Google News

Cứu sống bệnh nhân 'mười phần đã chết chín'

Bệnh nhân N.V.P. khi đã dần hồi phục
Bệnh nhân N.V.P. khi đã dần hồi phục
TPO - Một bệnh nhân đã "đặt chân vào cửa tử" vì  hôn mê sâu do chảy máu dưới nhện, chảy máu toàn bộ hệ thống não thất và giãn não thất cấp đã được các BS Khoa A9, Bệnh viện Bạch Mai, Hà Nội cứu sống như một phép màu. 

10 phần chết 9

Theo Th-s, BS Lương Quốc Chính, Khoa Cấp cứu A9, BV Bạch Mai, bệnh nhân N.V.P., nam, 52 tuổi, địa chỉ ở Nam Sách, Hải Dương. Bệnh viện Đa khoa tỉnh Hải Dương chuyển bệnh nhân lên Khoa Cấp cứu A9, Bệnh viện Bạch lúc 13 giờ 15 phút, ngày 26 tháng 2 năm 2017 với chẩn đoán đột quỵ chảy máu dưới nhện, tiền sử tăng huyết áp nhiều năm nhưng không điều trị.

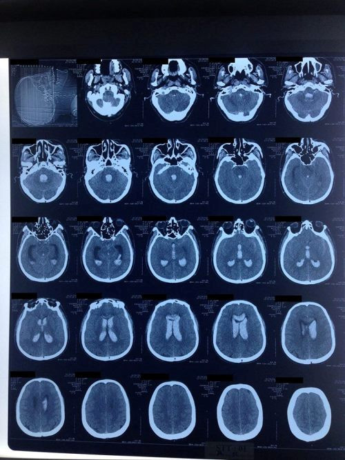
Khoảng 9 giờ sáng ngày 26 tháng 2 năm 2017, bệnh nhân đột ngột đau đầu dữ dội, sau đó nhanh chóng rối loạn ý thức, được gia đình đưa vào Bệnh viện Đa khoa tỉnh Hải Dương trong tình trạng hôn mê sâu (GCS 5 điểm), ứ đọng hầu họng nhiều và không rõ liệt. Bác sĩ trực đã nhanh chóng tiến hành cấp cứu, đặt ống nội khí quản và thở máy cho bệnh nhân. Khoảng 1 giờ sau khi được cấp cứu, bệnh nhân ổn định hơn và được chụp phim cắt lớp vi tính sọ não cho kết quả chảy máu dưới nhện, chảy máu toàn bộ hệ thống não thất và giãn não thất cấp.

Phim chụp cắt lớp vi tính sọ não của bệnh nhân N.V.P khi vào viện. Ảnh: BS Lương Quốc Chính.

Bệnh nhân được chuyển lên Khoa Cấp cứu A9, Bệnh viện Bạch Mai lúc 13 giờ 15 phút cùng ngày trong tình trạng hôn mê sâu (GCS 5 điểm), được bóp bóng qua ống nội khí quản, mạch nhanh (110 lần/phút), huyết áp cao (180/100 mmHg), không rõ liệt, đồng tử còn tốt (kích thước 2 mm, đều hai bên, phản xạ với ánh sáng còn). Phim chụp cắt lớp vi tính sọ não có hình ảnh chảy máu dưới nhện lan tỏa, chảy máu toàn bộ hệ thống não thất và có giãn não thất cấp.

Đánh giá tình trạng của bệnh nhân theo các phân loại mức độ nặng hiện nay cho cho thấy: (1) phân loại Hunt-Hess đạt độ IV (theo các bằng chứng khoa học thì với độ nặng này bệnh nhân có nguy cơ tử vong rất cao, tỷ lệ tử vong chiếm tới 80%); (2) phân loại Fisher đạt độ IV (với mức độ nặng này thì bệnh nhân có nguy cơ co thắt mạch não rất cao, tỷ lệ biến chứng có thắt mạch có thể lên tới 31% khiến cho kết cục lâm sàng rất xấu); (3) mức độ nặng của chảy máu não thất theo thang điểm Graeb đạt 12 điểm (đây là mức độ nặng nhất của chảy máu não thất, tỷ lệ tử vong trong trường hợp này sẽ rơi vào khoảng > 90%).

 Để có được thành công này, các bác sĩ Khoa Cấp cứu A9 và Khoa Chẩn đoán Hình ảnh, Bệnh viện Bạch Mai đã phải nỗ lực rất nhiều, nhất là khi bệnh nhân có quá nhiều yếu tố nguy cơ, yếu tố tiên lượng nặng khiến cho bệnh nhân có thể tử vong bất cứ lúc nào.

Sau khi thăm khám, đánh giá tình trạng nặng của bệnh nhân trên cơ sở các bằng chứng khoa học hiện nay, các bác sĩ trực tại Khoa Cấp cứu A9 đã hội chẩn với nhau và xin ý kiến lãnh đạo hướng xử trí cấp cứu cho bệnh nhân sao cho an toàn và hiệu quả nhất có thể. Thông thường, những trường hợp đột quỵ chảy máu dưới nhện như thế này sẽ được các bác sĩ chỉ định chụp phim cắt lớp vi tính đa dãy não và mạch não ngay để tìm nguyên nhân chảy máu (thường gặp là phình động mạch não vỡ). Tuy nhiên, vì bệnh nhân đang ở trong tình trạng quá nặng, có thể tử vong rất nhanh ngay trước mắt các bác sĩ mà không kịp làm gì, cho nên lãnh đạo Khoa Cấp cứu A9 đã đồng ý và thống nhất với các bác sĩ trực rằng phải mổ đặt dẫn lưu não thất ra ngoài (EVD) cấp cứu cho bệnh nhân ngay lập tức.

