Bệnh nhi là bé trai N.M.Đ (7 tháng tuổi, ngụ tại huyện Thanh Bình, tỉnh Đồng Tháp) được một phòng khám tại địa phương cấp cứu và chuyển đến Bệnh viện Nhi Đồng Thành phố vì sốt xuất huyết diễn tiến nặng.
![]() |
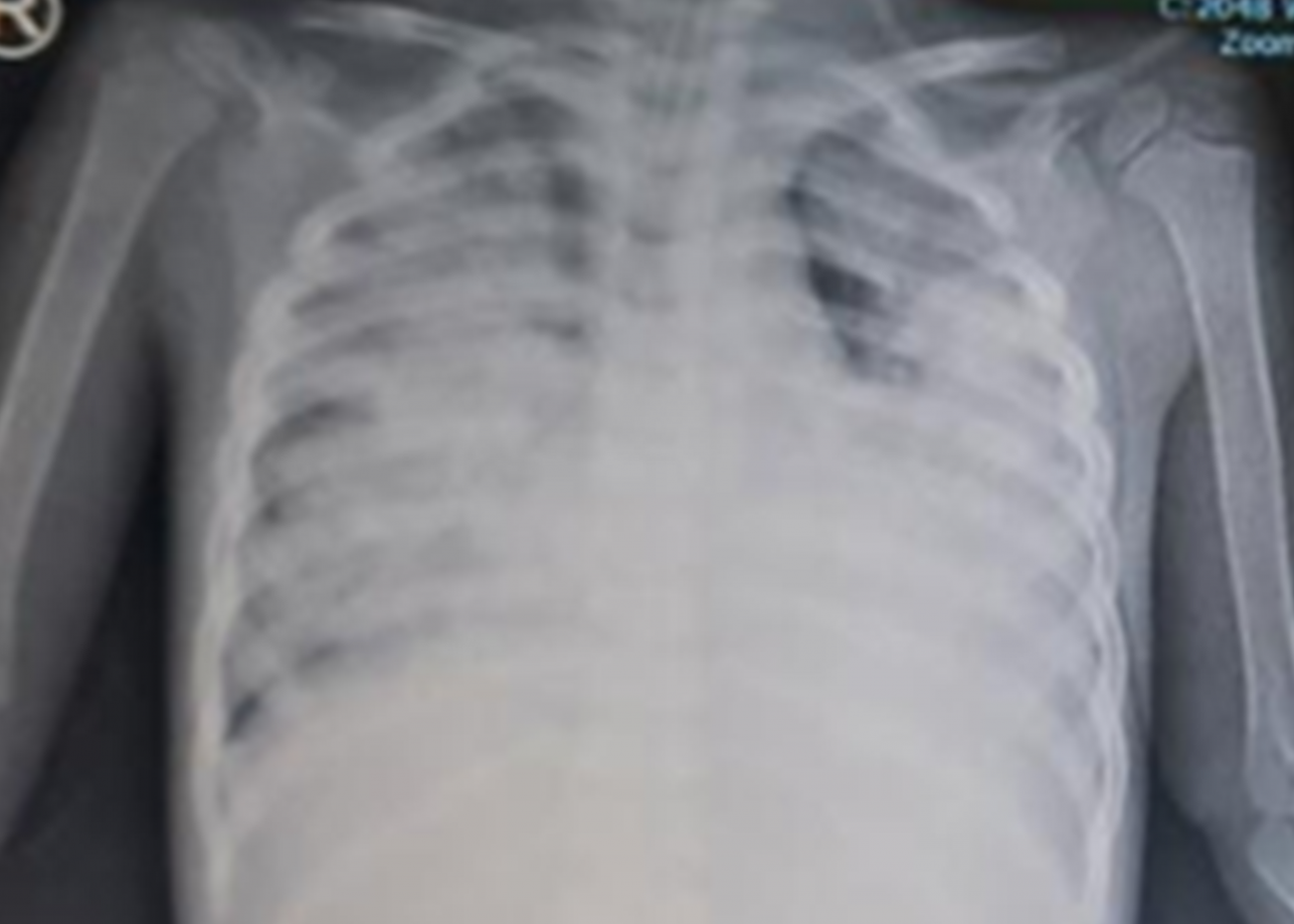
| Hình ảnh X-quang cho thấy cả 2 bên phổi của bệnh nhi bị tổn thương nghiêm trọng |
Khai thác bệnh sử ghi nhận, 3 ngày trước khi nhập viện, bệnh nhi có biểu hiện sốt nhẹ, tiêu phân lỏng nhiều lần, đặc biệt, khi sốt cao, trẻ bị co giật toàn thân. Thời điểm chuyển viện, bệnh nhi tiếp tục rơi vào tình trạng co giật liên tục suốt 30 phút.
Khi đến khoa Cấp cứu Bệnh viện Nhi Đồng Thành phố, bệnh nhi đã rơi vào tím tái, mạch huyết áp không đo được. Ngay lập tức, trẻ được các bác sĩ hỗ trợ hô hấp, điều trị chống sốc. Tuy nhiên, bệnh diễn tiến ngày càng nặng khiến bệnh nhi sốc kéo dài, kèm tổn thương gan, rối loạn đông máu, xuất huyết tiêu hóa, tràn dịch màng phổi, màng bụng lượng nhiều gây suy hô hấp nặng.
Sau chẩn đoán, bệnh nhi bị sốc sốt xuất huyết, tổn thương nặng cả 2 bên phổi, nguy cơ tử vong bất kỳ lúc nào.
Các bác sĩ đã thực hiện kỹ thuật ô xy hóa máu qua màng ngoài cơ thể (ECMO). Bên cạnh đó, bệnh nhi được điều trị nội khoa tích cực để ngăn chặn tình trạng suy gan, rối loạn đông máu.
![]() |
| Bệnh nhi đã được thực hiện phương pháp ECMO và đã qua cơn nguy kịch |
Sau 2 tuần điều trị tích cực, bệnh nhi dần bình phục, cai được ECMO, cai máy thở. Bác sĩ cho biết, đây là một trong những trường hợp trẻ nhỏ bị sốt xuất huyết rất nặng đã may mắn được cứu sống.
Hiện nay, sốt xuất huyết đang bùng phát tại nhiều địa phương trên cả nước. Để tránh nguy cơ nhiễm bệnh, bác sĩ khuyến cáo cộng đồng tăng cường các biện pháp diệt lăng quăng, diệt muỗi, ngủ mùng thường xuyên để tránh bị muỗi đốt.
Trường hợp có biểu hiện nghi ngờ mắc sốt xuất huyết, người bệnh cần nhanh chóng đến bệnh viện để được chẩn đoán, điều trị kịp thời, tránh biến chứng nguy hiểm có thể xảy ra.

