Google News

Dân quân tự vệ bị 'cẩu tặc' dùng tên điện bắn thủng ngực

Bệnh nhân Đào Thiện Thắng sau ca phẫu thuật lấy mũi tên điện ra khỏi ngực tại Bệnh viện Chợ Rẫy TPHCM. Ảnh: Quốc Ngọc
Bệnh nhân Đào Thiện Thắng sau ca phẫu thuật lấy mũi tên điện ra khỏi ngực tại Bệnh viện Chợ Rẫy TPHCM. Ảnh: Quốc Ngọc
TPO - Ngày 14/8, bác sĩ Trương Thế Hiệp - Phó khoa cấp cứu Bệnh viện Chợ Rẫy TPHCM - cho biết, lúc 3h45 sáng cùng ngày, bệnh viện tiếp nhận một dân quân tự vệ từ tỉnh Long An chuyển lên trong tình trạng bị một mũi tên (có dây điện) găm sâu vào ngực.

Theo người thân, vào rạng sáng 14/8, anh Đào Thiện Thắng (32 tuổi) cùng tổ dân quân tự vệ ấp Bình Tiền 1, xã Đức Hòa Hạ (huyện Đức Hòa) được phân công tuần tra tại Khu dân cư Tân Đức. 

Trong lúc đi tuần, tổ dân quân phát hiện trong đêm khuya có 2 thanh niên chở nhau trên xe gắn máy, dấu hiệu khả nghi. Anh Thắng là người ra hiệu yêu cầu dừng xe để kiểm tra. 

Tuy nhiên, khi chạy đến gần, 2 đối tượng này đã không dừng xe mà bất ngờ tăng ga chạy tiếp, cùng lúc kẻ ngồi phía sau dùng súng bắn mũi tên điện thẳng vào ngực anh Thắng ở cự ly gần. Anh Thắng ngã quỵ tại chỗ, còn 2 đối tượng chạy thoát.

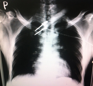
Bác sĩ Hiệp cho biết, dị vật cắm sâu vào thành ngực ở vũng hõm ức lệch phải. “Lần đầu tiên tôi mới thấy dị vật này. Qua phim X-quang, phần ngập trong ngực bệnh nhân có hình như mũi tên với 2 mũi kim loại nhọn dài khoảng 3cm, có thể được tự chế từ căm xe. Phần kim loại này được gắn vào cán gỗ dài. Một trong 2 mũi nhọn còn ”, ông nói.

Sau ca phẫu thuật kéo dài hơn 1 giờ đồng hồ, các bác sĩ đã lấy mũi tên ra khỏi thành ngực anh Thắng. Hiện sức khỏe bệnh nhân đã ổn định, tỉnh táo, giao tiếp được.

Anh Thắng lúc vào cấp cứu tại Bệnh viện Chợ Rẫy TPHCM với mũi tên điện còn ghim sâu vào ngực. Ảnh do bệnh viện cung cấp.
Phim X-quang chụp vùng ngực bệnh nhân cho thấy mũi tên điện có 1 dây diện nối vào phần mũi nhọn kim loại. Ảnh: Quốc Ngọc

Trao đổi với báo Tiền Phong, anh Thắng nói mũi tên bắn anh là loại vũ khí mà những kẻ trộm chó thường sử dụng để bắn chó. Sau khi bị dính mũi tên, anh Thắng cho biết, anh đã bị điện giật và ngã xuống đất. Tuy không bất tỉnh nhưng anh không thể cử động được. Tổ dân quân tự vệ lúc đó có 4 người và chỉ được trang bị gậy.

“Tôi mong lực lượng dân quân nên được trang bị thêm các công cụ, điều kiện an toàn trong làm nhiệm vụ để đỡ nguy hiểm. Tối qua, tôi chỉ cầm khúc cây có 8 tấc thì không bảo vệ được vì súng bắn điện này có thể bắn ở khoảng cách 4-5 m”, anh Thắng nói.