Google News

Giun dài cả mét sống trong chân người 4 năm

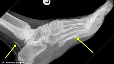
Ảnh chụp X quang cho thấy những phần còn lại của con giun
Ảnh chụp X quang cho thấy những phần còn lại của con giun
Con giun dài 1 mét lẩn phía sau mắt cá chân và lòng bàn chân một người đàn ông và đã sống trong đó 4 năm, chỉ được phát hiện ra bởi bản chụp X quang sau khi nó đã chết.

Người đàn ông gốc Sudan 38 tuổi sống ở Melbourne không hề biết mình có một con ký sinh trùng ăn thịt sống trong cơ thể. Con giun Guinea này được phát hiện trong bản chụp X quang tại bệnh viện.

Người đàn ông này đã đến Úc vào 4 năm trước, gần đây anh ta tới gặp bác sỹ để khám bàn chân do nó sưng phù mãi không hết suốt 1 năm. Tiến sỹ, bác sỹ chuyên về bệnh truyền nhiễm Jonathan Darby đã thấy trong phim X quang 2 mảnh của con “giun Guinea” cuộn tròn trong phần mắt cá và bàn chân người đàn ông. Sinh vật này có thể đã chết vì ... già và bắt đầu phân hủy trong cơ thể anh ta.

Thông thường, giun sống trong ruột non và xâm nhập vào cơ thể qua ấu trùng trong nguồn nước uống. Chúng đào khoét qua thịt và di chuyển tự do dưới lớp da.

“Quá trình này có thể mất vài năm. Chúng có thể ở trong cơ thể người vài năm rồi chết, phân hủy, sau đó gây ra các vấn đề trong khu vực nó chết như với bệnh nhân này,” Tiến sỹ Dr Darby nói.

Loài ký sinh trùng này sống ở miền Nam Sudan, Ethiopia, Ghana và Chad, không thể chữa khỏi nhưng cũng không lây nhiễm. Sau khi con giun được phẫu thuật gắp ra, người đàn ông đã hoàn toàn hồi phục.

Giun guinea sống trong cơ thể, khoét qua thịt và di chuyển dưới da

Trước đó, một người phụ nữ Trung Quốc cũng kinh hoàng phát hiện ra mình có một con sán dài 2,5 mét trong cơ thể. Người phụ nữ này họ Li, 30 tuổi, sống ở Hạ Môn, Phúc Kiến. Cô đã đi khám khi cảm thấy không khỏe và đi ngoài lỏng. Cô nghĩ đã nhiễm phải con sán này vì ăn đồ chưa nấu chín khi đi du lịch ở Đông Nam Á vào đầu năm.