Google News

Mất nửa bàn chân do không biết bị tiểu đường

Ảnh minh họa: Internet
Ảnh minh họa: Internet

Chỉ bị vết thương xoàng ngoài da nhưng vì chủ quan, một người đàn ông phải mất chân do mắc bệnh tiểu đường mà không hay biết.

 Bệnh viện Sài Gòn ITO cho biết nơi đây vừa tiếp nhận phẫu thuật loại bỏ hoại tử lan rộng thành công cho bệnh nhân Bùi Văn T. (58 tuổi, ngụ An Giang) do bị mắc bệnh tiểu đường mà không biết.

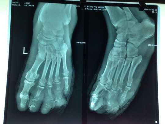
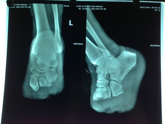
Trước đó, ngày 5-3, ông T. nhập viện với bàn chân chân trái nhiễm trùng nặng, các ngón chân số 2, 3, 4 đang bị hoại tử. Do vết nhiễm trùng quá nặng và bị hoại tử đến xương, mô dưới da, bao gân gập duỗi các ngón lan dọc đến tận giữa bàn chân nên các bác sĩ quyết định phải tháo khớp nửa bàn chân để tránh nguy cơ nhiễm trùng có thể tái phát và lan rộng cho bệnh nhân.

Ông T. đã xuất viện sau 6 ngày điều trị, vết mổ khô và đường huyết ổn định. Về lâu dài Ông cần phải uống thuốc và tiếp tục theo dõi để ổn định đường huyết do mắc bệnh tiểu đường.

Theo người nhà bệnh nhân, cách đây 1 tháng, trong lúc làm ruộng ông T. có dẫm phải vỏ ốc nên bị trầy xước ngón chân trái và chỉ bôi thuốc sát trùng vì nghĩ chỉ là vết thương “xoàng” ngoài da. Tuy nhiên, vài ngày sau vết thương sưng tấy, đau nhức, người nhà mua thuốc giảm đau về cho ông uống nhưng vết thương ngày càng nặng hơn và chảy mủ. Gia đình đưa đến làm xét nghiệm ở bệnh viện đa khoa tỉnh thì mới phát hiện ông bị bệnh tiểu đường và đây nguyên nhân khiến vết thương nhiễm trùng gây hoại tử.

BS Nguyễn Thị Nga (Khoa Nội tiết Bệnh viện Sài Gòn ITO), cho biết vết thương của ông T. hoàn toàn có thể chữa khỏi nếu được điều trị sớm. Tuy nhiên do không biết mình mắc bệnh tiểu đường nên dẫn đến hậu quả nặng nề và đáng tiếc như vậy.

Chỉ vì chủ quan, bệnh nhân phải chịu cảnh tháo khớp bàn chân.

Chỉ vì chủ quan, bệnh nhân phải chịu cảnh tháo khớp bàn chân.

Qua trường hợp này, các bác sĩ khuyến cáo đối với những người mắc bệnh tiểu đường không nên xem thường các vết thương trên da vì chỉ cần một vết cắt nhỏ cũng rất lâu lành và có thể trở thành nghiêm trọng nếu không được điều trị kịp thời và đúng phương pháp. Ngược lại, nếu người bệnh được theo dõi điều trị thường xuyên để ổn định đường huyết tốt thì những vết thương (nếu có), khả năng chữa lành cũng giống như ở người bình thường.