Coi chừng răng sứ dỏm!
Nhiều người vì muốn có hàm răng trắng, đẹp đã tìm đến cơ sở nha khoa để làm răng sứ thẩm mỹ. Thế nhưng, không ít người được phục hình bằng đồ... dỏm.
![]() |
| Cần chọn cơ sở làm răng uy tín khám chữa răng. Trong ảnh: khám và điều trị răng tại Trung tâm nha khoa Thuận Kiều, TP.HCM. Ảnh: Thanh Đạm. |
Do cạnh tranh giá cả, nhiều cơ sở sản xuất răng đã hạ giá răng sứ bằng cách sử dụng nguyên vật liệu trôi nổi, không rõ nguồn gốc. Vì chạy theo lợi nhuận, dù biết hàng kém chất lượng nhưng không ít cơ sở nha khoa vẫn làm răng sứ dỏm cho khách hàng, tính tiền như hàng “xịn”. Bằng mắt thường khó ai có thể phân biệt được nên không ít khách hàng “dính bẫy”.
Gây nhiễm độc
Chị N.H.A (45 tuổi, Q.7, TP.HCM) có chiếc răng bị vỡ lớn và đến khám tại một cơ sở nha khoa ở Q.10. Khám xong, bác sĩ bảo răng chị phải bọc sứ lại. Chị A. đồng ý làm loại răng sứ tốt nhất của châu Âu theo tư vấn của bác sĩ. Mới làm răng xong chị thấy cũng được, nhưng chỉ một năm sau chị A. thấy vùng nướu những răng đã bọc sứ không còn hồng hào tự nhiên như lúc mới làm mà chuyển sang hơi ánh xám. Càng về sau ánh xám vùng nướu càng lộ rõ, rồi chuyển sang thâm đen và lan rộng dần. Quay lại hỏi bác sĩ, chị A. được trả lời tại cơ địa của chị bị như vậy!
Giống như chị A., chỉ mới sau ba tháng làm răng sứ, vùng nướu của anh P.V.T. (50 tuổi, Q.3, TP.HCM) đã bị ánh xám kim loại. Sau đó, những chiếc răng mới được “tân trang” bị sứt mẻ phần sứ và lộ đốm sườn kim loại bên trong. Vùng nướu trên hai răng trước bọc sứ của anh T. chuyển sang màu xám tái trông rất xấu. Tương tự, chị N.T.N. (38 tuổi, Q. Phú Nhuận, TP.HCM) do muốn có hàm răng trắng bóng, đều, đẹp đã đến một cơ sở nha khoa ở Q. Phú Nhuận để bọc sứ bốn răng cửa trước. Sau một năm rưỡi, chị N. không dám cười thoải mái như trước vì vùng nướu chỗ các răng bọc sứ bị sưng và thâm, xám rất khó coi.
![]() |
| Răng anh T. bị xám đen cổ răng 4 răng cửa trước sau khi làm răng sứ. Ảnh: CTV. |
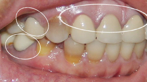
![]() |
| Vùng nướu 4 răng cửa trước của chị N. mới bọc sứ đã bị xám nướu, răng hàm 4 và 5 bọc sứ còn lộ rõ cả những ten kim loại đen xỉn nơi cổ răng. Ảnh: CTV. |
Thật, giả lẫn lộn
PGS.TS Lê Đức Lánh - trưởng khoa răng hàm mặt Trường đại học Y dược TP.HCM - cho biết những năm gần đây các loại răng sứ có mặt trên thị trường ngày càng phong phú, từ loại trung bình đến hàng cao cấp như sứ kim loại quý và sứ không kim loại.
Tình trạng nướu sau khi làm răng sứ bị thâm xám nhanh phần lớn là do phần khung sườn nâng đỡ các lớp sứ đắp bên trên kém chất lượng, không đúng loại vật liệu đạt chuẩn châu Âu chuyên dùng cho phục hình răng. Thường một thời gian sau, chất kim loại bên trong răng sứ đó sẽ tạo ra muối kim loại và làm ảnh hưởng lên mô xung quanh răng, làm đen chân răng, thậm chí làm mủn chân răng. Khắc phục điều này chỉ còn cách là nhổ bỏ răng sứ dỏm, nạo sạch và làm răng sứ mới bằng kim loại tốt hoặc sứ không kim loại thì một thời gian dài sau mới trắng được. Chưa kể, nếu bệnh nhân bị trồng răng sứ làm bằng hai loại kim loại khác nhau có thể sinh ra dòng điện sinh học trong miệng, khi cắn hàm răng có cảm giác như nam châm hút, có thể bị dị ứng, tiết nước miếng nhiều, gây đau, phải tháo bỏ.
