Google News

Trí tuệ nhân tạo của Google phát hiện ung thư vú 'siêu' hơn... bác sỹ

Trí tuệ nhân tạo có thể chẩn đoán ung thư vú chính xác tới 99%.
Trí tuệ nhân tạo có thể chẩn đoán ung thư vú chính xác tới 99%.
TPO - Giờ đây, Trí tuệ nhân tạo (AI) đang đưa tới cho các nhà khoa học một công cụ khác trong cuộc chiến chống lại căn bệnh ung thư vú, và một trong những tên tuổi lớn nhất trong cuộc chơi Trí tuệ nhân tạo là Google.

Các nhà nghiên cứu về ung thư liên tục phát triển công nghệ mới giúp các bác sĩ sử dụng trong việc sàng lọc, phát hiện và điều trị tất cả các loại ung thư, và triển vọng về việc người bệnh được cứu sống đã được cải thiện rất nhiều trong vài thập kỷ qua. 

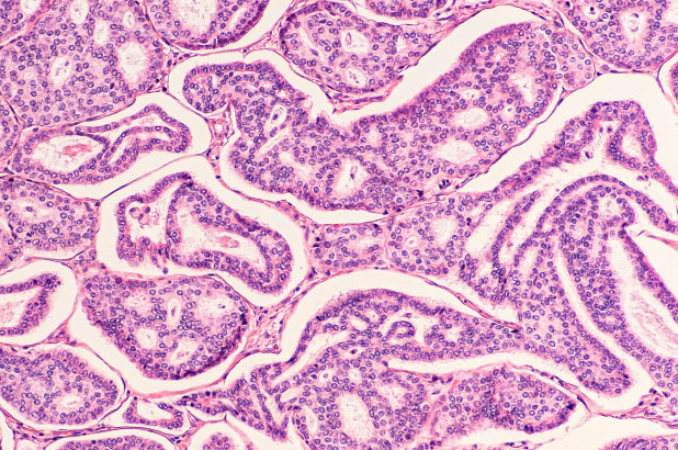
Trong một bài viết được đăng trên blog mới, các nhà nghiên cứu của Google cho biết, Trí tuệ nhân tạo (AI) của họ có tên là LYNA (viết tắt của Lymph Node Assistant) đã đạt đến độ chính xác tới 99% khi nhận biết sự khác biệt giữa ung thư và không ung thư qua những lớp cắt. 

Google giải thích rằng, trong hai tài liệu nghiên cứu mới được công bố gần đây, công cụ LYNA đã chứng minh độ chính xác đáng kinh ngạc trong việc xác định liệu ung thư vú có thể lan đến các hạch bạch huyết của bệnh nhân hay không. Xác định đây là yếu tố chính để quyết định cách tiến hành điều trị ung thư cho bệnh nhân, hoặc có thể thay đổi sự lựa chọn của các bác sỹ trong cách tiếp cận và điều trị trong mỗi trường hợp cụ thể. 

Google lưu ý rằng, việc chẩn đoán di căn hạch bạch huyết (xác định xem ung thư đã lan rộng) có thể không mấy chính xác, thường là do sức ép của thời gian và quyết định hành động nhanh trong giai đoạn đầu điều trị. Độ chính xác của một lát cắt trình bày riêng lẻ có thể chỉ đạt 38%, Google đã quan tâm tới điều này khi tham khảo một nghiên cứu trước đây.

Trái lại, LYNA cực kỳ chính xác ngay trong lần chẩn đoán đầu tiên với độ chính xác lên đến 99% trên cơ sở mỗi lát cắt.

Google cho biết: "LYNA có thể xác định chính xác vị trí của cả hai loại ung thư và các vùng đáng ngờ khác trong mỗi lát cắt, một trong số đó quá nhỏ để các nhà bệnh học có thể phát hiện. Như vậy, chúng tôi cho rằng, lợi ích tiềm năng của LYNA có thể là để làm nổi bật các khu vực cần quan tâm cho các nhà bệnh lý xem xét và đưa ra những chẩn đoán cuối cùng".

 

Trong tương lai, AI cuối cùng có thể là công cụ quan trọng nhất để phát hiện ung thư, giúp các bác sĩ chẩn đoán và cho phép chuyên môn của họ được mài giũa để tìm ra các lựa chọn điều trị phù hợp nhằm cứu sống bệnh nhân.