Google News

Người đàn ông bất ngờ bị đinh văng qua miệng xuống phổi

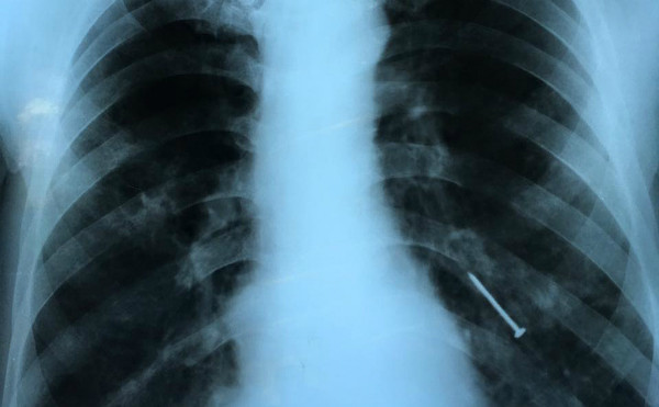
Hình ảnh X-quang cây đinh nằm ở phế quản bệnh nhân. Ảnh: V.T.
Hình ảnh X-quang cây đinh nằm ở phế quản bệnh nhân. Ảnh: V.T.
Trong lúc lao động, người đàn ông 55 tuổi vô tình há miệng đúng lúc cây đinh văng trúng, xuyên qua thực quản vào phổi.
Bác sĩ Phạm Thị Vân Thanh, Khoa Nội soi, Bệnh viện Chợ Rẫy, TP HCM, cho biết bệnh nhân vào viện trong tình trạng ho liên tục 4 tháng, có lúc ho ra máu. Kết quả chẩn đoán hình ảnh phát hiện dị vật nằm ở phế quản thùy dưới bên trái.
Bác sĩ đã nội soi bằng ống mềm gắp thành công dị vật là cây đinh đã gỉ sét khỏi phế quản bệnh nhân. Nếu để lâu, dị vật có thể gây viêm phổi, áp xe phổi, giãn phế quản, ho ra máu. Cây đinh bị gỉ sét nên có thể gây uốn ván. May mắn bệnh nhân chưa bị uốn ván, chỉ viêm phổi nhẹ và có thể tự hết sau khi lấy dị vật.
Người đàn ông bất ngờ bị đinh văng qua miệng xuống phổi ảnh 1Cây đinh đã gỉ sét được bác sĩ lấy ra khỏi phổi bệnh nhân. Ảnh: V.T.

Bệnh nhân cho biết hoàn cảnh khó khăn, đi biển sửa tàu thuê. Cách đây 4 tháng ông trong lúc đóng đinh vào thân tàu, ông há miệng và không ngờ cây đinh văng vào miệng rồi chui vào phế quản. Từ đó ông ho liên tục nhưng không có tiền đi viện. Gần đây tình trạng ho chuyển nặng, nhiều lúc ho ra máu nên ông mới vào bệnh viện thăm khám.