nội mạch gây tắc mạch nuôi u trước mổ giúp cuộc mổ lấy u an toàn hơn hay việc gây tắc mạch nuôi sẽ làm khối u chậm phát triển, thậm chí nhỏ lại. Đây là phương pháp ít xâm lấn, an toàn cao thậm chí không cần phải gây mê trong lúc làm thủ thuật, thường chỉ sau 2-3 ngày bệnh nhân sẽ được xuất viện không để lại sẹo vết trên đầu, không để lại di chứng tổn thương não”.