Ngày 20/2, thông tin từ Bệnh viện Nhi Thanh Hoá cho biết, các bác sĩ đã phẫu thuật thành công cho một cháu nhỏ bị viên đạn bi găm trong ngực trái do bị súng tự chế bắn. Bệnh nhân tên L.V.V (4 tuổi), ở xã Xuân Chinh, huyện Thường Xuân.
Theo thông tin từ gia đình bệnh nhân cho biết, ngày 18/2, trong quá trình chơi đùa, không may V. bị anh trai (5 tuổi) dùng súng cồn bắn vào ngực trái cạnh tim. Sau khi trúng đạn, cháu V. bị chảy máu nhiều, được đưa tới sơ cứu tại bệnh viện Đa khoa huyện Thường Xuân, rồi chuyển xuống bệnh viện Nhi Thanh Hóa cấp cứu. Các bác sĩ đã phẫu thuật lồng ngực trái gắp đạn ra. Tình trạng hiện tại bệnh nhân tỉnh táo, không còn nguy hiểm đến tính mạng.
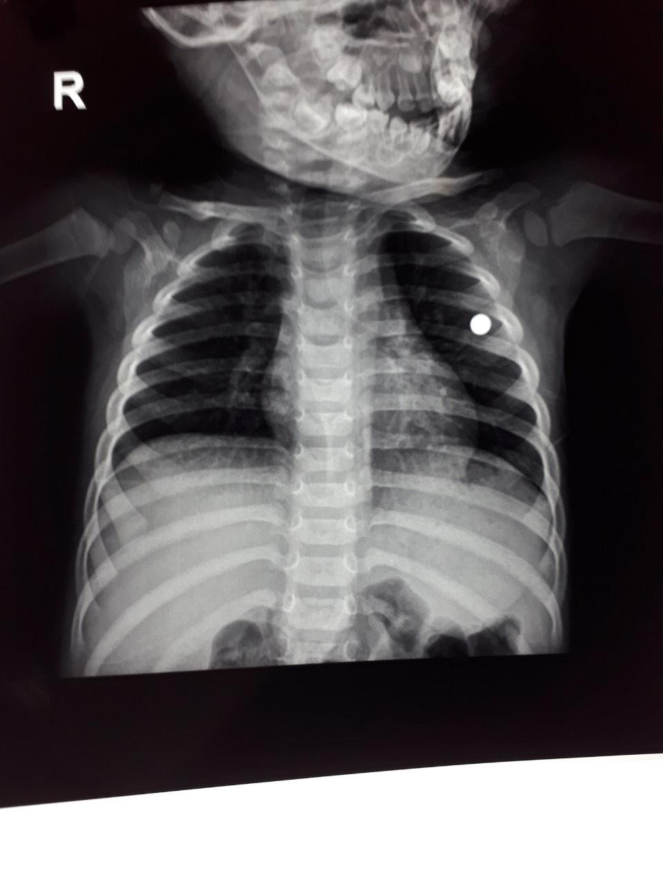
![]() |
| Viên đạn trong ngực trái của cháu bé. Ảnh do Bệnh viện Nhi Thanh Hoá cung cấp |
Ông Lương Văn Long - Chủ tịch UBND xã Xuân Chinh xác nhận sự việc xảy ra trên địa bàn. Bước đầu xác định bố cháu V. sử dụng súng cồn tự chế đi săn về quên tháo đạn. Khi để súng ở nhà, người anh nghịch súng không may bắn phải em. Hiện vụ việc đang được cơ quan chức năng xử lý.
