Google News

Người đàn ông sán mọc như chùm nho trong não vì món ăn nhiều người Việt 'nghiện'

Sán làm tổ như chùm nho trong não vì nghiện món tiết canh
Sán làm tổ như chùm nho trong não vì nghiện món tiết canh
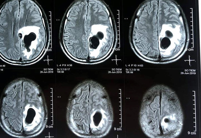
TPO - Kết quả chụp CT não của người đàn ông 38 tuổi tại Nghệ An cho thấy có 5 ổ sán nằm rải rác trong não, trong đó có một ổ sán lớn trên đỉnh của bệnh nhân gây phù não.
Các bác sĩ Bệnh viện Hữu nghị Đa khoa Nghệ An vừa tiếp nhận nam bệnh nhân phát hiện có sán trong não do thói quen ăn tiết canh.
Bệnh nhân là anh Lô Văn S. (38 tuổi, ngụ tại Qùy Hợp) bị đau đầu triền miên, liệt nửa người, khi nhập viện đã được bác sĩ Bệnh viện Hữu nghị Đa khoa Nghệ An phát hiện có sán trong não. Theo lời kể của bệnh nhân trước khi nhập viện, một tháng, bệnh nhân S. xuất hiện những cơn đau đầu từ nhẹ đến nặng rồi đau liên tục, uống thuốc giảm đau không hiệu quả. Cách đây 1 tuần, bệnh nhân đau đầu nhiều, buồn nôn, sốt, tê yếu nửa người, tri giác chậm, nên được người nhà đưa vào viện cấp cứu. Kết quả chụp CT não cho thấy có 5 ổ sán nằm rải rác trong não, trong đó có một ổ sán lớn trên đỉnh của bệnh nhân gây phù não. Bệnh nhân được chỉ định can thiệp ngoại khoa để lấy được trọn vẹn ổ nang sán khỏi não.
Người đàn ông sán mọc như chùm nho trong não vì món ăn nhiều người Việt 'nghiện' ảnh 1"Thủ phạm" khiến người đàn ông bị sán mọc như chùm nho trong não. Ảnh minh họa: Internet
Kén sán não là bệnh nhiễm trùng hệ thần kinh do ấu trùng sán sống ký sinh ở người gây ra. Bệnh thường gặp ở người dân nơi có mức sống thấp, điều kiện vệ sinh môi trường kém, vùng có tập quán nuôi lợn thả rông hoặc ăn thịt lợn chưa nấu chín.
Theo Bác sĩ Nguyễn Đức Liên, Trưởng Khoa thần kinh, Bệnh viện K Trung ương, sán dây lợn là một dạng ký sinh trùng trên cơ thể lợn. Sán xâm nhập vào cơ thể người do ăn phải thịt lợn bị nhiễm ấu trùng sán, trứng sán hoặc ăn rau sống không được rửa sạch. Trứng và ấu trùng sán dây lợn trong thịt lợn thường giống như hạt gạo. Sán khu trú ở trong các bắp thịt lợn (thịt nạc vai nhiều nhất), óc, đặc biệt phần nhiều gân và mỡ của lợn. Sán lợn sang người sẽ di chuyển khắp nơi trong cơ thể, chủ yếu ở não và vùng dưới da. Đặc điểm là bệnh nhân có dấu hiệu đau đầu, co giật do sán gây viêm màng não hoặc làm tổ nang sán chèn lên não, nên bị nhầm lẫn với viêm màng não, u não.
Người đàn ông sán mọc như chùm nho trong não vì món ăn nhiều người Việt 'nghiện' ảnh 2Theo Bác sĩ Nguyễn Đức Liên, Trưởng Khoa thần kinh, Bệnh viện K Trung ương, sán dây lợn là một dạng ký sinh trùng trên cơ thể lợn. Sán xâm nhập vào cơ thể người do ăn phải thịt lợn bị nhiễm ấu trùng sán, trứng sán hoặc ăn rau sống không được rửa sạch. Ảnh minh họa: Internet
Người bị nhiễm sán có thể có các nốt ở dưới da và cơ. Sán lợn lên não sẽ chèn ép não, gây những tổn thương vùng não gây giảm trí nhớ, mất trí nhớ. Một số bệnh nhân chỉ đến bệnh viện khi tình trạng bệnh đã nặng, dẫn đến những triệu chứng như động kinh, co giật hoặc nổi u dưới da. Triệu chứng nhiễm sán lợn gạo Bệnh sán dây trưởng thành thường không có biểu hiện triệu chứng rõ rệt, một số trường hợp có biểu hiện lâm sàng như đau bụng, rối loạn tiêu hóa hoặc có triệu chứng thần kinh (suy nhược). Những trường hợp nhiều sán, có thể nhìn thấy đốt sán ra theo phân hoặc tự bò ra ngoài hậu môn (thường nhìn thấy trong quần lót khi thay ra vào cuối ngày làm việc); xuất hiện đốt sán theo phân (những đoạn nhỏ, dẹt, trắng ngà như sơ mít, đầu sán bằng phẳng). Biến chứng của bệnh sán lợn gạo Các bệnh giun sán nói chung, khi vào cơ thể đều chiếm thức ăn, dẫn đến kém hấp thu, làm chậm phát triển thể lực, gây rối loạn tiêu hoá. Ấu trùng sán lợn gây nguy hiểm nhất là khi tấn công vào não và vào tim, gây ảnh hưởng nghiêm trọng đến sức khoẻ và có thể để lại các biến chứng. Trường hợp chui mắt có thể gây tăng nhãn áp, giảm thị lực hoặc mù.
Người đàn ông sán mọc như chùm nho trong não vì món ăn nhiều người Việt 'nghiện' ảnh 3Nem chua, tiết canh ... là những món ăn được nhiều người Việt ưa thích nhưng tiềm ẩn nhiều nguy cơ rủi ro cho sức khỏe. Ảnh minh họa: Internet
   Ăn sán lợn gạo bao lâu sẽ nhiễm bệnh? Bệnh sán lợn gạo lây nhiễm chủ yếu qua đường tiêu hóa. Ấu trùng sán dây lợn xâm nhập và phát triển ở các tổ chức cơ của lợn. Các nang sán tập trung thành từng hạt màu trắng đục, kích thước như hạt gạo, chính là hình ảnh ‘lợn gạo’ mà nhiều người biết đến. Con người ăn thịt lợn đó rồi bị nhiễm bệnh sán lợn gạo. Tuy nhiên, ấu trùng sán chết sau 1 giờ ở nhiệt độ 50-60 độ C. Vì vậy nếu không nấu chín thức ăn thì nguy cơ mắc bệnh rất cao. Ấu trùng sán dây lợn có trong phân của con người hoặc lợn mang bệnh. Khi không đảm bảo vệ sinh, ấu trùng đó sẽ lẫn vào rau, quả, nguồn nước. Con người sử dụng mà không rửa kĩ, nấu chín sẽ dễ dàng bị nhiễm bệnh sán dây lợn. Người chỉ mắc sán dây lợn nhưng không điều trị, đốt sán già trào ngược lên dạ dày, giải phóng ấu trùng sán. Như vậy, người đó từ việc nhiễm sán dây lại chuyển thành nhiễm kết hợp cả sán dây lợn và ấu trùng, làm bệnh nặng hơn rất nhiều. Thời gian sống của sán dây lợn cũng như trứng sán trong cơ thể người có thể lên tới 10 - 20 năm. Sau khi ăn phải sán lợn gạo, khoảng 10 - 15 ngày sau, xét nghiệm máu bằng phương pháp ELISA sẽ cho kết quả bệnh nhân có nhiễm sán hay không.