Đó là trường hợp của ông K.V.B (69 tuổi, ngụ quận 1, TPHCM) vừa được tiếp nhận, điều trị tại Bệnh viện Hoàn Mỹ Sài Gòn. Ngày 8/3, thông tin từ bệnh viện cho biết, thời điểm đến bệnh viện ông B. không kiểm tra chức năng gan mà đi khám bệnh lý tim mạch.
Tuy nhiên, trên các xét nghiệm tầm soát sức khỏe toàn diện kết hợp kiểm tra hình ảnh, bác sĩ phát hiện ông có khối u ở gan. Qua khai thác bệnh sử ghi nhận, người bệnh bị tăng huyết áp, bệnh tim thiếu máu cục bộ do xơ vữa và đái tháo đường tuýp II. Bệnh nhân không có các yếu tố nguy cơ của ung thư gan như viêm gan siêu vi B, C hoặc xơ gan.
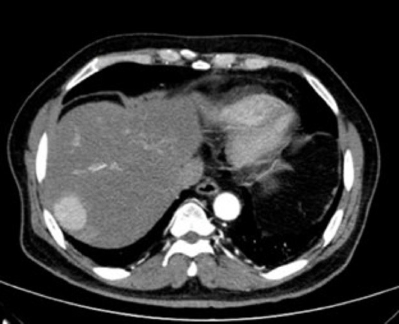
![]() |
| Hình ảnh kiểm tra phát hiện khối ung thư nằm vị trí sát rìa gan của người bệnh |
Bác sĩ Hàng Thế Cơ, Khoa Ngoại Tổng Quát bệnh viện này cho biết, khối u gan nằm ở vị trí hạ phân thùy VII của bệnh nhân có kích thước 33x35 mm. Bệnh nhân được sinh thiết khối u dưới hướng dẫn siêu âm và chẩn đoán xác định là ung thư gan nguyên phát. Sau chẩn đoán, bệnh nhân đã được chỉ định cắt phần gan có khối ung thư. Cuộc mổ diễn ra thuận lợi, sau phẫu thuật sức khỏe người bệnh đã bình phục tốt. Nhờ phát hiện sớm nên khối chưa gây ảnh hưởng đến sức khỏe của người bệnh.
Theo phân tích chuyên môn của BS Nguyễn Ngọc Thao, Trưởng khoa Ngoại Tổng quát BV Hoàn Mỹ cho thấy, ung thư gan là căn bệnh phổ biến ở cả hai giới, bệnh thường diễn tiến âm thầm trong giai đoạn sớm và tiến triển nhanh hơn các bệnh ung thư khác nên người bệnh thường bỏ lỡ cơ hội điều trị triệt để. Sự nguy hiểm của Ung thư gan tùy thuộc vào nhiều yếu tố như giai đoạn bệnh, mức độ tiến triển, tình trạng sức khỏe và khả năng đáp ứng các liệu pháp điều trị... Do đó, theo bác sĩ Thao việc tầm soát và chẩn đoán sớm mang tính quyết định đối với sức khỏe và tiên lượng của người bệnh.
Ung thư gan nguyên phát có mối liên hệ chặt chẽ với tình trạng nhiễm virus viêm gan B, virus viêm gan C, cũng như với bệnh lý xơ gan. Ngoài ra, còn có một số yếu tố nguy cơ khác như nhiễm độc tố Alfatoxin, Dioxin, bệnh gan di truyền như là gan ứ sắt; bệnh gan nhiễm mỡ, béo phì, đái tháo đường, uống nhiều rượu…
Các bác sĩ khuyến cáo những người có nguy cơ cao như: viêm gan siêu vi B, C; xơ gan do rượu; đái tháo đường; gan nhiễm mỡ, thường xuyên uống rượu bia hoặc các bệnh gan di truyền cần thực hiện tầm soát định kỳ bằng cách siêu âm bụng tổng quát mỗi 6 – 12 tháng để phát hiện u gan.
