Google News

‘Hồi sinh’ khớp gối bị biến dạng nghiêm trọng cho cụ bà tại Huế

TPO - Các bác sĩ Bệnh viện Trung ương Huế vừa thực hiện thành công ca phẫu thuật đặc biệt, giúp một cụ bà 69 tuổi gần như “hồi sinh” khớp gối sau nhiều năm bị thoái hóa, biến dạng nghiêm trọng khiến việc đi lại trước đó của bệnh nhân gần như là không thể.

Ngày 23/8, thông tin từ Bệnh viện Trung ương Huế, các y bác sĩ của đơn vị vừa phẫu thuật thành công cho một nữ bệnh nhân cao tuổi, giúp đi lại bình thường, sau nhiều năm bị thoái hóa, biến dạng khớp gối nghiêm trọng.

khop-goi-1.jpg
khop-goi-2.jpg
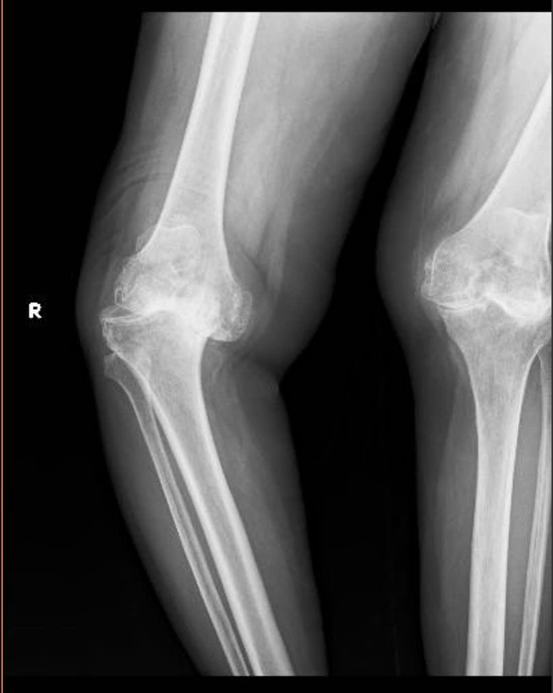
Khớp gối của bệnh nhân X. trước và sau khi phẫu thuật.

Bệnh nhân là bà Hồ Thị X. (69 tuổi, trú xã Chân Mây - Lăng Cô, TP Huế). Bệnh nhân X. nhập viện tháng 6/2025 trong tình trạng đau nhức dữ dội, hai khớp gối bị biến dạng nghiêm trọng. Trong đó, gối phải vẹo 40 độ, gối trái vẹo ngoài, khiến mỗi bước đi đều cong vẹo và mất vững.

Ngày 16/6, các bác sĩ tiến hành thay khớp gối bản lề bên phải, giúp trục chân được chỉnh thẳng, hết đau, dáng đi ổn định hơn. Đến tháng 8, bệnh nhân tiếp tục được thay khớp gối toàn phần bên trái. Sau thời gian ngắn tập phục hồi chức năng, bà X. đã có thể tự đi lại độc lập, không cần dụng cụ hỗ trợ. Sau đó, bà X. đã được xuất viện trong niềm vui của gia đình cùng đội ngũ y bác sĩ.

phuc-hoi-doi-chan-nguoi-pn-69-tuoijpg.jpg
Các y, bác sĩ Bệnh viện Trung ương Huế chúc mừng bệnh nhân X. xuất viện sau ca phẫu thuật thay khớp gối thành công.

Đại diện Bệnh viện Trung ương Huế cho biết, thay khớp gối toàn phần là kỹ thuật thường quy tại đơn vị. Tuy nhiên, với những ca biến dạng nặng, mất chức năng dây chằng hoặc thiếu hụt xương nhiều, các loại khớp nhân tạo thông thường không còn phù hợp.

Lần đầu tiên ứng dụng tại bệnh viện, khớp gối bản lề trở thành giải pháp tối ưu cho các ca bệnh khó, vừa khắc phục biến dạng, vừa phục hồi vận động, mang lại hy vọng cho nhiều bệnh nhân vốn được coi là không thể điều trị bằng phương pháp thường quy.

TS. BS Nguyễn Thái Bảo - Trưởng khoa Phẫu thuật Khớp – Y học thể thao, Phó Giám đốc Trung tâm Chấn thương Chỉnh hình – Phẫu thuật Tạo hình, người trực tiếp thực hiện ca mổ, cho biết, khớp gối bản lề là loại khớp đặc biệt, đòi hỏi chuyên môn cao trong cả khâu chỉ định lẫn phẫu thuật. Đây là lựa chọn tối ưu cho những ca bệnh phức tạp, giúp bệnh nhân lấy lại sự vững chắc và khả năng vận động.

Còn theo GS. TS Phạm Như Hiệp, Giám đốc Bệnh viện Trung ương Huế, ứng dụng khớp gối bản lề không chỉ là bước tiến trong điều trị bệnh lý khớp phức tạp mà còn khẳng định nỗ lực hội nhập quốc tế của bệnh viện. “Thời gian tới, chúng tôi sẽ triển khai thêm các kỹ thuật cao như thay khớp gối có sự hỗ trợ của trí tuệ nhân tạo (AI) và robot, nhằm nâng cao độ chính xác và tối ưu kết quả điều trị”, ông Hiệp thông tin.