Ngày 16/3, thông tin từ Bệnh viện Đa khoa tỉnh Quảng Trị, bệnh nhi H.P.H (34 tháng tuổi, sống tại thôn Đơn Duệ, xã Vĩnh Hòa, huyện Vĩnh Linh, tỉnh Quảng Trị) được gia đình đưa vào viện vào 17h11 ngày 15/3 sau khi phát hiện cháu nuốt phải đinh vít.
![]() |
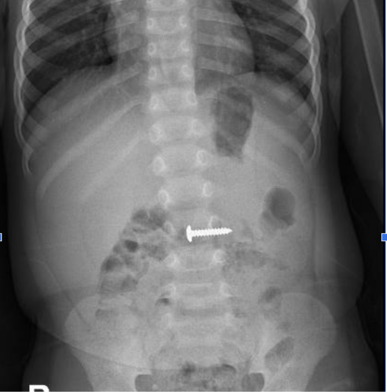
| Hình ảnh chụp X-quang của bệnh nhi H. Ảnh: BVĐKQT |
Bệnh nhi H. được các bác sĩ Khoa Ngoại Tổng hợp, Bệnh viện Đa khoa tỉnh Quảng Trị tiến hành khám và chỉ định chụp X-quang bụng không chuẩn bị thẳng, phát hiện dị vật nằm trong đường tiêu hóa, có kích thước 24,15mm.
Ngay khi phát hiện hình ảnh dị vật, các bác sĩ Khoa Ngoại Tổng hợp đã nhanh chóng hội chẩn, phối hợp với Khoa Thăm dò chức năng tiến hành nội soi gắp dị vật ngay trong đêm.
Hiện sức khỏe của bệnh nhi H. đã ổn định. Các bác sĩ Khoa Ngoại Tổng hợp đang tiến hành theo dõi thêm.
![]() |
| Dị vật đã được các bác sĩ của Bệnh viện Đa khoa tỉnh Quảng Trị lấy ra thông qua phương pháp nội soi bằng ống soi mềm. |
Nuốt dị vật là tai nạn thường gặp ở trẻ nhỏ, đặc biệt là trẻ dưới 5 tuổi. Những dị vật phổ biến mà trẻ em hay nuốt gồm đồng xu, pin cúc áo, đinh ốc vít, nam châm, đồ chơi nhỏ, xương cá... Sau khi nuốt dị vật, phần lớn trẻ không có biểu hiện gì rõ ràng, hoặc có thể giấu diếm. Song một số bé có thể xuất hiện triệu chứng như buồn nôn, tím tái, khó thở, khó nuốt hoặc đau rát sau xương ức. Các biến chứng muộn có thể gây loét, tắc nghẽn, thậm chí là thủng ruột gây viêm phúc mạc.
“Nếu phát hiện trẻ nhỏ có các dấu hiệu trên, cần đưa trẻ đến cơ sở y tế ngay lập tức. Phụ huynh cũng cần lưu ý, tránh cho trẻ chơi đồ nhỏ, dễ nuốt. Để xa tầm tay trẻ các vật nhỏ, hạt, thạch; cẩn thận khi cho bé ăn thức ăn cứng, có xương. Luôn giám sát khi bé chơi và đưa đi khám nếu nghi ngờ nuốt dị vật”, các bác sĩ cảnh báo.

