Từ khóa: "hắt xì hơi"

2 kết quả

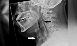
Người đàn ông bị rách khí quản vì nhịn hắt hơi
Sức khỏe

Người đàn ông bị rách khí quản vì nhịn hắt hơi

TPO - Thế giới vừa ghi nhận trường hợp đầu tiên được biết khi một người đàn ông đã rách một lỗ nhỏ trên khí quản sau khi cố gắng nhịn hắt hơi. Nếu bạn đã từng cố nhịn hắt hơi, báo cáo trường hợp y tế mới này có thể khiến bạn phải suy nghĩ kỹ.