Một bác sĩ nha khoa cho biết dù bệnh nhân đến cơ sở nha khoa lớn hay nhỏ cũng có thể gặp phải loại răng sứ dỏm nguy hiểm này. Do quy trình chế tác răng sứ trải qua nhiều công đoạn, được đắp nhiều lớp bên trên nên sau khi răng sứ được hoàn thành thì ngay cả những bác sĩ hay kỹ thuật viên phục hình lão luyện cũng không phân biệt được đâu là răng sứ xịn, đâu là răng sứ dỏm. Chỉ sau một vài năm sử dụng, sự thật mới phơi bày qua màu sắc nướu bị biến đổi.
Yêu cầu thẻ bảo hành
PGS Lê Đức Lánh khuyên bệnh nhân cần cẩn thận với những cơ sở nha khoa thường xuyên quảng cáo, khuyến mãi hạ giá khi trồng răng sứ, hoặc khách hàng trả giá nào cũng nhận làm. Khi đến nơi làm răng cần chú ý cơ sở có bác sĩ làm hay không, cơ sở dùng vật liệu gì để làm răng sứ...
Làm sao phân biệt răng sứ thật chuẩn châu Âu với răng sứ kém chất lượng? Một cơ sở chuyên làm răng sứ cung cấp cho các cơ sở nha khoa cho biết để bảo vệ quyền lợi của mình và không bị “tiền mất tật mang”, tốt nhất bệnh nhân nên chọn răng sứ có thẻ bảo hành và xác thực điện tử IDPI của các trung tâm phục hình sứ chính hãng theo tiêu chuẩn châu Âu. Đồng thời yêu cầu bác sĩ ở các cơ sở nha khoa phải gửi mẫu răng đến những trung tâm chuyên phục hình sứ chuẩn châu Âu và có thẻ bảo hành cùng xác thực điện tử IDPI.
Bệnh nhân có thể kiểm tra xuất xứ của phục hình sứ qua tin nhắn SMS tới tổng đài 8551 để xem có đúng tên của mình không, nguồn gốc xuất xứ, loại phục hình và những thông tin chi tiết khác của phục hình. Bệnh nhân cũng có thể kiểm tra qua website http://www.idpidental.com/ hoặc tham khảo mã số xác thực xuất xứ IDPI tại địa chỉ http://www.idpidental.com/ và www.nhakhoa.com.
| Tại TP.HCM hiện có khoảng 1.240 cơ sở nha khoa tư nhân đang hoạt động. Ngoài ra, TP còn có hơn 180 cơ sở làm răng, mỗi ngày sản xuất 5.000-7.000 răng sứ các loại. Theo tìm hiểu của Tuổi Trẻ, để giảm giá thành vài chục ngàn đồng một chiếc răng sứ kim loại (còn gọi là răng sứ Mỹ, răng sứ titan), một số cơ sở phục hình răng thường thay thế hợp chất kim loại crôm - coban làm khung sườn sứ nhập từ châu Âu về bằng các hợp chất kim loại rẻ tiền hơn như niken - crôm và taladium Trung Quốc (chỉ có 6% titan, hơn 62% là niken). Trong khi niken là thành phần dễ gây dị ứng hiện đã bị cấm sử dụng ở châu Âu. Có nơi thay thế bằng crôm - coban không nhãn mác. Riêng với các loại răng sứ cao cấp như răng sứ Cercon hay Emax ZirCad (làm từ vật liệu zirconia và bằng công nghệ CAD/CAM) thì để giảm vài trăm ngàn đồng cho mỗi răng, có nơi thường thay “block” sứ Zirconia CAD/CAM của châu Âu bằng “block” sứ nhái, giả với giá chỉ bằng 20-30%. |
Theo Lê Thanh Hà
Tuổi Trẻ