Chỉ khoảng 60 phút sau kể từ khi bệnh nhân vào viện, dẫn lưu não thất ra ngoài (EVD) đã được đặt an toàn cho bệnh nhân ngay tại Khoa Cấp cứu A9. Sau khi đặt dẫn lưu não thất ra ngoài (EVD) khoảng vài giờ, ý thức bệnh nhân có cải thiện hơn (GCS lên 8 điểm), bệnh nhân được chụp phim cắt lớp vi tính đa dãy não và mạch não và cho kết quả hình ảnh tụ máu gối thể chai, chảy máu dưới nhện lan tỏa, máu tụ lấp kín hệ thống não thất do vỡ túi phình đoạn A2 động mạch não trước bên trái và phù não lan tỏa.

Sau khi có chẩn đoán, việc tiếp theo là phải giải quyết nguyên nhân chảy máu (túi phình đoạn A2 động mạch não trước bên trái vỡ). Tuy nhiên, vì tình trạng bệnh nhân quá nặng, nguy cơ tử vong rất cao, chi phí cho việc điều trị và các can thiệp rất lớn ngay cả khi bệnh nhân có bảo hiểm y tế chi trả một phần. 

Các bác sĩ Khoa Cấp cứu A9 đã mời gia đình bệnh nhân vào giải thích và nói chuyện về tình trạng của bệnh nhân, đặc biệt những khó khăn về chuyên môn cũng như tài chính mà các bác sĩ cũng như gia đình bệnh nhân sẽ phải đối mặt. Để cho các bác sĩ không phải bận tâm nhiều, gia đình bệnh nhân đã đặt trọn niềm tin vào Khoa Cấp cứu A9, Bệnh viện Bạch Mai, và luôn sẵn sàng đáp ứng tất cả những yêu cầu về tài chính để tạo thuận lợi cho các bác sĩ cứu người cho dù kết quả cuối cùng có ra sao.

Mạnh khỏe trở về

Khoảng vài giờ sau khi có chẩn đoán nguyên nhân, bệnh nhân đã được tiến hành can thiệp nội mạch não nhằm nút tắc túi phình vỡ bằng các vòng lò xo thép (coils) để cầm máu tại Khoa Chẩn đoán Hình ảnh, Bệnh viện Bạch Mai. 

Tuy nhiên, một khó khăn nữa có thể khiến tình trạng của bệnh nhân xấu đi bất cứ lúc nào, đó là tình trạng giãn não thất cấp do máu đông đóng bánh trong toàn bộ hệ thống não thất. Mặc dù, dẫn lưu não thất ra ngoài (EVD) đã được đặt cho bệnh nhân nhằm giải quyết một phần các vấn đề cấp cứu ban đầu như tăng áp lực nội sọ và giãn não thất cấp, nhưng với một lượng máu quá lớn trong hệ thống não thất của bệnh nhân như thế có thể sẽ đẩy bệnh nhân vào tình trạng xấu hơn, không hồi phục trong vài ngày tới do máu đông làm tắc nghẽn hệ thống não thất, do các tác dụng độc của máu đông trong não thất, do hiệu ứng khối của máu đông lên các vùng não xung quanh, đặc biệt là hiệu ứng khối lên thân não - một vị trí rất quan trọng.

Một phương pháp điều trị đặc hiệu đã được đặt ra, sử dụng thuốc tiêu sợi huyết (rt-PA, Alteplase) bơm vào não thất qua dẫn lưu não thất đã được đặt trước đó. Phương pháp điều trị này là một kỹ thuật mới đã và đang được nghiên cứu trên thế giới cũng như tại Khoa Cấp cứu A9, Bệnh viện Bạch Mai từ vài năm nay. 

Kết quả bước đầu đã công bố cho thấy phương pháp này có thể cứu sống người bệnh, làm giảm tỷ lệ tử vong và làm cải thiện chức năng thần kinh trong một số trường hợp cụ thể, nhất là với những trường hợp chảy máu não thất nhiều như bệnh nhân này.

Sau 5 ngày điều trị có sử dụng 6 liều thuốc tiêu sợi huyết não thất, bệnh nhân đã tỉnh táo hoàn toàn, thôi thở máy và được rút ống nội khí quản. Phim chụp cắt lớp vi tính hàng ngày cho thấy não thất không còn giãn, máu đông trong hệ thống não đã tiêu hết một các ngoạn mục, hệ thống não thất đã thông thoáng trở lại. Bệnh nhân đã được rút dẫn lưu não thất vào ngày thứ 7 sau đột quỵ.

Hôm nay là ngày điều trị thứ 15, bệnh nhân đã tỉnh táo hoàn toàn, không phải thở oxy kính mũi nữa, có thể ăn được đường miệng mặc dù phản xạ bảo vệ đường thở còn yếu. Gia đình bệnh nhân đã rất vui khi được các bác sĩ cho bệnh nhân chuyển về tuyến dưới điều trị. Trước khi lên đường, bệnh nhân ngoái lại “than” rằng “tại sao các anh không cho tôi ở lại” và mỉm cười rất đáng yêu.