Google News

Lấy thành công cành cây dài 16cm trong ổ bụng bé gái 3 tuổi

TPO - Bé gái 3 tuổi ở Đắk Lắk vừa được Bệnh viện Nhi đồng 2 (TP.HCM) phẫu thuật lấy ra dị vật là cành cây dài 16 cm, đâm xuyên từ trực tràng đến gần gan. Cành cây đã tồn tại trong ổ bụng suốt 4 tháng, không ai ngờ tới.

Ngày 30/9, thông tin từ Bệnh viện Nhi Đồng 2, TPHCM cho biết, tại đây vừa tiếp nhận một trường hợp bị dị vật "bỏ quên" trong cơ thể. Bệnh nhi là bé H.M.L (sinh năm 2022) bị té xuống ao gần nhà cách đây 4 tháng.

di-vat-3.jpg
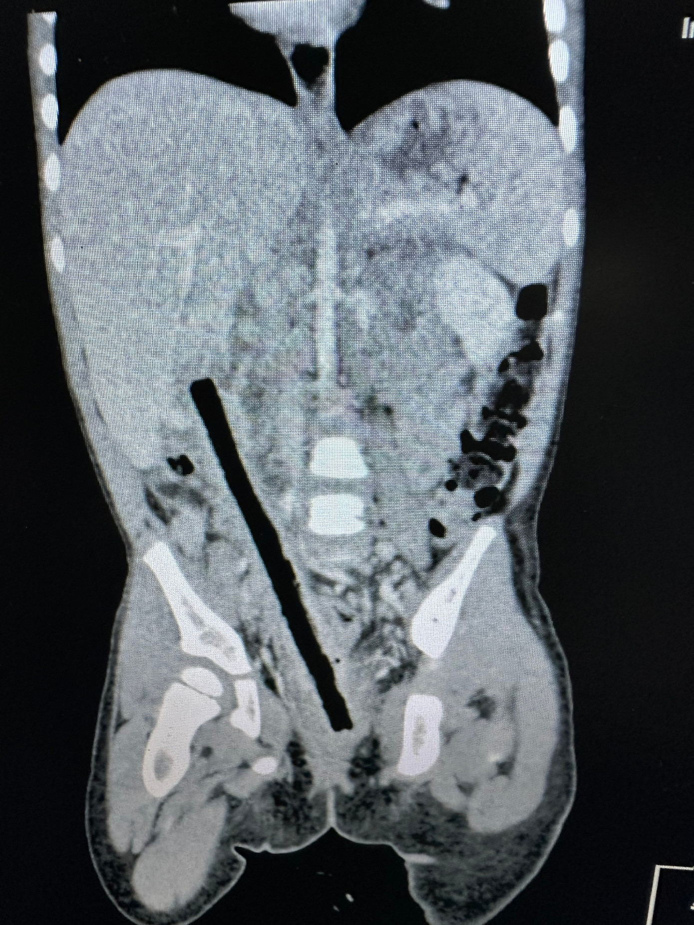
Hình ảnh dị vật là cành cây dài 16cm đâm xuyên bụng bé gái

Sau khi được điều trị tại bệnh viện địa phương 2 tháng, bé xuất viện nhưng chỉ một tháng sau lại sốt cao, ho nhiều và nhập viện trở lại vì viêm phổi.

Trong quá trình siêu âm, bác sĩ phát hiện khối lạ trong bụng nghi dị vật nên chuyển bé đến Bệnh viện Nhi Đồng 2. Kết quả CT-scan khiến các bác sĩ sửng sốt: một cành cây kích thước 1x16 cm xuyên từ trực tràng, ruột non đến gần gan bệnh nhi.

Các bác sĩ đã tiến hành mổ hở, bóc tách dọc theo dị vật, tách dính toàn bộ ruột để tránh tổn thương mạch máu, thần kinh và niệu quản. Sau 4 giờ, dị vật được lấy ra nguyên vẹn, bé được khâu vết thương, làm hậu môn tạm và tiếp tục hồi sức tích cực.

Theo BS.Nguyễn Hiền, Khoa Ngoại tổng hợp, bệnh nhi may mắn khi dị vật không đâm vào mạch máu lớn nên không nguy hiểm đến tính mạng. Một yếu tố đặc biệt khác là bé đang được điều trị kháng sinh phổ rộng vì viêm phổi, điều này vô tình ức chế viêm nhiễm từ dị vật, giúp bé tránh được nhiễm trùng ổ bụng nặng.

di-vat-2.jpg
Các bác sĩ thực hiện cuộc phẫu thuật lấy dị vật cho bệnh nhi

Các bác sĩ đánh giá đây là ca cực kỳ hiếm gặp bởi dị vật lớn nhưng tồn tại nhiều tháng mà không gây biến chứng tức thì. Dự kiến sau một tuần, bé sẽ xuất viện, một tháng sau tái khám để đóng hậu môn tạm, trở lại sinh hoạt bình thường mà không để lại di chứng.

di-vat-1.jpg
Sau 4 tháng nằm trong cơ thể bệnh nhi dị vật mới được phát hiện, lấy ra ngoài

Từ trường hợp trên, các bác sĩ khuyến cáo, phụ huynh tuyệt đối không để trẻ vui chơi gần ao hồ, sông suối hoặc khu vực ngập nước khi không có sự giám sát. Những tai nạn tưởng chừng vô hại có thể để lại hậu quả khôn lường. Khi trẻ gặp chấn thương, người nhà cần đưa đến cơ sở y tế ngay để được xử lý kịp thời, tránh biến chứng nguy hiểm.