Google News

Suýt chết vì vỡ lách sau tai nạn giao thông dù không chảy máu

Suýt chết vì vỡ lách sau tai nạn giao thông dù không chảy máu

TPO - Vì thấy vùng bụng không bị chảy máu sau cú va đập mạnh do tai nạn giao thông, nam thanh niên chủ quan nên không đi khám. Sau khi về nhà được 2 giờ, bệnh nhân phải nhập viện cấp cứu vì những cơn đau dữ dội.

Ngày 21/8, thông tin từ BV Hoàn Mỹ Sài Gòn cho biết BV này vừa tiếp nhận cấp cứu và điều trị thành công cho bệnh nhân N.N.V (sinh năm 1985), bị vỡ lách do tai nạn giao thông bằng phương pháp điều trị ít xâm lấn.

Bệnh nhân  vào viện cấp cứu trong tình trạng đau bụng dữ dội. Được biết trong đêm trước khi nhập viện, bệnh nhân bị té xe do trời mưa cộng với đường trơn trợt và đã bị va đập hông trái vào tay lái. Tuy nhiên, anh đã có phần chủ quan khi quan sát thấy vùng bụng không bị trầy xướt nên không đi khám. Về nhà được 2 giờ, anh V bắt đầu đau bụng, đau tăng dần và nhanh chóng lan ra khắp ổ bụng, khiến anh không chịu nổi, phải nhập viện cấp cứu.

Ngay khi tiếp nhận bệnh nhân, các bác sĩ đã nhanh chóng đánh giá lâm sàng cũng như xét nghiệm máu, siêu âm bụng và chụp CT bụng, xác định người bệnh bị chấn thương vỡ lá lách mức độ 3, chảy máu nhiều trong ổ bụng. Với tình trạng này, nguy cơ cần phẫu thuật cắt bỏ lá lách để cầm máu cho bệnh nhân là rất cao.

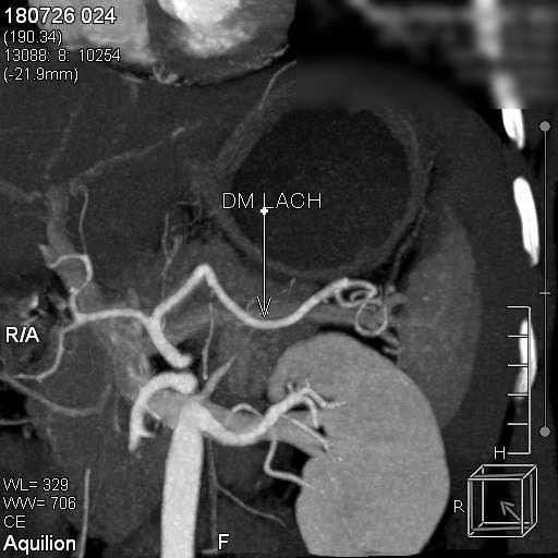
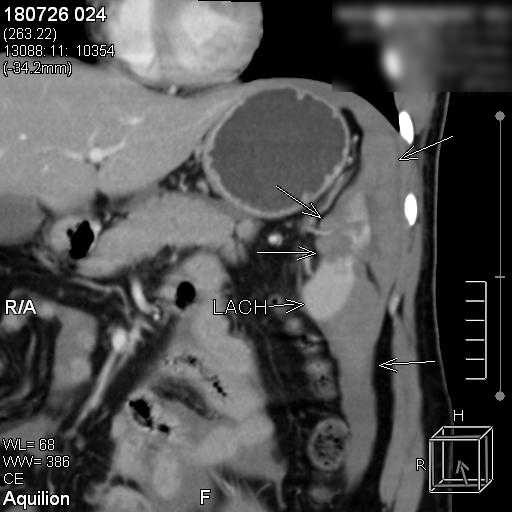
Suýt chết vì vỡ lách sau tai nạn giao thông dù không chảy máu ảnh 1hình ảnh động mạch lách của bệnh nhân

 Tuy nhiên, nhận thấy sinh hiệu của bệnh nhân hiện vẫn đang ổn định và bệnh nhân còn khá tỉnh táo. Các bác sĩ đã hội chẩn, quyết định áp dụng phương pháp nút động mạch lách để cầm máu và bảo tồn lách, giúp bệnh nhân giữ lại được lá lách của mình.

Bác sĩ CKII Nguyễn Phước Thuyết – Trưởng khoa Chẩn đoán hình ảnh, Bệnh viện Hoàn Mỹ Sài Gòn trực tiếp thực hiện, bằng cách luồn ống thông nhỏ từ động mạch đùi thông qua động mạch chậu vào động mạch chủ và đến động mạch lách.  Tại đây, Bác sĩ sẽ bơm thuốc cản quang nhằm xác định vị trí động mạch lách bị vỡ. Bác sĩ sẽ tiếp tục luồng một ống siêu nhỏ vào động mạch đang chảy máu và bơm keo vá chỗ thủng, giúp cầm máu và gắn liền nhu mô lách. Từ đó, truyền thuốc tắc mạch vào vị trí bị vỡ giúp tìnhtrạng chảy máu tại lá lách được kiểm soát.

Theo chia sẻ của ThS. BS Nguyễn Ngọc Thao, Trưởng khoa Ngoại Tiêu hóa, Bệnh viện Hoàn Mỹ Sài Gòn, phương pháp nút động mạch lách được đánh giá là có rất nhiều ưu điểm, điển hình như không phải mổ giúp bệnh nhân nhanh chóng phục hồi và điều quan trọng là phương pháp trên giúp giữ lá lách lại cho bệnh nhân

Hiện bệnh nhân đã hồi phục và xuất viện trong tình trạng sức khỏe ổn định.

Theo các BS, nếu không may bị tai nạn giao thông, bệnh nhân bị ngã và bị va đập vào phần bụng thì lưu ý nên đi khám ngay, tránh bỏ sót những trường hợp vỡ gan, lách gây chảy máu nhiều trong ổ bụng hoặc vỡ ruột gây ra nhiễm trùng ổbụng. “Do đó, khi nghi có dấu hiệu thương tổn sau tại nạn giao thông mọi người cần đến ngay các cơ sở y tế để được chẩn đoán và điều trị kịp thời, đừng chủ quan trước những dấu hiệu nhỏ vì đôi lúc những dấu hiệu đó lại mang đến những nguy hiểm tiềm tàng, gây ảnh hưởng đến sức khoẻ. “, các BS khuyến cáo.