Google News

Bé trai 5 tháng tuổi phổi trắng xóa vì nhiễm lao từ cha

ảnh minh họa
ảnh minh họa

TPO - Vợ vừa sinh con đầu lòng thì phát hiện chồng bị lao phổi, điều trị đến tháng thứ 2 thì bé trai cũng bị nhiễm bệnh. Đến khi đưa đến bệnh viện, phổi của bé đã trắng xóa vì nhiễm lao kê từ cha.

Ngày 31/8, BV Nhi đồng Thành phố cho biết bé trai V.T.N (5 tháng tuổi, ngụ An Giang) đã hồi phục sức khỏe sau 3 tháng gian nan chống chọi với căn bệnh lao kê.

Theo lời kể của chị N (28 tuổi, mẹ bé trai), sau khi chị hạ sinh bé thì phát hiện chồng mình bị lao phổi. Chồng điều trị được 2 tháng thì gia đình bé trai bắt đầu xuất hiện dấu hiệu sốt, ho liên tục 1 tuần, nhập viện địa phương uống thuốc không khỏi mà ngày càng khó thở hơn. Bé trai sau đó được chuyển đến BV Nhi đồng Thành Phố thì các BS cho biết phổi bé đã trắng xóa, kết quả xét nghiệm cho kết quả bé bị nhiễm lao kê nặng.

Suốt 3 tháng điều trị, bé trai phải trải qua nhiều lần chọc hút khí màng phổi cấp cứu do các kén lao vỡ, thậm chí phải thở máy rung tần số cao để đảm bảo trao đổi khí, điều trị kháng sinh và kháng lao tấn công theo phác đồ.

Nhờ được theo dõi điều trị tích cực, bé trai bắt đầy có dấu hiệu hồi phục, phổi sáng dần lên, mô phổi giảm tổn thương và thông khí ngày càng hiệu quả, các kén khí lớn giảm rõ rệt. Sau khi các BS đánh giá nguy cơ tràn khí màng phổi và suy hô hấp của bệnh nhi có cải thiện và ít khả năng tái phát, bé được chuyển đến BV Phạm Ngọc Thạch để điều trị tiếp tục. Hiện bé đã xuất viện.

Theo các BS, trẻ mắc lao bẩm sinh thường do người mẹ mắc bệnh khi đang mang thai hoặc có thể đã mắc trước đó nhưng không được phát hiện. Cũng có một số ít trẻ sơ sinh nhiễm lao khi vừa lọt lòng do tiếp xúc trực tiếp với nguồn lây từ phòng sinh, người thân gia đình, đây được gọi là bệnh lao bẩm sinh. “Hệ miễn dịch ở trẻ sơ sinh vốn dĩ đã rất yếu nên khi biết mắc bệnh này, trẻ cần được điều trị ngay để tránh những biến chứng. Nếu phát hiện trễ, bé có thể mắc các thể lao nặng như lao kê, lao màng não, dễ dẫn đến tử vong”, các BS nhấn mạnh.

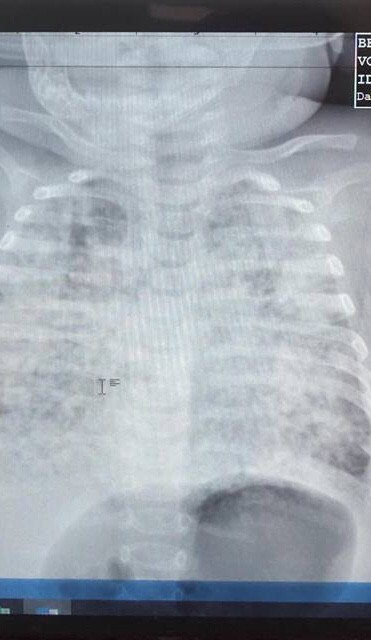
Bé trai 5 tháng tuổi phổi trắng xóa vì nhiễm lao từ cha ảnh 1Phim phổi bé trai tổn thương trắng xóa, lấm tấm do lao kê

 Liệt kê các triệu chứng nghi ngờ nhiễm lao ở trẻ, các BS cho rằng trong 3 ngày đầu khi phát bệnh, trẻ sẽ có những biểu hiện số nhẹ 1-2 lần/ ngày, ăn ít hơn khẩu phần thường ngày một nửa. Một tuần sau đó, trẻ sẽ bắt đầu ho dai dẳng, đôi khi có đờm màu vàng, trẻ sốt âm ỉ, sút cân nhanh từ 1-2 kg. Trong 3 tuần, các cơn ho khan phát triển nặng kèm theo máu, sốt kéo dài thường xuất hiện vào sáng sớm hoặc chiều tối. Lúc này dùng kháng sinh thông thường không thể chữa khỏi, trẻ có hiện tượng suy hô hấp, khó thở, sa sút cân nặng đến 3-5kg.

Bé trai 5 tháng tuổi phổi trắng xóa vì nhiễm lao từ cha ảnh 2Hiện sức khỏe bé đã hồi phục

“Nếu trẻ có những dấu hiệu này, gia đình cần đưa trẻ đến thăm khám, xét nghiệm để biết chính xác trẻ có bị mắc lao phổi hay không để có thể có những phác đồ điều trị kịp thời”, các BSkhuyến cáo.