13 tuổi đã “dính”... u nang buồng trứng
Bệnh nhân N.T.N (13 tuổi, Hà Nội) nghi ngờ mắc bệnh dạ dày vì trong 2 tháng gần đây bụng cảm thấy chướng bất thường, xuất hiện những cơn đau âm ỉ, kể cả khi ăn đủ bữa và ngủ đúng giờ. Mặc dù tần suất đau bụng gia tăng nhưng kinh nguyệt vẫn đều và không chảy máu vùng kín nên bệnh nhân chỉ đến phòng khám gần nhà để kiểm tra tiêu hóa.
Bất ngờ, bác sĩ thăm khám nhận thấy vùng bụng dưới của bệnh nhân N có xuất hiện khối cứng, nghi ngờ u tại tử cung hoặc buồng trứng nên gia đình đã đưa bé đến Bệnh viện Đa khoa Hồng Ngọc Phúc Trường Minh để siêu âm kỹ hơn.
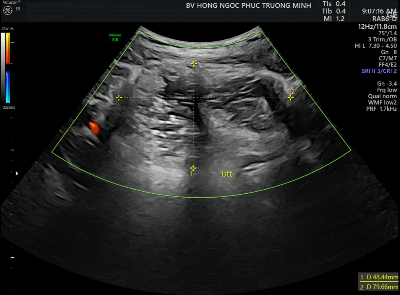
Sau khi nhập viện, các bác sĩ đã nhanh chóng kiểm tra, đánh giá tình trạng bệnh lý cũng như hoàn thiện các chỉ định cận lâm sàng để xác định tính chất khối u và tìm phương án điều trị phù hợp. Hình ảnh trên máy siêu âm hiển thị 2 khối u nang nằm ở 2 bên buồng trứng, có kích thước lần lượt là 46x59mm và 48x80mm.
![]() |
| Hình ảnh siêu âm cho thấy khối u kích thước 48*80mm tại buồng trứng trái. |
May mắn, cả 2 khối u đều không phát hiện tăng sinh, chẩn đoán u lành. Sau khi tiến hành hội chẩn, các bác sĩ kết luận với trường hợp bệnh nhân nhỏ tuổi thì phương pháp phẫu thuật nội soi loại bỏ khối u cần được thực hiện sớm để tránh biến chứng ảnh hưởng đến sức khỏe sinh sản sau này.
Sử dụng công nghệ hiện đại, bảo tồn tử cung, giữ nguyên thiên chức làm mẹ sau này
Bác sĩ CKI Đỗ Danh Trường (khoa Sản Phụ khoa - Bệnh viện Đa khoa Hồng Ngọc Phúc Trường Minh) cho biết: “Mặc dù khối u chưa lớn, nhưng do bệnh nhân nhỏ tuổi nên phải tiến hành can thiệp thật sớm nhằm hạn chế nguy cơ biến chứng, các bác sĩ cũng phải đảm bảo thao tác thật khéo léo để giảm thiểu tối đa tổn thương đến tử cung và buồng trứng”.
Nhằm hạn chế ảnh hưởng đến thiên chức làm mẹ sau này, ekip bác sĩ của Bệnh viện Phụ Sản Trung Ương và bệnh viện Đa khoa Hồng Ngọc đã sử dụng các thiết bị phẫu thuật nội soi tân tiến, bóc tách khối u một cách nhanh chóng. Dao Ligasure được sử dụng để cắt và hàn ngay các mạch máu nhỏ tại buồng trứng, giúp hạn chế tình trạng chảy máu và giảm ảnh hưởng đến các vùng lân cận.
Sau khoảng 2 giờ phẫu thuật, 2 khối u đã được loại bỏ, bảo tồn được tử cung và buồng trứng cho bệnh nhi. Phụ huynh bạn N thở phào nhẹ nhõm.
Chị A.T mẹ của bệnh nhân xúc động nói: “Lúc nhận được thông báo con bị u nang buồng trứng thì cả gia đình đều vô cùng kinh ngạc vì nghĩ đây chỉ là bệnh của người trưởng thành chứ không ai tin con mình còn nhỏ đã mắc bệnh.
