Ngày 29/11, ThS.BS Trần Tấn Việt, Trưởng khoa Can thiệp Tim mạch Bệnh viện Đa khoa Xuyên Á cho biết, trường hợp trên là bệnh nhân N.V.T. (45 tuổi, ngụ tại Bình Thuận). Gần 20 ngày trước khi nhập viện, bệnh nhân bị đau và lạnh ở vùng lưng, vùng bụng, tình trạng ngày càng nặng. Ông T. đã được người nhà đưa đến bệnh viện thăm khám.
![]() |
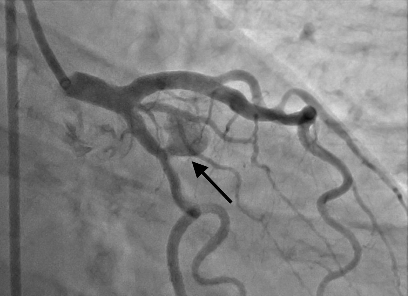
| Túi giả phình (vị trí đầu mũi tên) trên hình ảnh kiểm tra cho người bệnh trước khi can thiệp |
Khai thác bệnh sử từ bác sĩ ghi nhận, trước đó trong gia đình bệnh nhân đã có 3 người tử vong ở tuổi đời còn trẻ vì bệnh lý tim mạch gồm cha, anh và chị. Bệnh nhân hút thuốc lá đã nhiều năm. Các bác sĩ đã chỉ định cho người bệnh kiểm tra cận lâm sàng để đánh giá chức năng tim mạch. Kết quả thăm khám, bác sĩ nghi ngờ ông T. bị bệnh lý động mạch vành, tuy nhiên việc điều trị nội khoa sau đó không mang lại kết quả.
Người bệnh được chỉ định thực hiện các kiểm tra chuyên sâu truy tìm bệnh lý bằng phương pháp chụp, can thiệp động mạch vành dưới sự hỗ trợ của hệ thống chụp mạch số hoá (DSA). BS Tấn Việt cho biết, kết quả kiểm tra ghi nhận, bệnh nhân bị hẹp 30% nhánh chéo D1 và có túi giả phình động mạch vành (kích thước 7.6 x 11.6mm). Đây là bệnh lý hiếm gặp, có nguy cơ vỡ túi giả phình, gây tràn máu màng ngoài tim khiến người bệnh nhanh chóng tử vong.
![]() |
| Các bác sĩ đã đặt stent chặn máu vào vị trí túi giả phình để tránh nguy cơ vỡ gây nguy hiểm cho người bệnh |
Bệnh nhân đã được bác sĩ đặt stent chặn lỗ vào khối giả phình, giúp giảm nguy cơ vỡ giả phình trong tương lai. Ngay sau ca can thiệp, bệnh nhân đỡ đau ngực, không còn khó thở và trở lại sinh hoạt bình thường. Tuy nhiên, người bệnh sẽ phải sử dụng thuốc kháng kết tập tiểu cầu, kiểm soát huyết áp, kiểm soát mỡ máu kết hợp với chế độ dinh dưỡng hợp lý, bỏ thuốc lá và tái khám định kỳ.
Từ trường hợp trên, BS Việt khuyến cáo, giả phình động mạch vành có thể phát hiện bằng các phương pháp như MSCT động mạch vành, chụp động mạch vành qua da dưới DSA. Những bệnh nhân có nguy cơ tim mạch cao như đái tháo đường, tăng huyết áp, mỡ máu, hút thuốc lá thì nên tầm soát bệnh lý động mạch vành định kỳ, để sớm phát hiện cũng như can thiệp kịp thời hiệu quả.

