![]() |
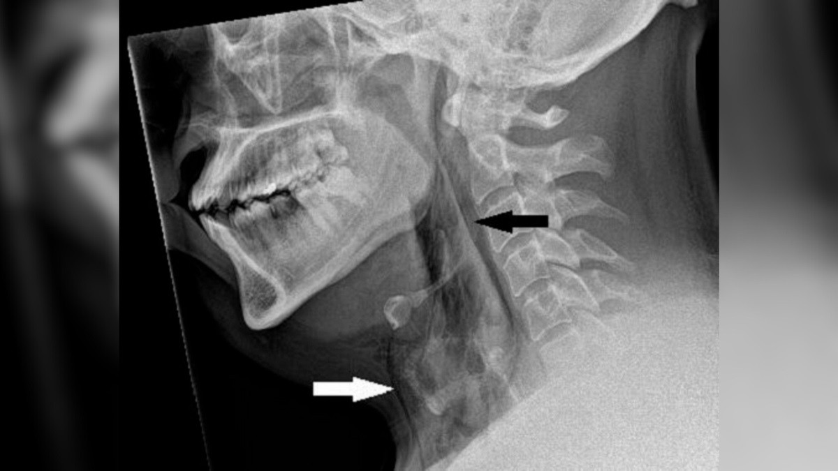
| Phim chụp X-quang cổ của người đàn ông cho thấy anh ta có các túi khí mắc kẹt bên dưới da cổ, như được thể hiện qua các mũi tên ở trên. (Ảnh: Báo cáo trường hợp BMJ 2023) |
Sự việc kỳ lạ xảy ra khi người đàn ông đang lái xe và bị khó chịu ở cổ. Anh đột nhiên cảm thấy cực kỳ muốn hắt hơi, nhưng thay vì để cơn hắt hơi thoát ra, anh lại bóp nghẹt nó bằng cách bịt mũi và ngậm miệng lại.
Nếu trong khi hắt hơi, cả miệng và mũi đều đóng lại, áp lực tạo ra ở đường hô hấp trên có thể vượt quá 20 lần so với mức bình thường tích tụ khi hắt hơi. Trong trường hợp của người đàn ông, áp lực lớn đến mức anh ta rách một lỗ có kích thước 2 x 2 mm trong khí quản của mình.
Khi đến khoa cấp cứu, người đàn ông trong tình trạng đau đớn dữ dội, cổ sưng tấy hai bên và khó cử động. Khi các bác sĩ kiểm tra, họ cũng có thể nghe thấy một âm thanh tanh tách yếu ớt. Tuy nhiên, người đàn ông không gặp vấn đề gì về thở, nuốt hay nói chuyện.
Kết quả chụp X-quang cổ cho thấy người đàn ông này bị khí thũng do phẫu thuật , tình trạng không khí bị mắc kẹt dưới các lớp mô sâu nhất bên dưới da. Kết quả chụp cắt lớp vi tính (CT) sau đó cho thấy vết rách nằm giữa xương thứ ba và thứ tư, hay còn gọi là đốt sống, trên cổ của anh ấy. Không khí cũng đã tích tụ trong khoảng trống giữa phổi của anh ấy .
Các bác sĩ kết luận rằng vết rách là do "áp lực tích tụ nhanh chóng trong khí quản khi hắt hơi với mũi bị véo và ngậm miệng".
Các bác sĩ kết luận rằng, người đàn ông này không cần phẫu thuật. Tuy nhiên, anh ấy đã được theo dõi tại bệnh viện trong hai ngày để đảm bảo lượng oxy và các dấu hiệu quan trọng khác luôn ổn định. Sau đó anh ta được xuất viện, được trang bị thuốc giảm đau và hạ sốt. Các bác sĩ cũng yêu cầu anh không được thực hiện bất kỳ hoạt động thể chất vất vả nào trong hai tuần. Năm tuần sau, kết quả chụp CT cho thấy vết rách đã lành hoàn toàn.
Trường hợp này đã được mô tả trong một báo cáo công bố ngày 1/12 trên tạp chí BMJ Case Reports, cho biết đây là một lời cảnh báo cho những người khác.
Các tác giả báo cáo viết: “Mọi người không nên kiềm chế cơn hắt hơi bằng cách véo mũi trong khi vẫn ngậm miệng vì nó có thể dẫn đến thủng khí quản”.
Rách khí quản tự phát rất hiếm nhưng có khả năng gây tử vong. Chỉ có một số trường hợp đã được báo cáo và chúng thường do chấn thương thực thể hoặc thương tích sau thủ thuật y tế, chẳng hạn như phẫu thuật cắt bỏ tuyến giáp hoặc đặt ống vào khí quản.
Các tác giả báo cáo trường hợp viết, tùy thuộc vào vị trí của vết rách và liệu các dấu hiệu sinh tồn của bệnh nhân có ổn định hay không, phẫu thuật thường là cần thiết để sửa chữa những tổn thương.
