Google News

Ăn thịt lợn sống, một người Trung Quốc có tới hàng trăm con sán trong não ​

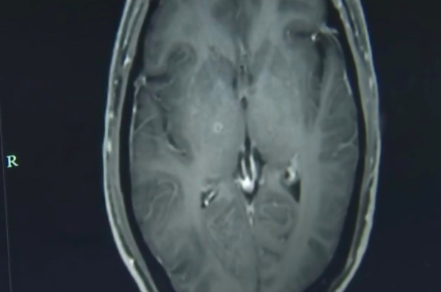
Hình ảnh chụp não cho thấy có hàng trăm con sán cư trú tại đó.
Hình ảnh chụp não cho thấy có hàng trăm con sán cư trú tại đó.
TPO - Một người đàn ông 43 tuổi ở Trung Quốc bị co giật và mất ý thức đã phải nhập viện sau khi các triệu chứng kéo dài trong vài tuần. Các bác sỹ phát hiện ra rằng trong não và ngực của anh ta có hàng trăm con sán dây đang cư trú.

Bệnh nhân Zhu Zhongfa được cho là đã ăn thịt lợn chưa nấu chín và bị nhiễm Taenia solium, một loại sán dây ký sinh.

Tiến sĩ Huang Jianrong thuộc ĐH Y khoa Chiết Giang, người đã điều trị cho Zhongfa, cho biết:“Các bệnh nhân có phản ứng khác nhau với nhiễm trùng tùy thuộc vào nơi ký sinh trùng sinh sống. Trong trường hợp của Zhongfa, anh ta bị co giật và bất tỉnh, nhưng đối với những bệnh nhân bị u nang trong phổi có thể sẽ bị ho rất nhiều.”

Tiến sỹ Jianrong giải thích rằng, ấu trùng xâm nhập vào cơ thể Zhongfa thông qua đường tiêu hóa và lan truyền qua các mạch máu. Anh ta được chẩn đoán mắc bệnh ấu trùng sán lợn và đau đầu, động kinh vì sán lợn ký sinh trong não và được chỉ định sử dụng một loại thuốc chống ký sinh trùng cùng các loại thuốc khác để bảo vệ các cơ quan khỏi bị tổn thương thêm.

Tiến sỹ Jianrong cho biết, bệnh nhân đã khỏe lại sau một tuần, nhưng vẫn chưa thể xác định rõ ràng những di chứng lâu dài do sự tàn phá của sán.

Trung tâm kiểm soát và phòng ngừa dịch bệnh Mỹ (CDC) khuyến nghị nấu thịt ở nhiệt độ an toàn, đồng thời sử dụng nhiệt kế thực phẩm để tránh nhiễm trùng.

Con người là vật chủ duy nhất cho sán dây Taenia, sau đó lây lan sán dây và trứng sán qua phân trực tiếp xuống đất tại những khu vực kém vệ sinh. Trứng sán tồn tại trong môi trường ẩm ướt trong nhiều ngày đến vài tháng, rồi lây lan sang bò và lợn khi chúng được nuôi dưỡng ở những khu vực bị ô nhiễm.

Theo CDC, khi đã thâm nhập vào động vật, trứng sán nở trong ruột và di chuyển đến cơ, nơi chúng phát triển thành ấu trùng và có thể tồn tại ở đó trong vài năm. Đặc tính này khiến con người rất dễ bị lây nhiễm ấu trùng sán lợn nếu ăn thịt bò, hoặc thịt lợn chưa được đun nẫu kỹ.