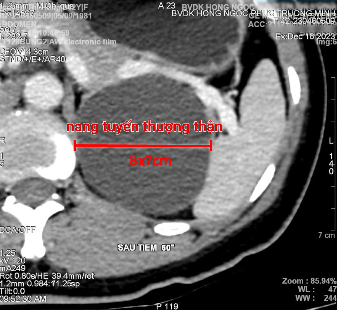
Bệnh nhân P.T.H đến bệnh viện Đa khoa Hồng Ngọc trong tình trạng đau bụng. Kết quả CT và chụp siêu âm ổ bụng phát hiện một cấu trúc dạng nang kích thước lớn 8x7cm, nằm ở vị trí cực trên thận trái, bắt đầu có các nốt vôi hóa ở thành nang. Sau hội chẩn, các bác sĩ xác định đây là nang tuyến thượng thận và có chỉ định mổ bóc nang.
Các bác sĩ Ngoại khoa Tiết niệu bệnh viện Hồng Ngọc nhận định đây là ca bệnh phức tạp, có nhiều nguy cơ trong quá trình phẫu thuật vì nang nằm sau ổ bụng, sát bên cạnh có nhiều tạng như thận, lách, đuôi tụy, cơ hoành, mạch chủ bụng.
ThS.BS CKII Trịnh Minh Thanh - Chuyên gia đầu ngành Ngoại khoa Tiết niệu bệnh viện Đa khoa Hồng Ngọc chia sẻ, tuyến thượng thận là cơ quan sản xuất ra các hormone góp phần điều hòa trong cơ thể, tham gia vào quá trình chuyển hóa phức tạp, điều hòa huyết áp động mạch, cân bằng nước - điện giải, chống stress. Nên, cần thiết phải phẫu thuật u nang để bảo toàn được chức năng của tuyến thượng thận và giảm thiểu nguy cơ nang chuyển hóa thành tế bào ác tính.
![]() |
| Kết quả chụp CT cho thấy chị H. có một cấu trúc nang có kích thước lớn 8x7 cm |
2 tiếng bóc tách trọn vẹn khối u, bảo toàn tuyến thượng thận
Với hơn 30 năm kinh nghiệm, ThS.BS CKII Trịnh Minh Thanh đứng đầu ekip phẫu thuật cho biết: “Trường hợp u nang tuyến thượng thận nằm phía sau ổ bụng, có kích thước lớn như vậy, liên kết với các tạng xung quanh như này rất khó khăn cho việc bóc tách toàn bộ nang, đòi hỏi sự tỉ mỉ trong từng thao tác để tránh nguy cơ chảy máu và gây tổn thương các tạng và mạch máu lân cận ”.
Bệnh nhân được chỉ định phẫu thuật, cắt nang bằng phương pháp nội soi qua đường phúc mạc - được cho là đường tiếp cận ngắn nhất, hạn chế tổn thương nhiều nhất đối với trường hợp nang lớn, nằm sâu, sát với cột sống và các tạng trong ổ bụng như bệnh nhân H.
| Sau 2 giờ phẫu thuật căng thẳng, các bác sĩ đã thành công bóc tách triệt để nang tuyến thượng thận kích thước lớn cho bệnh nhân qua đường nội soi |
Sau 2 giờ phẫu thuật, với sự tập trung cao độ kíp mổ, toàn bộ nang lớn với kích thước 8x7cm, nằm sâu trong phúc mạc đã được bóc tách triệt để. Thay vì mổ mở khó khăn trong việc tiếp cận khối nang và gây chảy máu nhiều, thì chỉ với 3 lỗ trên thành bụng dài 1 cm, được các bác sĩ khéo léo đặt theo đường tiếp cận ngắn nhất qua phúc mạc, hạn chế tối đa xâm lấn, không làm tổn thương các cơ quan lân cận và hệ thống mạch máu xung quanh.
Sau phẫu thuật, nồng độ hormon tuyến thượng thận không bị tụt giảm, như mong muốn ban đầu của ekip mổ.
Sau mổ 2 ngày, diễn tiến sức khỏe của người bệnh tốt, các chỉ số sinh tồn ổn, các xét nghiệm hormon tuyến thượng thận cho kết quả hoàn toàn bình thường.
Chị H tâm sự: “Khi nghe bác sĩ nói là ca mổ phức tạp, tôi đã rất lo lắng. Nhưng tôi tin tưởng hoàn toàn vào tay nghề của bác sĩ Thanh - là một chuyên gia đầu ngành về tiết niệu - cùng ekip mổ thành thục, trang thiết bị hiện đại của bệnh viện Hồng Ngọc. Giờ mổ xong, mọi chỉ số ổn định, ăn uống và đi lại bình thường được rồi, niềm tin của tôi đã không đặt nhầm chỗ. Tôi cũng cảm thấy mình may mắn mổ kịp thời, khi khối u nang chưa tác động xấu đến sức khỏe.”
![]() |
| Chỉ sau 2 ngày phẫu thuật, diễn tiến sức khỏe của người bệnh tốt, các chỉ số sinh hiệu ổn, các xét nghiệm hormon tuyến thượng thận không bị suy giảm. |
Theo bác sĩ Thanh, các khối u nang ở tuyến thượng thận mặc dù không ảnh hưởng nghiêm trọng đến sinh hoạt của người bệnh, tuy nhiên cần được phát hiện và xử lý kịp thời trước khi có nguy cơ chuyển hóa thành tế bào ác tính.
Bác sĩ Trịnh Minh Thanh khuyến cáo, khi có những triệu chứng bất thường (như đau hông lưng, đau vùng thượng vị, các rối loạn nội tiết, tăng huyết áp không rõ nguyên nhân…), người bệnh nên đến các cơ sở y tế để được chẩn đoán và điều trị sớm.
Đối với các trường hợp u nang tuyến thượng thận phức tạp, người bệnh cần đến các bệnh viện có trang thiết bị hiện đại, có đội ngũ chuyên gia hàng đầu như bệnh viện Hồng Ngọc để có được kết quả điều trị tốt nhất.

