Google News

Bệnh nhân suýt chết vì xương cá dài 5cm đâm thủng dạ dày

Bệnh nhân suýt chết vì xương cá dài 5cm đâm thủng dạ dày
TPO - Đau bụng kèm nôn ói nhiều ngày, bệnh nhân đến bệnh viện khám mới phát hiện xương cá dài 5cm đã đâm thủng dạ dày.

Chiều 24/8, các bác sĩ Khoa Ngoại Tổng quát, Bệnh viện Quận 11 xác nhận vừa phẫu thuật gắp chiếc xương cá dài 5cm trong dạ dày bệnh nhân Nguyễn Thị Tr (55 tuổi, quê Tiền Giang) thành công. Trước đó, bệnh nhân nhập viện trong tình trạng đau vùng thượng vị, đau âm ỉ tăng dần kèm theo nôn ói.

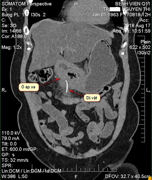
Bệnh nhân suýt chết vì xương cá dài 5cm đâm thủng dạ dày ảnh 1Chiếc xương cá dài 5cm đâm thủng dạ dày bệnh nhân

Sau khi thực hiện các kỹ thuật cận lâm sàng, các bác sĩ phát hiệ một tổn thương khu trú, có dị vật cản quang trong thành dạ dày vùng môn vị nên nghi ngờ dị vật có thể bằng kim loại.

Sau khi hội chẩn, bệnh nhân nhanh chóng được bác sĩ chỉ định thực hiện phẫu thuật cấp cứu. Sau khi mở bụng, tiến hành thám sát nhận thấy xương cá dài 5cm trong dạ dày nên tiến hành lấy dị vật ra khỏi cơ thể bệnh nhân. Sau đó, bác sĩ tiến hành khoét bỏ ổ loét viêm đường kính 3 cm đồng thời khâu lại dạ dày. Theo các bác sĩ nếu không được phẫu thuật kịp thời ổ áp xe vỡ ra tràn vào ổ bụng sẽ gây viêm phúc mạc toàn thể dễ khiến bệnh nhân tử vong sau sốc nhiễm trùng.

Bệnh nhân suýt chết vì xương cá dài 5cm đâm thủng dạ dày ảnh 2Sau phẫu thuật bệnh nhân đã ổn định sức khoẻ

Bệnh nhân cho biết thường xuyên ăn cá nhưng không biết mình đã nuốt phải xương cá từ lúc nào. Đến khi đau bụng nhưng lại không rõ nguyên nhân nên vẫn mua thuốc uống.  

Bác sĩ khuyến cáo nếu phát hiện bị hóc xương hay hóc dị vật khác, tốt nhất đến ngay cơ sở y tế để khám và điều trị kịp thời, tuyệt đối không nên cố nuốt thêm thức ăn, nước hoặc chữa bằng mẹo sẽ làm tổn thương niêm mạc đường tiêu hóa khiến bệnh càng trầm trọng thêm. Đặc biệt, khi thấy đau khu trú, thường xuyên tại một vị trí cố định trong ổ bụng, bệnh nhân nên đến bệnh viện để thăm khám kịp thời.