Google News

Bé gái suýt chết vì chấn thương sọ não do cha mẹ chủ quan

Bé gái suýt chết vì chấn thương sọ não do cha mẹ chủ quan
TPO - Bé gái 5 tuổi được đưa vào Bệnh viện cấp cứu trong tình trạng nôn ối nhiều và đau đầu dữ dội. Các bác sĩ chẩn đoán bé bị máu tụ ngoài màng cứng não- hậu quả của việc ba mẹ chủ quan khi con té ngã.

Ngày 16/10, thông tin từ Bệnh viện Quận Thủ Đức cho biết, nơi đây vừa tiếp nhận và điều trị thành công cho bé T.H.N.T (5 tuổi, ngụ TPHCM) bị máu tụ ngoài màng cứng não do té ngã.

Cụ thể vào vào tối ngày 23/9, bé T được chị của bé (9 tuổi) lấy xe đạp chở đi chơi. Khi về, bé T nói với mẹ là hai chị em bị ngã xe và bé bị đập đầu xuống đất ở phía sau gáy. Tuy nhiên, thấy con không có chấn thương gì nghiêm trọng, cha mẹ bé chủ quan nên không chở con đi bệnh viện.

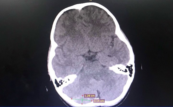
Bé gái suýt chết vì chấn thương sọ não do cha mẹ chủ quan ảnh 1Hình ảnh máu tụ ngoài màng cứng não của bệnh nhi.
Đến 4 giờ sáng hôm sau, bé gái kêu đau đầu và bắt đầu ói mửa. Ngay sau đó, gia đình đã đưa em đi cấp cứu tại khoa Cấp Cứu – Bệnh viện quận Thủ Đức. Sau khi nhập viện kiểm tra và theo dõi, bé T được phát hiện bị máu tụ ngoài màng cứng hố sau bên phải. Ngay lúc này, bé được chỉ định can thiệp lấy máu tụ để giải ép do các bác sĩ khoa Ngoại Thần Kinh phối hợp với các bác sĩ hồi sức Nhi, bác sĩ gây mê tiến hành.

BS Trương Long Vỹ - Trưởng khoa Ngoại Thần Kinh - phụ trách chính ca phẫu thuật cho biết thông thường, máu tụ ngoài màng cứng hố sau rất nguy hiểm, cần phải được quyết định can thiệp nhanh chóng và kịp thời, tránh tình trạng gây chèn ép tụt não, ảnh hưởng đến tính mạng bệnh nhân. “Đặc biệt ca phẫu thuật lần này trên bệnh nhân nhi 5 tuổi cần sự tỉ mỉ, chính xác và dụng cụ phải phù hợp. Nếu như bệnh nhân không được phát hiện sớm, mổ kịp thời thì bệnh nhân có thể rơi vào tình trạng nguy hiểm. Cuộc phẫu thuật kéo dài trong 1 giờ và theo dõi sau mổ bệnh nhân đã hồi phục”, BS Vỹ nói.

Sau phẫu thuật một ngày bé T đã được chỉ định chụp CT lại để kiểm tra, đánh giá. Bé tỉnh, da hồng hào, vết mổ khô. Bé nằm tại khoa Ngoại Thần Kinh khoảng mười ngày sau khi mổ để được theo dõi. Hiện tại, bé T đã được cắt chỉ và xuất viện về nhà.

Bé gái suýt chết vì chấn thương sọ não do cha mẹ chủ quan ảnh 2Sau phẫu thuật, sức khỏe bé đã ổn định.
Theo các chuyên gia, chấn thương sọ não là nguyên nhân gây tử vong cao, để lại nhiều di chứng nặng nề cho người bệnh. Nhất là chấn thương sọ não ở trẻ em luôn là mối nguy hiểm tiềm tàng, bởi đây là lứa tuổi hiếu động, thích nô đùa chạy nhảy, dễ bị vấp ngã và hầu hết chưa có kiến thức nhiều về sự nguy hiểm từ chấn thương sọ não gây ra. Do đó, gia đình cần quan tâm, theo dõi bé kỹ càng, tránh những tai nạn đáng tiếc có thể xảy ra. Khi gặp các trường hợp chấn thương vùng đầu, cần phải theo dõi kỹ hoặc đưa bệnh nhân đến bệnh viện khi cần thiết để có phương án xử lí kịp thời.