Ngày 6/10, Bệnh viện Đa khoa TP Cần Thơ cho biết, vừa phẫu thuật nội soi cắt thành công khối u nặng gần 3kg cho cụ bà cao tuổi.
Bệnh nhân nói trên là cụ L.T.M (93 tuổi, ngụ huyện Vũng Liêm, tỉnh Vĩnh Long). Theo người nhà, bà M. mang trong người khối u đã lâu, kèm theo hở van tim và bướu giáp đa nhân 2 thùy nên tình trạng chung khá nặng, sức khỏe yếu nên không thể phẫu thuật. Bà cụ nghĩ mình sẽ “ra đi” trước khi bị khối u hành nên cứ để ngày qua ngày. Khoảng 1 tháng nay bị khối u hành, bà cụ nằm rất khó khăn. Ngoài ra, nó còn chèn ép bàng quang nên buổi tối bà cụ phải đi tiểu hàng chục lần.
Khối u "khổng lồ" trong cơ thể bà cụ. Gần đây, cơn đau ngày một tăng lên nên gia đình đã đưa bà đến bệnh viện cấp cứu. Bà M. nhập viện trong tình trạng đau bụng vùng hạ vị dữ dội, không đi tiêu được, tiểu khó kiểm soát.
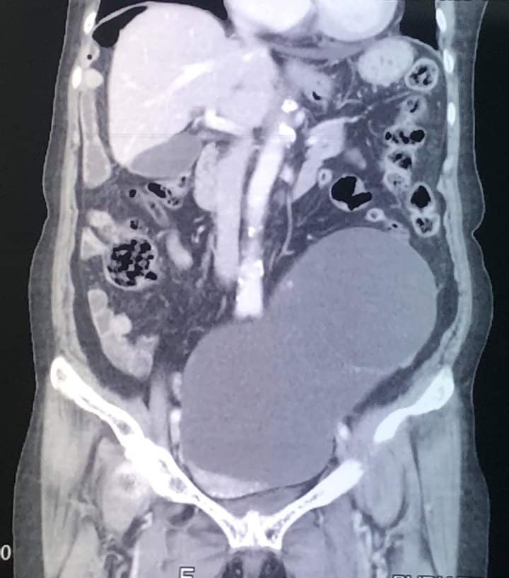
Tiếp nhận bệnh nhân, các bác sĩ tiến hành thăm khám lâm sàng phát hiện bụng bệnh nhân to, có khối u vùng bụng dưới qua khỏi rốn, ấn khá đau. Chụp cắt lớp vi tính xác định, khối u dạng dịch vùng tiểu khung lệch khá to.
Ngay sau đó, bệnh nhân được chỉ định phẫu thuật nội soi. Quá trình thực hiện, quan sát thấy khối u sau phúc mạc nằm vùng tiểu khung chiếm gần hết ổ bụng dưới rốn (ước lượng khoảng 3kg).
Các bác sĩ đã sử dụng dao cắt đốt siêu âm để xử trí khối u cho bà cụ. Trong vòng 2 giờ phẫu thuật, toàn bộ khối u đã được cắt bỏ và lấy ra khỏi cơ thể bà cụ. Hiện tại, bệnh nhân đã khỏe nhiều, ăn uống và đi lại được.
Theo Bác sĩ La Văn Phú - Trưởng khoa Ngoại tổng hợp cho biết, đây là một ca bệnh khá khó, do bệnh nhân lớn tuổi, có nhiều bệnh nội khoa kèm theo và khối u lớn. Về kĩ thuật, có thể mổ hở nhưng sau mổ rất đau, thời gian nằm viện lâu, nguy cơ viêm phổi, nhiễm trùng vết mổ rất cao, có thể nguy hiểm đến tính mạng bà cụ. Do vậy, ekip đã quyết định sử dụng dao cắt đốt siêu âm, giúp cụ bà giảm được nhiều nguy cơ biến chứng sau mổ, mau hồi phục và có thể xuất viện sau mổ 48 giờ.


