Google News

Neymar đại nạn không chết, có quý nhân phù trợ

Neymar đại nạn không chết, có quý nhân phù trợ
Chấn thương khủng khiếp tại World Cup 2014 không thể quật ngã Neymar, trái lại còn là cột mốc chứng kiến anh thăng tiến vượt bậc trong sự nghiệp.

Ký ức kinh hoàng về Colombia


Ngôi sao của ĐT Brazil đã sớm phải chia tay World Cup 2014 tại chính quê hương mình khi bị hậu vệ Juan Zuniga của ĐT Colombia thúc gối vào lưng trong trận tứ kết. Chính sự vắng mặt của Neymar đã khiến Selecao phải dừng bước sau vòng bán kết (thua ĐT Đức 1-7) và kết thúc giải đấu với vị trí thứ 4 (thua Hà Lan 0-3 trong trận tranh HCĐ).
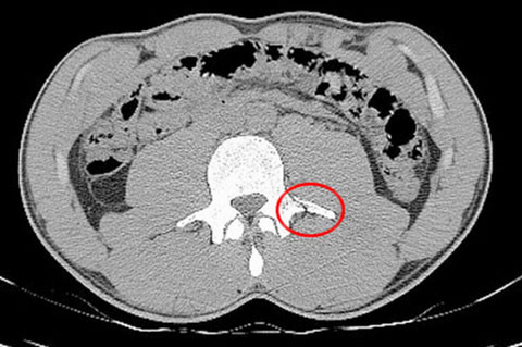
Trong bức ảnh được công bố, chúng ta có thể nhìn thấy rõ một vết rạn ở đốt sống lưng của chân sút 24 tuổi.
Neymar đại nạn không chết, có quý nhân phù trợ ảnh 1Tổn thương nghiêm trọng của Neymar.
Neymar từng lo sợ anh sẽ phải ngồi xe lăn suốt đời nếu như vụ va chạm thấp hơn 2cm. Sau 3 tuần dưỡng thương, Neymar vẫn phải uống thuốc chống viêm và sưng để giảm đau cũng như tăng cường những buổi vật lý trị liệu. 

Anh đã không thể tập luyện trở lại trong 8 tuần tiếp theo và phải bỏ dở giai đoạn đầu mùa giải 2014/15 của Barca. Chưa bao giờ tài năng số 1 của Brazil đứng trước bờ vực tuyệt vọng đến vậy.

Tăng cân, tăng cả sự nghiệp

Barca đã phải vạch ra cả một pháp đồ điều trị công phu để phục hồi cho Neymar. Trong đó khâu dinh dưỡng được tăng cường tối đa. Một mũi tên bắn trúng 2 đích, Neymar vừa có đủ chất để tham gia tập luyện, vừa tăng được 4kg đúng theo nguyện vọng của CLB chủ quản. 
Khi mới chuyển đến từ Santos vào mùa Hè 2013, ngay trong buổi kiểm tra y tế, các bác sỹ của Barca đã nhận định Neymar quá còi cọc để chơi bóng tại châu Âu. Họ đã ép anh tăng cân trong suốt của mùa 2013/14 nhưng hiệu quả thu về rất ít.

Chỉ đến khi Neymar chịu… ngồi yên một chỗ và ăn uống đầy đủ, thể trạng của anh đạt trạng thái hoàn hảo. Đạt tỷ lệ vàng về cơ thể, Neymar không chỉ hồi phục nhanh mà còn vượt trội hơn cả ngày trước. Anh tăng tốc nhanh hơn, chịu va đập tốt hơn và nhất là không còn ngại những pha tì đè thuần cơ bắp.

Neymar đã làm được điều mà nhiều thế hệ đàn anh không làm được.
Tháng 9/2014, sau thời gian dài dưỡng thương, Neymar trở lại sân cỏ từ ghế dự bị và lập tức ghi liền cú đúp giúp Barca vượt qua Athletic Bilbao 2-0. Phần còn lại thì ai cũng rõ, anh hợp với Leo Messi và Luis Suarez tạo thành bộ ba M-S-N trứ danh, giúp Barca đoạt “cú ăn 3” Champions League, La Liga, Cúp Nhà vua vào cuối mùa.
Trở lại màu áo quốc gia, Neymar giúp Brazil hoàn thành giấc mơ huy chương vàng Olympic sau 64 năm. Tại chính quê nhà Brazil, cú sút cuối cùng trong loạt luân lưu định mệnh biến Neymar thành chứng nhân quan trọng nhất cho danh hiệu tiêu tốn kiên nhẫn này.
Trong trận gặp Colombia tới đây tại vòng loại World Cup 2018, có lẽ Neymar cũng bất giác giật mình khi nhớ ra từng đấy diễn biến mới chỉ trong vòng 2 năm. Sau tất cả, Neymar hiểu rằng ranh giới giữa thất bại và thành công đúng là chỉ cách nhau 1 gang tấc.