Bé gái bị vẹo xương sống một góc 90 độ
Bé gái Ellen Wagstaff, 12 tuổi, mắc một chứng bệnh rất hiếm gặp khiến xương sống của cô bé bị vẹo một góc 90 độ.
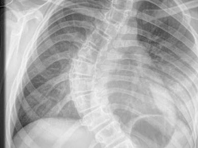
![]() |
| Ảnh chụp X-quang xương sống của Ellen. |
Bé gái, đang sống ở Formby (Anh), được phát hiện mắc chứng bệnh vẹo xương sống tự phát (Adolescent Idiopathic Scoliosis) cách đây 10 tháng và kể từ đó cho tới nay tình trạng của bé gái 12 tuổi này ngày càng xấu hơn.
Ellen Wagstaff bắt đầu cảm thấy đau lưng vào tháng 4-2010. Sau đó, Ellen đã được đưa tới bệnh viện để khám. Kết quả kiểm tra cho thấy bé gái 12 tuổi này bị mắc chứng bệnh vẹo xương sống tự phát rất hiếm gặp. Lúc đó, độ vẹo xương sống của Ellen là 60 độ. Hiện tại, xương sống của cô bé bị vẹo một góc 90 độ.
Từ khi được phát hiện mắc chứng bệnh vẹo xương sống tự phát, Ellen đã không thể tham gia các giờ học giáo dục thể chất tại trường cho dù cô bé rất thích múa và khiêu vũ. Vì thế, Ellen ước muốn có thể hoạt động bình thường như những người bạn học của mình.
![]() |
| Ellen và mẹ. |
Vào ngày 14-3 tới, Ellen sẽ tham gia một cuộc phẫu thuật kéo dài 8 giờ tại bệnh viện Nhi Manchester. Trong cuộc phẫu thuật sắp tới, các bác sĩ sẽ sử dụng các thanh kim loại để cố định và giữ thẳng xương sống của Ellen.
“Cuộc phẫu thuật này vô cùng quan trọng giúp con gái chúng tôi tránh được nguy hiểm tính mạng vì xương sống có thể chèn và gây tổn thương cho các cơ quan trong cơ thể của cô bé. Chúng tôi mong mọi việc sẽ tốt đẹp với Ellen”, Joana Wagstaff, mẹ của Ellen, nói.
Theo Lê Hương
Khoa học đời sống

