Ngày 5/8, Bác sĩ CK2 Phạm Thanh Phong – Phó Giám đốc phụ trách chuyên môn Bệnh viện Đa khoa Trung ương Cần Thơ cho biết, bệnh viện vừa cứu sống trường hợp của chị N.T.D.T (33 tuổi, ngụ huyện Châu Thành A, tỉnh Hậu Giang) bị động kinh ngạt nước, suy hô hấp nguy kịch.
Sau khi ngã xuống nước hôn mê, người nhà chị T. đã nhanh chóng sơ cứu và đưa chị này đến bệnh viện địa phương cấp cứu, với biểu hiện suy hô hấp nặng, huyết áp thấp. Nhận thấy tình trạng nguy kịch vượt quá khả năng chuyên môn nên sau khi xử trí đặt ống thở và sử dụng vận mạch, bệnh viện tuyến dưới đã chuyển chị T. đến bệnh viện Đa khoa Trung ương Cần Thơ để tiếp tục điều trị.
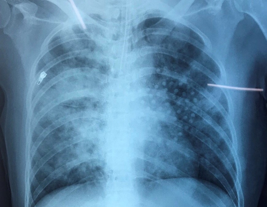
Tổn thương 2 bên phổi lan tỏa sau khi chị T. bị đuối nước. Thời điểm nhập viện, chị T. bị hôn mê, suy hô hấp nặng, huyết áp thấp. Tiếp nhận bệnh nhân, các bác sĩ đã tiến hành X-quang tim phổi thẳng. Kết quả cho thấy, chị T. bị mờ lan tỏa 2 phổi, gãy xương sườn.
Chẩn đoán, bệnh nhân bị viêm phổi hít, suy hô hấp cấp nguy kịch, hôn mê sau ngưng tim do ngạt nước. Trước tình trạng nguy kịch, chị T. được chuyển vào Khoa Hồi Sức Tích Cực – Chống Độc để điều trị.
Sau đó, bệnh nhân được chỉ định nội soi khí phế quản 3 lần phát hiện, viêm cấp nặng phế quản 2 bên, phổi ứ đọng nhiều đàm có lẫn bùn đen, đất sình. Các bác sĩ đã tiến hành rửa sạch lấy dịch cấy – kháng sinh đồ, điều trị tình trạng viêm phổi bằng kháng sinh phổ rộng.
Hiện tại, bệnh nhân tỉnh, tiếp xúc tốt, không sốt, đã ngưng thở oxy, tiếp tục điều trị và theo dõi tại Khoa Nội hô hấp.
Theo Tiến sĩ BS Cao Thị Mỹ Thúy - Trưởng Khoa Nội hô hấp: Viêm phổi hít là tình trạng nhiễm trùng phổi khi một lượng dị vật từ miệng hoặc dạ dày đi vào phổi.
Mức độ nặng của của bệnh này rất khác nhau. Các triệu chứng có thể rất mờ nhạt do đáp ứng miễn dịch ở mỗi người. Trong trường hợp nặng, bệnh nhân nhanh chóng có các triệu chứng tím tái, thở rít, co thắt thanh môn. Nếu không được cấp cứu kịp thời có thể dẫn đến tử vong.
Còn theo Bác sĩ CK2 Dương Thiện Phước - Trưởng Khoa Hồi sức tích cực chống độc, tỷ lệ tử vong do hậu quả của ngạt nước thường cao do không được cấp cứu kịp thời hoặc cấp cứu chưa đúng quy cách. Mục đích cấp cứu cho người đuối nước là giải phóng đường thở và cung cấp ôxy cho nạn nhân. Do vậy, việc làm đầu tiên cần đưa nạn nhân ra khỏi nước.
Nếu trường hợp ngưng thở thì người sơ cứu cần nhanh chóng thổi ngạt ngay khi vớt lên khỏi mặt nước. Thổi ngạt, ấn tim ngay tại hiện trường đối với nạn nhân ngưng thở, ngưng tim. Hồi sức cấp cứu liên tục cho đến khi thở lại.
Bên cạnh đó, bác sĩ còn khuyến cáo, không nên dốc ngược nạn nhân hoặc vác lên vai rồi chạy. Vì hành động này sẽ làm mất thời gian quý giá để hô hấp nhân tạo cứu sống bệnh nhân.
Đối với trẻ em khi đuối nước thì không nên hơ lửa vì có thể sẽ gây phỏng, dãn mạch, hạ huyết áp, tim nhanh và ngưng tim.


