Ngày 7/3, Bệnh viện Đa khoa Trung ương Cần Thơ cho biết, các bác sĩ nhiều chuyên khoa vừa phối hợp phẫu thuật cấp cứu cho N.V.H (24 tuổi, ngụ TP Cần Thơ) bị đạn lạc với tổn thương phức tạp vùng kín nam giới.
Theo lời bệnh nhân kể, trong lúc đang làm lúa ngoài đồng thì bất ngờ nghe tiếng nổ, đột ngột thấy đau nhói vùng bẹn và đùi trái. Sau đó, H. thấy máu chảy từ vùng bẹn. Quan sát xung quanh không thấy ai nên bệnh nhân đã cố gắng di chuyển vào nhà và được người thân đưa đi cấp cứu.
H. nhập viện trong tình trạng vết thương vùng bìu bên trái 1cm, vết thương hở mặt trước đùi trái 0.5cm đang chảy máu, mạch bẹn bên trái bắt rõ.
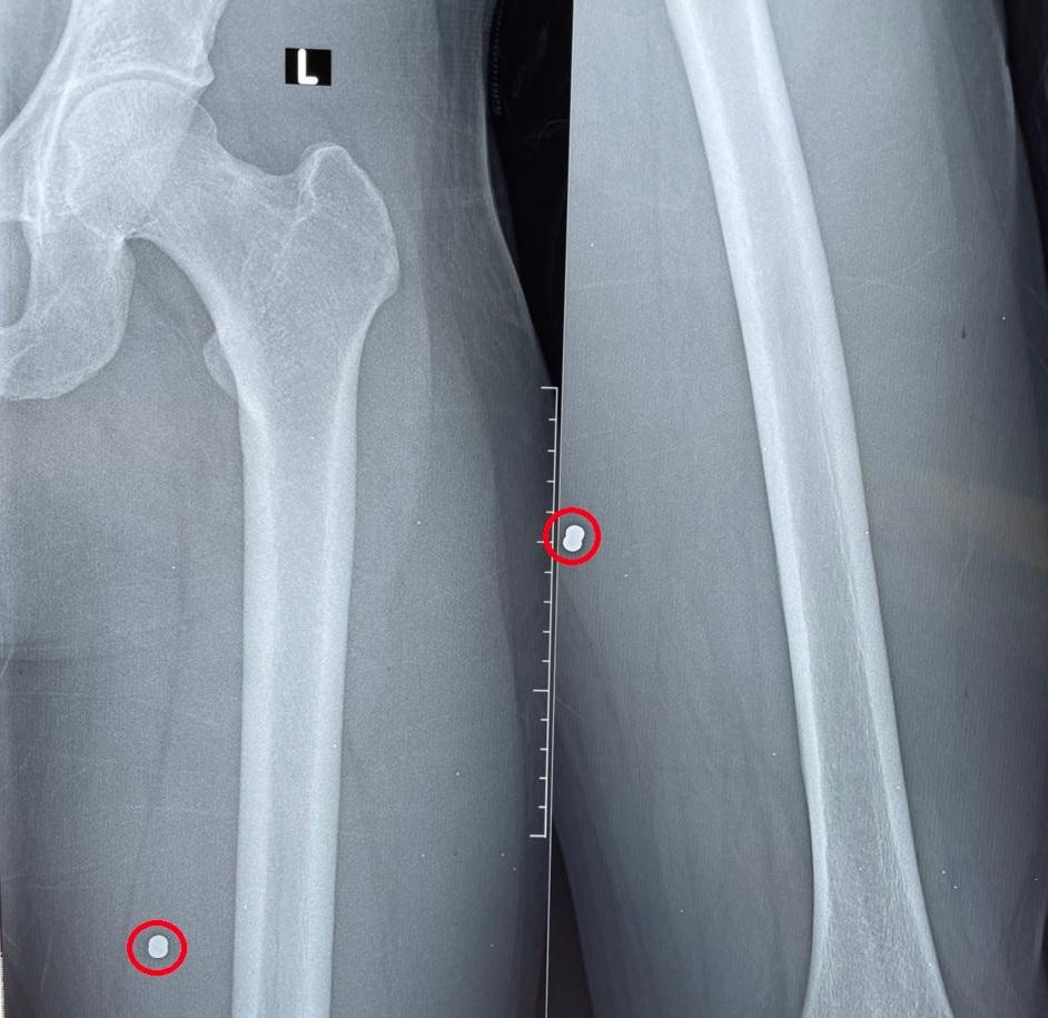
![]() |
| Hình ảnh đầu đạn trên phim Xquang. |
Các bác sĩ tiến hành sơ cứu kiểm tra vết thương, xử trí cấp cứu và nghi ngờ dị vật là viên đạn. X-Quang xương đùi trái ghi nhận dị vật cản quang nghi đầu đạn bằng kim loại trong mô mềm vị trí 1/3 trên đùi trái.
Hội chẩn các chuyên khoa quyết định phẫu thuật lấy đầu đạn và khâu vết thương do đầu đạn xuyên qua.
Qua thám sát, ekip phẫu thuật thấy tổn thương xuyên thấu dương vật, niệu đạo, mào tinh hoàn trái nên đã tiến hành rửa cắt lọc khâu cầm máu thương tổn, bảo tồn thành công phận sinh dục cho bệnh nhân.
![]() |
| Ekip phẫu thuật cho bệnh nhân. |
Tiếp tục thám sát vết thương đầu vào 0.5cm ở 1/3 trên đùi trái mặt trong. Các bác sĩ đã định vị dị vật bằng máy C-Arm và lấy ra một đầu đạn chì.
Quá trình thực hiện khá khó khăn do đường đi của viên đạn xuyên sâu vào các lớp cơ. Tuy nhiên, sau hơn 2 giờ, ca phẫu thuật cũng diễn ra thành công.
![]() |
| Viên đạn được lấy ra thành công. |
Hiện tại, bệnh nhân tỉnh, tiếp xúc tốt đang được theo dõi, điều trị tại Khoa Ngoại Thận - Tiết niệu.
Theo Bác sĩ CK2 Nguyễn Phước Lộc - Trưởng Khoa Ngoại thận - Tiết niệu, vết thương hỏa khí là do tác nhân vũ khí nổ có vận tốc lớn, tổn thương có năng lượng truyền dẫn cao, hình thái thương tổn rất phức tạp. Do đó, khó tiên đoán được mức độ tổn thương khi bị xuyên thấu.
Bác sĩ Lộc cho biết, trong thời chiến, vết thương do hỏa khí ở riêng biệt dương vật hoặc vùng bìu là hiếm gặp. Nhưng trong thời bình, chấn thương hoặc vết thương vùng bìu và dương vật thường hay gặp hơn do các tai nạn trong sinh hoạt, tai nạn giao thông và tai nạn trong các hoạt động thể dục thể thao.
Đồng thời, bác sĩ khuyến cáo, khi nghi ngờ bị vết thương do hỏa khí, nạn nhân cần được sơ cứu kịp thời, băng ép vết thương cẩn thận bằng gạc sạch và nhanh chóng chuyển đến cơ sở y tế chuyên khoa để được xử trí kịp thời. Không cố lấy viên đạn ra dù miệng vết thương nhỏ vì không thể dựa vào vết thương bề mặt để đánh giá những tổn thương, mức độ phức tạp của tổn thương phụ thuộc vào đường di chuyển của viên đạn.