Khi con nằm trong phòng mổ, cả gia đình tôi ở bên ngoài đứng ngồi không yên. Giờ đây, sau khi con phẫu thuật xong và dần hồi phục sức khỏe, vết mổ cũng không còn thấy đau, gia đình tôi chỉ biết cảm ơn các bác sĩ và cảm ơn bệnh viện.
Bác sĩ phụ trách phẫu thuật cũng bảo may mắn là phát hiện sớm, khối u chưa quá to và chưa có biến chứng nên việc phẫu thuật nội soi có thể đảm bảo thẩm mỹ cho con và giúp con nhanh hồi phục”.
| Bác sĩ phẫu thuật thao tác khéo léo để hạn chế tối đa tổn thương đến buồng trứng |
Trong và sau khi khi phẫu thuật, các bác sĩ đã áp dụng phương pháp giảm đau đa mô thức nhằm giúp bệnh nhi giảm cảm giác đau đớn hậu phẫu và hạn chế nguy cơ đau mạn tính sau này. Đến nay, sức khỏe bệnh nhân đã ổn định, vùng bụng không còn cảm giác chướng đầy. Sau 3 ngày theo dõi, bệnh nhi đã được xuất viện.
Đau bụng không chỉ bởi dạ dày mà có thể do u nang tiến triển
Giải thích về trường hợp bệnh nhân còn nhỏ tuổi nhưng đã có u nang buồng trứng, bác sĩ Trường cho biết: “U nang buồng trứng là bệnh lý phụ khoa thường gặp và có thể xảy ra ở cả tuổi dậy thì. Do các bé còn nhỏ, chu kỳ kinh nguyệt chưa đều cùng với tâm lý chủ quan mải chơi nên thường không để ý đến những thay đổi của cơ thể. Vì vậy, rất nhiều bệnh nhân trẻ tuổi được phát hiện mắc u nang buồng trứng với các khối u kích thước lớn, các cơn đau xuất hiện thường xuyên, thậm chí có trường hợp biến chứng nguy hiểm đến tính mạng”.
Những khối u tại buồng trứng có thể chèn ép vào các cơ quan lân cận, đặc biệt là trực tràng và hậu môn, làm bệnh nhân cảm thấy chướng bụng, khó tiêu và có các cơn đau không rõ ràng. Đây có thể là nguyên nhân khiến người chủ quan cho rằng đó là cơn đau dạ dày nên không đi thăm khám. Đến khi phát hiện thì các khối u có thể đã choán hết ổ bụng gây đau đớn dữ dội.
Để ngăn ngừa những biến chứng nguy hiểm do u nang buồng trứng gây ra, chị em cần để ý một số dấu hiệu có thể nhận biết bao gồm:
● Chướng bụng, khó tiêu kéo dài
● Đau bụng dưới âm ỉ
● Chảy máu vùng kín dù không trong kỳ kinh nguyệt
Trước đó, Bệnh viện Đa khoa Hồng Ngọc đã thực hiện phẫu thuật thành công nhiều ca u nang buồng trứng, u xơ tử cung ở các bé gái, phụ nữ trong độ tuổi sinh sản, phụ nữ mãn kinh,... Theo bác sĩ Trường, việc phát hiện và điều trị sớm các khối u tại buồng trứng có thể giúp bảo tồn khả năng sinh sản và tránh những biến chứng ảnh hưởng đến tính mạng.
Do vậy, chị em phụ nữ ở mọi lứa tuổi nên đi khám phụ khoa định kỳ 6 tháng/ lần. Đối với những bạn nữ nhỏ tuổi thì việc khám sức khỏe tổng quát và làm các xét nghiệm tầm soát định kỳ có thể giúp sớm phát hiện các bệnh lý phụ khoa nguy hiểm.
Bệnh viện Đa khoa Hồng Ngọc với uy tín 20 năm trong lĩnh vực Sản Phụ khoa, tập hợp đội ngũ chuyên gia đầu ngành, giàu kinh nghiệm và tận tâm cùng trang thiết bị hiện đại, là địa chỉ tin cậy để thăm khám và điều trị các bệnh phụ khoa.
Đặt lịch khám: 0916.690.018
Bệnh viện Đa khoa Hồng Ngọc: 55 Yên Ninh, Trúc Bạch, Ba Đình, Hà Nội
Bệnh viện Đa khoa Hồng Ngọc Phúc Trường Minh: số 8 Châu Văn Liêm, Nam Từ Liêm, Hà Nội
