Tiến sĩ Hasan Zaki, người đứng đầu cuộc nghiên cứu đăng trên Science Translational Medicine cho biết: “Viêm đại tràng là một vấn đề sức khỏe cộng đồng lớn ở Mỹ và ở các nước phương Tây. Đây là điều rất quan trọng”.
Viêm đại tràng có thể gây tiêu chảy dai dẳng, đau bụng và chảy máu trực tràng. Theo Trung tâm Kiểm soát và Phòng ngừa Dịch bệnh, số người Mỹ trưởng thành mắc bệnh IBD đã tăng từ 2 triệu người năm 1999 lên 3 triệu người vào năm 2015.
Ngoài ra, viêm đại tràng đang bắt đầu xuất hiện ở trẻ em, điều chưa từng xảy ra trước đây, Zaki, giáo sư bệnh lý của UT Southwestern cho biết.
Zaki cho biết, do tỷ lệ phổ biến của căn bệnh này cao hơn nhiều ở các nước phương Tây, các nhà nghiên cứu đã xem xét chế độ ăn kiểu phương Tây: nhiều chất béo, đường và đạm động vật như một yếu tố nguy cơ có thể xảy ra. Trong khi chế độ ăn giàu chất béo được phát hiện là nguyên nhân kích hoạt IBD, còn vai trò của đường vẫn gây tranh cãi.
Nghiên cứu mới này chỉ ra đường, đặc biệt là đường có trong xi-rô ngô có đường fructose cao do ngành công nghiệp thực phẩm phát triển vào những năm 1960 và sau đó ngày càng được sử dụng để làm ngọt nước giải khát và các loại thực phẩm khác - là một nghi ngờ chính.
Các nhà nghiên cứu của UT Southwestern đã cho chuột uống một dung dịch nước có nồng độ 10% các loại đường khác nhau trong chế độ ăn uống gồm glucose, fructose và sucrose trong 7 ngày. Họ phát hiện ra rằng, những con chuột có khuynh hướng phát triển bệnh viêm đại tràng.
Sau đó, các nhà nghiên cứu sử dụng kỹ thuật giải trình tự gien để xác định các loại và tỷ lệ vi khuẩn được tìm thấy trong ruột già của chuột trước và sau khi ăn chế độ nhiều đường. Sau 7 ngày, những con chuột được cho ăn đường sucrose, fructose và đặc biệt là glucose cho thấy những thay đổi đáng kể trong quần thể vi sinh vật bên trong ruột.
Các vi khuẩn được biết đến để tạo ra các enzym phân hủy chất nhầy, như Akkermansia, được tìm thấy với số lượng lớn hơn, trong khi một số vi khuẩn tốt thường được tìm thấy trong ruột,như Lactobacillus, trở nên ít hơn.
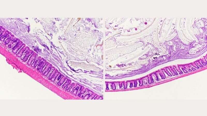
Các nhà nghiên cứu đã thấy bằng chứng về sự mỏng đi của lớp chất nhầy bảo vệ niêm mạc ruột già cũng như các dấu hiệu nhiễm trùng của các vi khuẩn khác.
Các nghiên cứu trước đây đã chỉ ra rằng hệ vi sinh vật đường ruột của cả người và chuột có thể thay đổi nhanh chóng khi thay đổi chế độ ăn uống.
Zaki cho biết, hiện ông có kế hoạch nghiên cứu xem lượng đường tiêu thụ cao có ảnh hưởng đến sự phát triển của các bệnh viêm nhiễm khác như béo phì, gan nhiễm mỡ và các bệnh thoái hóa thần kinh như Alzheimer hay không.


