![]() |
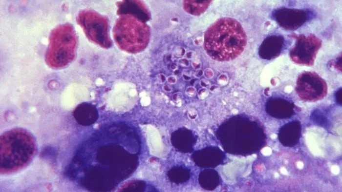
| Hình ảnh kính hiển vi của loại nấm gây bệnh histoplasmosis.(Ảnh: CDC/Tiến sĩ Lucille K. Georg qua CDC PHIL) |
Bệnh nhân thứ nhất 59 tuổi được đưa vào bệnh viện vì suy hô hấp sau khi trải qua nhiều triệu chứng khác nhau, bao gồm đau họng, khó nuốt và sụt cân nghiêm trọng trong khoảng sáu tuần. Tại bệnh viện, các bác sĩ đã yêu cầu chụp cắt lớp vi tính (CT) cổ của bệnh nhân, kết quả cho thấy người đàn ông này bị chất nhầy làm tắc nghẽn thanh quản trên và dây thanh quản bên phải.
Trong khi đó, bệnh nhân thứ hai, 64 tuổi, ban đầu được đưa vào viện vì nồng độ muối trong máu thấp, gây sưng mô. Răng cũng trong tình trạng yếu kém, khiến anh ta khó ăn hoặc uống, dẫn đến sụt cân và bị ho mãn tính.
Khi được đưa vào viện, bệnh nhân thứ nhất dường như đang suy kiệt và có dấu hiệu nhiễm trùng máu do vi khuẩn. Một lần chụp CT bổ sung, lần này là chụp ngực, cho thấy bệnh nhân có dịch tích tụ trong phổi . Các bác sĩ đã điều trị cho bệnh nhân bằng thuốc kháng sinh và cho bệnh nhân thở máy trong thời gian ngắn để hỗ trợ hô hấp. Sau đó, nhóm y tế đã xác định được dấu vết của nấm trong nước tiểu của bệnh nhân và trong chất nhầy ho ra từ đường hô hấp.
Tại bệnh viện, bệnh nhân thứ hai bị sốt 38 độ C. Chụp CT phát hiện nhiều tổn thương ở ngực và bụng. Ngoài ra, phát hiện dấu vết nấm trong nước tiểu.
Cả hai bệnh nhân này sống cùng một khu vực và được chẩn đoán mắc một bệnh nhiễm trùng phổi do nấm hiếm gặp gọi là bệnh histoplasmosis và đã tử vong.
Cẩn thận với nấm mọc trên đất và phân của chim hoặc dơi
Tình trạng này xảy ra khi mọi người hít phải bào tử của một loại nấm có hại có tên là Histoplasma capsulatum, thường mọc trong đất và phân của chim và dơi . Khoảng 1 đến 2 người trên 100.000 người ở Mỹ bị nhiễm histoplasmosis mỗi năm. Tuy nhiên, hầu hết những người tiếp xúc với loại nấm này đều không phát triển bất kỳ triệu chứng nào. Các triệu chứng có nhiều khả năng xuất hiện ở những người mắc bệnh phổi hoặc hệ thống miễn dịch suy yếu.
Trong hai trường hợp này, các triệu chứng của bệnh nhân có thể trầm trọng hơn do các bệnh khác mà họ mắc phải trước khi phát triển bệnh histoplasma. Ví dụ, bệnh nhân thứ nhất bị khí phế thũng, một loại bệnh phổi tắc nghẽn mãn tính (COPD) phổ biến trong đó các túi khí trong phổi bị tổn thương, gây cản trở hô hấp.
Cả hai bệnh nhân trong những trường hợp này đều đã sử dụng hoặc có kế hoạch sử dụng phân dơi làm phân bón cây. Đây là mối nguy hiểm mà ít ai biết rằng, sử dụng phân dơi làm phân bón sẽ gây rủi ro cho bất kỳ hoạt động làm vườn nào.
